• 文献检索
  • 文档翻译
  • 深度研究
  • 学术资讯
  • Suppr Zotero 插件Zotero 插件
  • 邀请有礼
  • 套餐&价格
  • 历史记录
应用&插件
Suppr Zotero 插件Zotero 插件浏览器插件Mac 客户端Windows 客户端微信小程序
定价
高级版会员购买积分包购买API积分包
服务
文献检索文档翻译深度研究API 文档MCP 服务
关于我们
关于 Suppr公司介绍联系我们用户协议隐私条款
关注我们

Suppr 超能文献

核心技术专利:CN118964589B侵权必究
粤ICP备2023148730 号-1Suppr @ 2026

文献检索

告别复杂PubMed语法,用中文像聊天一样搜索,搜遍4000万医学文献。AI智能推荐,让科研检索更轻松。

立即免费搜索

文件翻译

保留排版,准确专业,支持PDF/Word/PPT等文件格式,支持 12+语言互译。

免费翻译文档

深度研究

AI帮你快速写综述,25分钟生成高质量综述,智能提取关键信息,辅助科研写作。

立即免费体验

重金属污染对埃及东部三角洲水生生态系统中尼罗罗非鱼的有害影响。

Hazardous effects of heavy metal pollution on Nile tilapia in the aquatic ecosystem of the Eastern Delta in Egypt.

作者信息

Shaalan Walaa M

机构信息

Department of Zoology, Faculty of Science, Benha University, Benha, 13518, Egypt.

Faculty of Biology and Biotechnology and Centre for Protein Diagnosis, Bioinformatics Group, Ruhr University Bochum, Bochum, 44801, Germany.

出版信息

BMC Vet Res. 2024 Dec 28;20(1):585. doi: 10.1186/s12917-024-04367-3.

DOI:10.1186/s12917-024-04367-3
PMID:39732725
原文链接:https://pmc.ncbi.nlm.nih.gov/articles/PMC11681675/
Abstract

INTRODUCTION

Heavy metal pollution threatens the biodiversity and ecological equilibrium of the Nile River. This study investigates the impact of heavy metal pollution on aquatic animals such as Nile tilapia (Oreochromis niloticus) in the Damietta branch of the River Nile and El-Rayah El-Tawfeeky canal in Benha City in Egypt.

METHODS

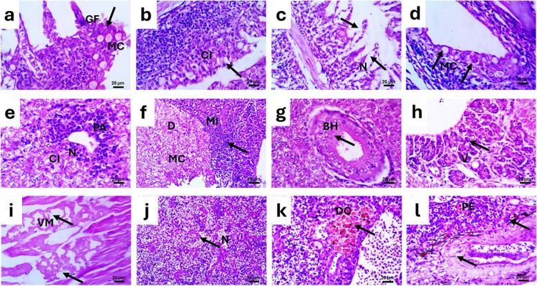
Fish and water samples were collected from the Damietta branch and El-Rayah El-Tawfeeky during the fall of 2022. The concentrations of heavy metals in fish muscle tissues were analyzed using inductively coupled plasma atomic emission spectroscopy (ICP-OES). Histopathological examinations were performed on gill, liver, spleen, and muscle tissues, following standard histological procedures, to assess tissue damage and morphological alterations. Additionally, gene expression analysis was conducted using real-time polymerase chain reaction (RT-qPCR) to evaluate the expression levels of muscle growth (MyoD, IGF-1) and immune response (TNFa, IL6) genes.

RESULTS

Histopathological examinations revealed noteworthy alterations in tilapia gill, liver, spleen, and muscle, suggesting potential health risks. Gene expression analysis using Real-time polymerase chain reaction (RT-qPCR) indicated significant changes in genes related to muscle growth (MyoD, IGF-1) and immune response (TNFa, IL6) in fish from the Damietta branch relative to fish of El-Rayah El-Tawfeeky.

