Suppr超能文献

接受阿替唑单抗联合贝伐单抗治疗的患者出现假性进展的肝细胞癌

Hepatocellular Carcinoma Presenting with Pseudoprogression in a Patient Receiving Atezolizumab Plus Bevacizumab Combination Therapy.

作者信息

Osuga Takahiro, Kubo Tomohiro, Miyanishi Koji, Ito Ryo, Sugawara Taro, Ohnuma Hiroyuki, Murase Kazuyuki, Takada Kohichi

机构信息

Department of Medical Oncology, Sapporo Medical University School of Medicine, Japan.

Department of Surgical Pathology, Sapporo Medical University, School of Medicine, Japan.

出版信息

Intern Med. 2025 Jul 15;64(14):2148-2154. doi: 10.2169/internalmedicine.4710-24. Epub 2025 Jan 3.

Abstract

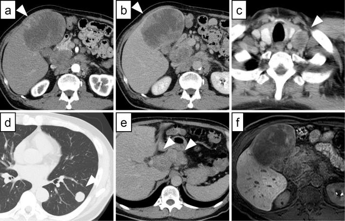
A 65-year-old man with hepatocellular carcinoma and lung metastasis was treated with a combination of atezolizumab and bevacizumab. Subsequently, the patient developed fever and new liver lesions, which were considered to indicate a pseudoprogression. Despite this, the treatment was continued. Three months later, computed tomography scans demonstrated that the new lesions had disappeared and both the primary tumor and metastases had shrunk. A partial response was achieved and maintained for two years. A histological examination revealed a predominance of CD8-positive lymphocytes and programmed death-ligand 1-positive tumor-associated macrophages, which may predict a positive response to this therapy. Pseudoprogression may therefore be a favorable prognostic factor in hepatocellular carcinoma.

摘要

一名65岁的肝细胞癌伴肺转移患者接受了阿替利珠单抗和贝伐单抗联合治疗。随后,患者出现发热和新的肝脏病变,被认为提示假性进展。尽管如此,治疗仍继续进行。三个月后,计算机断层扫描显示新病变消失,原发肿瘤和转移灶均缩小。获得了部分缓解并维持了两年。组织学检查显示CD8阳性淋巴细胞和程序性死亡配体1阳性肿瘤相关巨噬细胞占优势,这可能预示对该治疗有阳性反应。因此,假性进展可能是肝细胞癌的一个有利预后因素。

https://cdn.ncbi.nlm.nih.gov/pmc/blobs/d20b/12331325/a9ebad29f390/1349-7235-64-14-2148-g001.jpg

文献检索

告别复杂PubMed语法,用中文像聊天一样搜索,搜遍4000万医学文献。AI智能推荐,让科研检索更轻松。

立即免费搜索

文件翻译

保留排版,准确专业,支持PDF/Word/PPT等文件格式,支持 12+语言互译。

免费翻译文档

深度研究

AI帮你快速写综述,25分钟生成高质量综述,智能提取关键信息,辅助科研写作。

立即免费体验