Suppr超能文献

猫肾细胞癌合并肥大性骨病的成功治疗

Successful Treatment of Renal Cell Carcinoma Associated with Hypertrophic Osteopathy in a Cat.

作者信息

Tanaka Takashi, Tanaka Midori, Tezuka Tomoyuki, Shimada Kazumi, Tanaka Ryo

机构信息

Department of Veterinary Science, Tokyo University of Agriculture and Technology, Tokyo 183-8509, Japan.

Takashimadaira Tezuka Animal Hospital, Tokyo 175-0082, Japan.

出版信息

Vet Sci. 2024 Dec 20;11(12):669. doi: 10.3390/vetsci11120669.

Abstract

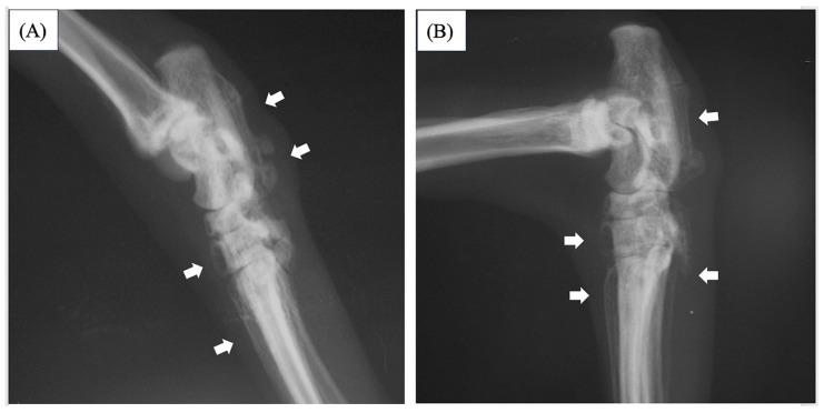
An eight-year-old spayed female Abyssinian cat presented with lameness. Palpation revealed swelling, heat, and a reduced range of motion in the stifle and tarsal joints in both hind limbs. A radiographic examination of both hind limbs revealed periosteal proliferation from the distal tibia to the tarsal and metatarsal bones, which suggested hypertrophic osteopathy. Thorax and abdominal radiographic examinations were performed to identify the primary disease. Complete blood count and routine serum biochemistry tests revealed no abnormalities. No obvious anomalies were evident in the thoracic radiograph; however, a mass was observed near the left kidney on an abdominal radiograph. An abdominal ultrasound was performed, which revealed a hypoechoic renal mass located in the caudal pole of the left kidney. The left nephrectomy was performed after exploration of the abdominal cavity confirmed an abnormality in the left kidney. A histopathological examination revealed renal cell carcinoma. The cat was subsequently fed on a renal prescription diet but received no additional treatment. The periosteal lesion in the distal tibia regressed over time, but the lesions remained in the talus and metatarsal bones. At 1670 days following surgery, blood tests indicated that urea nitrogen and creatinine were above the normal range. In addition, urinalysis revealed an isosthenuria. However, the cat survived over 4500 days following surgery.

摘要

一只八岁已绝育的雌性阿比西尼亚猫出现跛行症状。触诊发现双后肢的膝关节和跗关节肿胀、发热且活动范围减小。对双后肢进行的X线检查显示,从胫骨远端到跗骨和跖骨有骨膜增生,提示肥大性骨关节病。进行胸部和腹部X线检查以确定原发性疾病。全血细胞计数和常规血清生化检查未发现异常。胸部X线片未见明显异常;然而,腹部X线片上在左肾附近观察到一个肿块。进行了腹部超声检查,发现左肾尾极有一个低回声肾肿块。在探查腹腔证实左肾有异常后,进行了左肾切除术。组织病理学检查显示为肾细胞癌。这只猫随后食用肾脏处方饮食,但未接受其他治疗。胫骨远端的骨膜病变随时间消退,但距骨和跖骨的病变仍然存在。术后1670天时,血液检查表明尿素氮和肌酐高于正常范围。此外,尿液分析显示等渗尿。然而,这只猫术后存活了超过4500天。

https://cdn.ncbi.nlm.nih.gov/pmc/blobs/9719/11680260/81f4fa7a2a2f/vetsci-11-00669-g001.jpg

文献检索

告别复杂PubMed语法,用中文像聊天一样搜索,搜遍4000万医学文献。AI智能推荐,让科研检索更轻松。

立即免费搜索

文件翻译

保留排版,准确专业,支持PDF/Word/PPT等文件格式,支持 12+语言互译。

免费翻译文档

深度研究

AI帮你快速写综述,25分钟生成高质量综述,智能提取关键信息,辅助科研写作。

立即免费体验