CONCLUSION

The findings raise concerns about bioaccumulation of heavy, some of which surpass international safety limits, posing potential health risks to consumers. The study underscores the significance of continuous monitoring, utilizing chemical, histopathological, and molecular tools as bioindicators for environmental protection measures against aquatic pollution.

摘要

引言

重金属污染威胁着尼罗河的生物多样性和生态平衡。本研究调查了重金属污染对埃及尼罗河达米埃塔支流以及本哈市陶菲克运河中尼罗罗非鱼(Oreochromis niloticus)等水生动物的影响。

方法

2022年秋季从达米埃塔支流和陶菲克运河采集鱼类和水样。使用电感耦合等离子体原子发射光谱法(ICP-OES)分析鱼肌肉组织中的重金属浓度。按照标准组织学程序对鳃、肝脏、脾脏和肌肉组织进行组织病理学检查,以评估组织损伤和形态学改变。此外,使用实时聚合酶链反应(RT-qPCR)进行基因表达分析,以评估肌肉生长(MyoD、IGF-1)和免疫反应(TNFa、IL6)基因的表达水平。

结果

组织病理学检查显示罗非鱼的鳃、肝脏、脾脏和肌肉有明显改变,表明存在潜在健康风险。使用实时聚合酶链反应(RT-qPCR)进行的基因表达分析表明,相对于陶菲克运河的鱼类,达米埃塔支流鱼类中与肌肉生长(MyoD、IGF-1)和免疫反应(TNFa、IL6)相关的基因有显著变化。

结论

研究结果引发了对重金属生物累积的担忧,其中一些重金属超过了国际安全限值,对消费者构成潜在健康风险。该研究强调了持续监测的重要性,利用化学、组织病理学和分子工具作为生物指标,采取环境保护措施应对水污染。

https://cdn.ncbi.nlm.nih.gov/pmc/blobs/53d7/11681675/c002eb5c1043/12917_2024_4367_Fig5_HTML.jpg
https://cdn.ncbi.nlm.nih.gov/pmc/blobs/53d7/11681675/ef68d3ad9085/12917_2024_4367_Fig1_HTML.jpg
https://cdn.ncbi.nlm.nih.gov/pmc/blobs/53d7/11681675/8bd881ae959b/12917_2024_4367_Fig2_HTML.jpg
https://cdn.ncbi.nlm.nih.gov/pmc/blobs/53d7/11681675/dbeee999bd05/12917_2024_4367_Fig3_HTML.jpg
https://cdn.ncbi.nlm.nih.gov/pmc/blobs/53d7/11681675/7e00fcdaaa80/12917_2024_4367_Fig4_HTML.jpg
https://cdn.ncbi.nlm.nih.gov/pmc/blobs/53d7/11681675/c002eb5c1043/12917_2024_4367_Fig5_HTML.jpg
https://cdn.ncbi.nlm.nih.gov/pmc/blobs/53d7/11681675/ef68d3ad9085/12917_2024_4367_Fig1_HTML.jpg
https://cdn.ncbi.nlm.nih.gov/pmc/blobs/53d7/11681675/8bd881ae959b/12917_2024_4367_Fig2_HTML.jpg
https://cdn.ncbi.nlm.nih.gov/pmc/blobs/53d7/11681675/dbeee999bd05/12917_2024_4367_Fig3_HTML.jpg
https://cdn.ncbi.nlm.nih.gov/pmc/blobs/53d7/11681675/7e00fcdaaa80/12917_2024_4367_Fig4_HTML.jpg
https://cdn.ncbi.nlm.nih.gov/pmc/blobs/53d7/11681675/c002eb5c1043/12917_2024_4367_Fig5_HTML.jpg

