• 文献检索
  • 文档翻译
  • 深度研究
  • 学术资讯
  • Suppr Zotero 插件Zotero 插件
  • 邀请有礼
  • 套餐&价格
  • 历史记录
应用&插件
Suppr Zotero 插件Zotero 插件浏览器插件Mac 客户端Windows 客户端微信小程序
定价
高级版会员购买积分包购买API积分包
服务
文献检索文档翻译深度研究API 文档MCP 服务
关于我们
关于 Suppr公司介绍联系我们用户协议隐私条款
关注我们

Suppr 超能文献

核心技术专利:CN118964589B侵权必究
粤ICP备2023148730 号-1Suppr @ 2026

文献检索

告别复杂PubMed语法,用中文像聊天一样搜索,搜遍4000万医学文献。AI智能推荐,让科研检索更轻松。

立即免费搜索

文件翻译

保留排版,准确专业,支持PDF/Word/PPT等文件格式,支持 12+语言互译。

免费翻译文档

深度研究

AI帮你快速写综述,25分钟生成高质量综述,智能提取关键信息,辅助科研写作。

立即免费体验

严重脱水引发的脑静脉窦血栓形成

Cerebral Venous Sinus Thrombosis Triggered by Severe Dehydration.

作者信息

Wadhwani Shruti, Wadhwani Nikita, Elias Sameh

机构信息

Internal Medicine, Hackensack Meridian Health Palisades Medical Center, North Bergen, USA.

出版信息

Cureus. 2024 Nov 28;16(11):e74654. doi: 10.7759/cureus.74654. eCollection 2024 Nov.

DOI:10.7759/cureus.74654
PMID:39735097
原文链接:https://pmc.ncbi.nlm.nih.gov/articles/PMC11681608/
Abstract

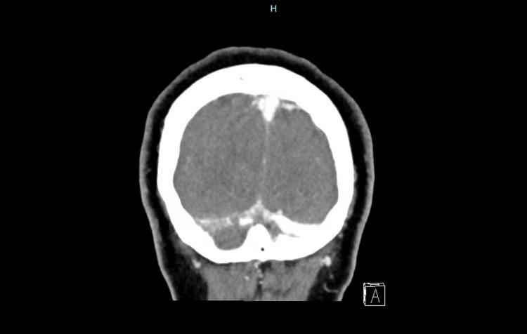
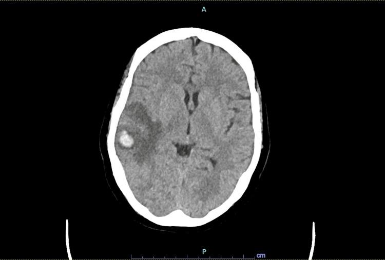
Cerebral venous sinus thrombosis (CVST) is the causative factor in a small proportion of strokes. It primarily affects individuals aged less than 55 years, with up to two-thirds of cases affecting females. It can be precipitated by a myriad of transient or permanent risk factors that result in a prothrombotic state. Diagnosis of CVST requires a high index of clinical suspicion as the presenting symptoms are often vague and include headaches, visual deficits, seizures, etc. Computed tomography or magnetic resonance venography are sensitive imaging diagnostic modalities. The majority of patients have a favorable prognosis. It is important to pursue thrombophilia work-up after the resolution of an acute episode as some cases are secondary to an underlying malignancy.

摘要

脑静脉窦血栓形成(CVST)是一小部分中风的致病因素。它主要影响年龄小于55岁的个体,高达三分之二的病例为女性。它可由导致血栓形成前状态的众多短暂或永久性危险因素引发。CVST的诊断需要高度的临床怀疑指数,因为其表现症状往往模糊,包括头痛、视力缺陷、癫痫发作等。计算机断层扫描或磁共振静脉造影是敏感的影像学诊断方法。大多数患者预后良好。在急性发作缓解后进行血栓形成倾向检查很重要,因为有些病例继发于潜在的恶性肿瘤。

