Suppr超能文献

利用自转运蛋白的C末端结构域在……表面表达红色荧光蛋白。 (注:原文中“using C-terminal domain of autotransporters”前缺少具体对象,翻译时根据语境补充了“在……表面”,以使句子更通顺完整)

Expressing red fluorescent protein on the surface of using C-terminal domain of autotransporters.

作者信息

Le-Hoang Khoi-Nguyen, Nguyen Thanh-Tan, Tran-Van Hieu

机构信息

Department of Molecular and Environmental Biotechnology, Faculty of Biology and Biotechnology, University of Science, Ho Chi Minh city, Vietnam.

Vietnam National University, Ho Chi Minh city, Vietnam.

出版信息

Mol Biol Res Commun. 2025;14(1):31-35. doi: 10.22099/mbrc.2024.49860.1956.

Abstract

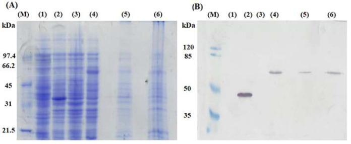
The Type V secretion system, or "autotransporter", is a secretion system that enables bacteria to directly export proteins from the cell interior to the extracellular membrane. mCherry is a second-generation monomeric red fluorescent protein that has an improvement in photostability compared to the first generation of RFP. In this research, we conducted the fusion of the mRFP into the C-terminal domain of EhaA - the translocation domain of the autotransporter protein transport system - to investigate the expression of mRFP on the surface of a model organism commonly utilized in recombinant protein research. The induction of the mRFP-EhaA C-terminal domain complex expression was achieved using isopropyl β-D-1-thiogalactopyranoside (IPTG) and confirmed through SDS-PAGE stained with Coomassie Brilliant Blue and Western blotting using anti-6X His tag antibodies. The surface expression of the mRFP-EhaA C-terminal complex protein was validated through the fluorescent properties of mRFP and further confirmed using fluorescent microscopy. This study laid the groundwork for surface expression on cost-effective Gram-negative bacteria, .

摘要

V型分泌系统,即“自转运体”,是一种能使细菌将蛋白质从细胞内部直接输出到细胞外膜的分泌系统。mCherry是第二代单体红色荧光蛋白,与第一代红色荧光蛋白相比,其光稳定性有所提高。在本研究中,我们将mRFP融合到自转运蛋白运输系统的转运结构域EhaA的C末端结构域,以研究mRFP在重组蛋白研究中常用的模式生物表面的表达情况。使用异丙基β-D-1-硫代半乳糖苷(IPTG)诱导mRFP-EhaA C末端结构域复合物表达,并通过考马斯亮蓝染色的SDS-PAGE和使用抗6X组氨酸标签抗体的蛋白质印迹法进行确认。通过mRFP的荧光特性验证了mRFP-EhaA C末端复合蛋白的表面表达,并使用荧光显微镜进一步确认。本研究为在经济高效的革兰氏阴性菌上进行表面表达奠定了基础。

https://cdn.ncbi.nlm.nih.gov/pmc/blobs/425f/11624614/cb60eebc4a73/mbrc-14-31-g001.jpg

文献检索

告别复杂PubMed语法,用中文像聊天一样搜索,搜遍4000万医学文献。AI智能推荐,让科研检索更轻松。

立即免费搜索

文件翻译

保留排版,准确专业,支持PDF/Word/PPT等文件格式,支持 12+语言互译。

免费翻译文档

深度研究

AI帮你快速写综述,25分钟生成高质量综述,智能提取关键信息,辅助科研写作。

立即免费体验