相似文献

1
Hazardous effects of heavy metal pollution on Nile tilapia in the aquatic ecosystem of the Eastern Delta in Egypt.重金属污染对埃及东部三角洲水生生态系统中尼罗罗非鱼的有害影响。
BMC Vet Res. 2024 Dec 28;20(1):585. doi: 10.1186/s12917-024-04367-3.
2
Comparative study on the toxic effects of some heavy metals on the Nile Tilapia, Oreochromis niloticus, in the Middle Delta, Egypt.埃及中三角洲地区几种重金属对尼罗罗非鱼(Oreochromis niloticus)毒性效应的比较研究。
Environ Sci Pollut Res Int. 2018 May;25(15):14636-14646. doi: 10.1007/s11356-018-1677-z. Epub 2018 Mar 12.
3
Gender-specific responses in gene expression of Nile tilapia (Oreochromis niloticus) to heavy metal pollution in different aquatic habitats.不同水生栖息地重金属污染对尼罗罗非鱼(Oreochromis niloticus)基因表达的性别特异性反应。
Sci Rep. 2024 Jun 25;14(1):14671. doi: 10.1038/s41598-024-64300-4.
4
Cyto-histopathological and protein polymorphism alterations in five populations of Nile tilapia (Oreochromis niloticus) as biomonitor for water heavy metal pollution.五种尼罗罗非鱼(Oreochromis niloticus)组织细胞病理学和蛋白质多态性变化作为水重金属污染生物监测器。
J Fish Biol. 2021 Sep;99(3):999-1009. doi: 10.1111/jfb.14798. Epub 2021 Jun 23.
5
Contamination and Ecological Hazard Assessment of Heavy Metals in Freshwater Sediments and Oreochromis niloticus (Linnaeus, 1758) Fish Muscles in a Nile River Canal in Egypt.埃及尼罗河流域运河中淡水沉积物和奥利亚罗非鱼(Linnaeus,1758)肌肉中重金属的污染及生态危害评估。
Environ Sci Pollut Res Int. 2018 May;25(14):13796-13812. doi: 10.1007/s11356-018-1521-5. Epub 2018 Mar 5.
6
Potential health risk assessment of some bioaccumulated metals in Nile tilapia (Oreochromis niloticus) cultured in Kafr El-Shaikh farms, Egypt.埃及卡夫尔谢赫农场养殖的尼罗罗非鱼(Oreochromis niloticus)中一些生物蓄积金属的潜在健康风险评估。
Environ Res. 2021 Sep;200:111358. doi: 10.1016/j.envres.2021.111358. Epub 2021 May 25.
7
Assessment of trace element occurrence in Nile Tilapia from the Rosetta branch of the River Nile, Egypt: Implications for human health risk via lifetime consumption.评估埃及尼罗河罗塞塔分支的尼罗罗非鱼中的微量元素存在情况:通过终生摄入对人类健康风险的影响。
Ecotoxicol Environ Saf. 2024 Oct 15;285:117079. doi: 10.1016/j.ecoenv.2024.117079. Epub 2024 Sep 20.
8
Gill oxidative stress and histopathological biomarkers of pollution impacts in Nile tilapia from Lake Mariut and Lake Edku, Egypt.埃及玛丽乌特湖和艾德库湖尼罗罗非鱼鳃氧化应激及污染影响的组织病理学生物标志物
J Aquat Anim Health. 2012 Sep;24(3):148-60. doi: 10.1080/08997659.2012.675924.
9
Impact of heavy metals on health and quality of cultured in biofloc and earthen pond systems.重金属对生物絮团和土池系统养殖的健康状况及品质的影响。
J Environ Sci Health B. 2025;60(3):129-137. doi: 10.1080/03601234.2025.2468065. Epub 2025 Feb 27.
10
Heavy metal levels and human health risk implications associated with fish consumption from the lower Omo river (Lotic) and Omo delta lake (Lentic), Ethiopia.埃塞俄比亚奥莫河下游(流水环境)和奥莫河三角洲湖泊(静水环境)鱼类消费相关的重金属含量及其对人类健康风险的影响
PeerJ. 2024 Apr 29;12:e17216. doi: 10.7717/peerj.17216. eCollection 2024.