https://cdn.ncbi.nlm.nih.gov/pmc/blobs/55e4/11681608/f819a5e85e3b/cureus-0016-00000074654-i03.jpg
https://cdn.ncbi.nlm.nih.gov/pmc/blobs/55e4/11681608/ad11fc327a27/cureus-0016-00000074654-i01.jpg
https://cdn.ncbi.nlm.nih.gov/pmc/blobs/55e4/11681608/21220be27631/cureus-0016-00000074654-i02.jpg
https://cdn.ncbi.nlm.nih.gov/pmc/blobs/55e4/11681608/f819a5e85e3b/cureus-0016-00000074654-i03.jpg
https://cdn.ncbi.nlm.nih.gov/pmc/blobs/55e4/11681608/ad11fc327a27/cureus-0016-00000074654-i01.jpg
https://cdn.ncbi.nlm.nih.gov/pmc/blobs/55e4/11681608/21220be27631/cureus-0016-00000074654-i02.jpg
https://cdn.ncbi.nlm.nih.gov/pmc/blobs/55e4/11681608/f819a5e85e3b/cureus-0016-00000074654-i03.jpg

相似文献

1
Cerebral Venous Sinus Thrombosis Triggered by Severe Dehydration.严重脱水引发的脑静脉窦血栓形成
Cureus. 2024 Nov 28;16(11):e74654. doi: 10.7759/cureus.74654. eCollection 2024 Nov.
2
Alcohol Emergence: A Study on Various Risk Factors and Clinical Characteristics in Patients With Cerebral Venous Sinus Thrombosis From a Tertiary Care Hospital in South India.酒精与脑静脉窦血栓形成:来自印度南部一家三级护理医院的脑静脉窦血栓形成患者各种危险因素及临床特征的研究
Cureus. 2024 Jul 27;16(7):e65528. doi: 10.7759/cureus.65528. eCollection 2024 Jul.
3
A 44-Year-Old Male With Cerebral Venous Sinus Thrombosis.一名44岁患有脑静脉窦血栓形成的男性。
Cureus. 2023 Mar 31;15(3):e36974. doi: 10.7759/cureus.36974. eCollection 2023 Mar.
4
Cerebral Venous Sinus Thrombosis in Adults with Prothrombotic Conditions: A Systematic Review and a Case from Our Institution.成人血栓形成倾向患者的脑静脉窦血栓形成:一项系统综述及我院1例病例报告
Cureus. 2020 Apr 12;12(4):e7654. doi: 10.7759/cureus.7654.
5
Complicated cerebral venous sinus thrombosis with intracranial hemorrhage and mastoiditis.伴有颅内出血和乳突炎的复杂性脑静脉窦血栓形成
Vasc Endovascular Surg. 2012 Oct;46(7):585-90. doi: 10.1177/1538574412457473. Epub 2012 Aug 22.
6
Radiological evaluation in patients with clinical suspicion of cerebral venous sinus thrombosis presenting with nontraumatic headache - a retrospective observational study with a validation cohort.临床怀疑脑静脉窦血栓形成并伴有非创伤性头痛患者的放射学评估 - 一项回顾性观察研究及验证队列。
BMC Med Imaging. 2020 Feb 27;20(1):24. doi: 10.1186/s12880-020-00426-x.
7
Cerebral venous congestion as indication for thrombolytic treatment.脑静脉淤血作为溶栓治疗的指征。
Cardiovasc Intervent Radiol. 2007 Jul-Aug;30(4):675-87. doi: 10.1007/s00270-007-9046-1.
8
Pattern of magnetic resonance imaging and magnetic resonance venography changes in cerebral venous sinus thrombosis.脑静脉窦血栓形成的磁共振成像及磁共振静脉血管造影变化模式
J Ayub Med Coll Abbottabad. 2012 Jan-Mar;24(1):63-7.
9
A Rare Case of Cerebral Venous Sinus Thrombosis Presenting as an Acute Focal Neurological Deficit with Autoimmune Hepatitis-related Chronic Liver Disease.一例罕见的以急性局灶性神经功能缺损为表现且合并自身免疫性肝炎相关慢性肝病的脑静脉窦血栓形成病例。
Ann Afr Med. 2025 Apr 1;24(2):489-492. doi: 10.4103/aam.aam_188_24. Epub 2025 Feb 27.
10
Clinical profile and outcome of cerebral venous sinus thrombosis at tertiary care center.三级医疗中心脑静脉窦血栓形成的临床特征与转归
J Neurosci Rural Pract. 2014 Jul;5(3):218-24. doi: 10.4103/0976-3147.133559.

