Suppr超能文献

一种通过直接前路进行股骨柄取出的新技术:内侧会阴切开术联合经股骨前路截骨术

A Novel Technique for Femoral Stem Extraction Through the Direct Anterior Approach: The Medial Episiotomy With Anterior Transfemoral Osteotomy.

作者信息

Omslaer Brian, Sadhwani Shaan, Henzes Jamie, Deluca Steven, Ali Muzaffar

机构信息

Department of Orthopaedic Surgery, UPMC Community Osteopathic, Harrisburg, PA, USA.

Orthopedic Institute of Pennsylvania, Harrisburg, PA, USA.

出版信息

Arthroplast Today. 2024 Dec 9;30:101583. doi: 10.1016/j.artd.2024.101583. eCollection 2024 Dec.

Abstract

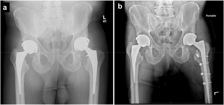
This report describes a medial calcar episiotomy with partial anterior transfemoral osteotomy of the proximal femur to aid in removal of a femoral component in setting of revision total hip arthroplasty through a direct anterior approach. Revision total hip arthroplasty is challenging, labor-intensive, and carries high complication rates. Previously described techniques such as extended trochanteric osteotomies can be utilized to facilitate removal of fixed femoral stems. The technique herein described was performed in an effort to avoid the morbidity of additional dissection and risk of nonunion associated with complete osteotomy of the trochanteric region. We present a novel technique to aid in the removal of a fixed femoral stem in the setting of revision total hip arthroplasty through an anterior approach. This technique has not previously been described specifically in the literature and was performed safely and effectively for this patient. A complication-free outcome with osteotomy union was achieved on a final follow-up of 13 months.

摘要

本报告描述了一种内侧股骨距会阴切开术,同时对股骨近端进行部分经股骨截骨术,以协助在通过直接前路进行翻修全髋关节置换术时取出股骨假体。翻修全髋关节置换术具有挑战性、劳动强度大且并发症发生率高。先前描述的技术,如延长转子截骨术,可用于便于取出固定的股骨干。本文所述技术旨在避免额外解剖带来的并发症以及与转子区完全截骨相关的不愈合风险。我们提出了一种新技术,以协助通过前路在翻修全髋关节置换术中取出固定的股骨干。该技术此前在文献中未被专门描述,且对该患者安全有效。在最后13个月的随访中实现了截骨愈合且无并发症的结果。

https://cdn.ncbi.nlm.nih.gov/pmc/blobs/91e0/11681827/9e177ff1d0f8/gr1.jpg

文献检索

告别复杂PubMed语法,用中文像聊天一样搜索,搜遍4000万医学文献。AI智能推荐,让科研检索更轻松。

立即免费搜索

文件翻译

保留排版,准确专业,支持PDF/Word/PPT等文件格式,支持 12+语言互译。

免费翻译文档

深度研究

AI帮你快速写综述,25分钟生成高质量综述,智能提取关键信息,辅助科研写作。

立即免费体验