引用本文的文献

1
Effects of Microplastics on Gene Expression, Muscular Performance, and Immunological Responses in Nile Tilapia (Oreochromis niloticus): Seasonal and Habitat Variations.微塑料对尼罗罗非鱼(Oreochromis niloticus)基因表达、肌肉性能和免疫反应的影响:季节性和栖息地变化
Mar Biotechnol (NY). 2025 Jun 27;27(4):107. doi: 10.1007/s10126-025-10481-6.
2
Mitigation Exposed to Acute Cadmium Stress in Nile Tilapia by Dietary Quercetin: Exploring the Growth Performance, Intestinal Health, Stress Biomarkers, and Immune Responses.膳食槲皮素减轻尼罗罗非鱼急性镉应激:探究生长性能、肠道健康、应激生物标志物和免疫反应
Biol Trace Elem Res. 2025 Jun 8. doi: 10.1007/s12011-025-04686-y.

本文引用的文献

1
Combined toxic effects of cadmium and environmental microplastics in Aphanius fasciatus (Pisces, Cyprinodontidae).镉和环境微塑料对(鱼类,鲤科)麦穗鱼的联合毒性效应。
Mar Environ Res. 2023 Jul;189:106071. doi: 10.1016/j.marenvres.2023.106071. Epub 2023 Jun 26.
2
Bioaccumulation and Bioremediation of Heavy Metals in Fishes-A Review.鱼类中重金属的生物累积与生物修复——综述
Toxics. 2023 Jun 6;11(6):510. doi: 10.3390/toxics11060510.
3
Heavy metal pollution in the aquatic environment: efficient and low-cost removal approaches to eliminate their toxicity: a review.
水生环境中的重金属污染:消除其毒性的高效低成本去除方法:综述
RSC Adv. 2023 Jun 12;13(26):17595-17610. doi: 10.1039/d3ra00723e. eCollection 2023 Jun 9.
4
Metal pollution in freshwater fish: A key indicator of contamination and carcinogenic risk to public health.淡水鱼类中的金属污染:污染的关键指标,对公众健康存在致癌风险。
Environ Pollut. 2023 Aug 1;330:121796. doi: 10.1016/j.envpol.2023.121796. Epub 2023 May 9.
5
The Application of Reference Dose Prediction Model to Human Health Water Quality Criteria and Risk Assessment.参考剂量预测模型在人体健康水质标准及风险评估中的应用
Toxics. 2023 Mar 28;11(4):318. doi: 10.3390/toxics11040318.
6
Biophysical, histological, and bioaccumulation properties of muscle affected by water pollution with heavy elements and microbes at the El-Rahawy drain in Egypt.埃及拉哈维排水渠受重金属和微生物水污染影响的肌肉的生物物理、组织学和生物累积特性。
Heliyon. 2023 Mar 15;9(3):e14489. doi: 10.1016/j.heliyon.2023.e14489. eCollection 2023 Mar.
7
Update on Omega-3 Polyunsaturated Fatty Acids on Cardiovascular Health.关于 ω-3 多不饱和脂肪酸对心血管健康影响的最新研究进展。
Nutrients. 2022 Dec 3;14(23):5146. doi: 10.3390/nu14235146.
8
Environmental Geochemistry and Fractionation of Cadmium Metal in Surficial Bottom Sediments and Water of the Nile River, Egypt.埃及尼罗河表层底部沉积物和水体中镉金属的环境地球化学与分馏
Toxics. 2022 Apr 28;10(5):221. doi: 10.3390/toxics10050221.
9
Difenoconazole causes spleen tissue damage and immune dysfunction of carp through oxidative stress and apoptosis.联苯三唑醇通过氧化应激和细胞凋亡引起鲤鱼脾脏组织损伤和免疫功能障碍。
Ecotoxicol Environ Saf. 2022 Jun 1;237:113563. doi: 10.1016/j.ecoenv.2022.113563. Epub 2022 Apr 26.
10
Assessment of Fish Quality Based on the Content of Heavy Metals.基于重金属含量的鱼类质量评估。
Int J Environ Res Public Health. 2022 Feb 17;19(4):2307. doi: 10.3390/ijerph19042307.