本文引用的文献

1
Study of Rivaroxaban for Cerebral Venous Thrombosis: A Randomized Controlled Feasibility Trial Comparing Anticoagulation With Rivaroxaban to Standard-of-Care in Symptomatic Cerebral Venous Thrombosis.利伐沙班治疗颅内静脉血栓形成的研究:比较利伐沙班抗凝与标准治疗对症状性颅内静脉血栓形成的随机对照可行性试验。
Stroke. 2023 Nov;54(11):2724-2736. doi: 10.1161/STROKEAHA.123.044113. Epub 2023 Sep 7.
2
Decompressive surgery in cerebral venous thrombosis: A systematic review and meta-analysis.脑静脉血栓形成的减压手术:一项系统评价和荟萃分析。
Eur J Clin Invest. 2023 Apr;53(4):e13944. doi: 10.1111/eci.13944. Epub 2023 Jan 5.
3
Implications of COVID-19 to Stroke Medicine: An Epidemiological and Pathophysiological Perspective.
COVID-19 对卒中医学的影响:流行病学和病理生理学视角。
Curr Vasc Pharmacol. 2022;20(4):333-340. doi: 10.2174/1570161120666220428101337.
4
Predictors of Recurrent Venous Thrombosis After Cerebral Venous Thrombosis: Analysis of the ACTION-CVT Study.脑静脉血栓形成后复发性静脉血栓形成的预测因素:ACTION-CVT 研究分析。
Neurology. 2022 Nov 22;99(21):e2368-e2377. doi: 10.1212/WNL.0000000000201122. Epub 2022 Sep 19.
5
Thromboembolic events, bleeding, and mortality in patients with cerebral venous thrombosis: a nationwide cohort study.脑静脉血栓形成患者的血栓栓塞事件、出血和死亡率:一项全国性队列研究。
Blood Adv. 2023 May 23;7(10):2070-2081. doi: 10.1182/bloodadvances.2022008622.
6
Direct Oral Anticoagulants Versus Vitamin K Antagonists in Cerebral Venous Thrombosis: A Systematic Review and Meta-Analysis.直接口服抗凝剂与维生素 K 拮抗剂治疗脑静脉血栓形成的比较:系统评价和荟萃分析。
Stroke. 2022 Oct;53(10):3014-3024. doi: 10.1161/STROKEAHA.122.039579. Epub 2022 Aug 8.
7
Endovascular and Medical Management of Cerebral Venous Thrombosis: A Systematic Review and Network Meta-Analysis.颅内静脉血栓形成的血管内和药物治疗:系统评价和网络荟萃分析。
World Neurosurg. 2022 Sep;165:e197-e205. doi: 10.1016/j.wneu.2022.05.142. Epub 2022 Jun 7.
8
Late epileptic seizures following cerebral venous thrombosis: a systematic review and meta-analysis.脑静脉血栓形成后迟发性癫痫发作:系统评价和荟萃分析。
Neurol Sci. 2022 Sep;43(9):5229-5236. doi: 10.1007/s10072-022-06148-y. Epub 2022 May 31.
9
Direct Oral Anticoagulants Versus Warfarin in the Treatment of Cerebral Venous Thrombosis (ACTION-CVT): A Multicenter International Study.直接口服抗凝剂与华法林治疗脑静脉血栓形成(ACTION-CVT)的多中心国际研究。
Stroke. 2022 Mar;53(3):728-738. doi: 10.1161/STROKEAHA.121.037541. Epub 2022 Feb 10.
10
Endovascular Therapy Versus Anticoagulation for Treatment of Cerebral Venous Sinus Thrombosis: A Meta-Analysis.血管内治疗与抗凝治疗脑静脉窦血栓形成的比较:一项荟萃分析。
Neurologist. 2021 Nov 26;27(2):69-73. doi: 10.1097/NRL.0000000000000369.