Suppr超能文献

阿奇霉素所致心脏损伤中白细胞介素-10水平及硒与维生素E联合治疗的保护作用

Interleukin-10 levels in azithromycin-induced cardiac damage and the protective role of combined selenium and vitamin E treatment.

作者信息

Rohym Heba Hussein, Hemeda Mohamed S, Elsayed Almoatazbellah Mahmoud, Farrag Mayada Saad, Elsayed Heba A, Ezzat Amgad A, Ibrahim Mohamed A, Makloph Mohammed

机构信息

Department of Forensic Medicine and Clinical Toxicology, Fayoum University, Egypt.

Department of Forensic Medicine and Clinical Toxicology Faculty of Medicine, Port Said University, Port Said, Egypt.

出版信息

Toxicol Rep. 2024 Dec 10;14:101860. doi: 10.1016/j.toxrep.2024.101860. eCollection 2025 Jun.

Abstract

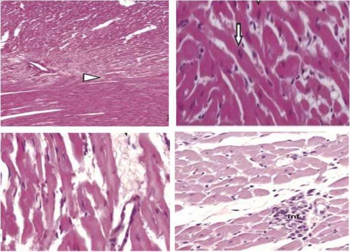
Azithromycin is a broad-spectrum antibiotic commonly used to treat bacterial infections but is associated with adverse cardiac effects, including oxidative damage and myocardial inflammation. This study aims to explore the histopathological and biochemical changes, including serum interleukin-10 levels, induced by azithromycin in the hearts of male albino rats and to evaluate the protective role of combined selenium and vitamin E treatment. Forty rats were divided into four groups: a control group, an azithromycin treatment group, selenium and vitamin E treatment group, and a combined treatment group receiving both azithromycin, selenium, and vitamin E. Results showed that the azithromycin-treated group exhibited significant increases in interleukin-10 levels, myocardial fibrosis, and cell structure degeneration, while combined selenium and vitamin E treatment markedly reduced these adverse effects, indicating a protective effect. This study concludes that selenium and vitamin E provide a protective effect against azithromycin-induced cardiac toxicity, suggesting that concurrent antioxidant therapy may help safeguard the heart during azithromycin treatment.

摘要

阿奇霉素是一种常用于治疗细菌感染的广谱抗生素,但与不良心脏效应有关,包括氧化损伤和心肌炎症。本研究旨在探讨阿奇霉素诱导雄性白化大鼠心脏发生的组织病理学和生化变化,包括血清白细胞介素-10水平,并评估硒和维生素E联合治疗的保护作用。40只大鼠分为四组:对照组、阿奇霉素治疗组、硒和维生素E治疗组以及同时接受阿奇霉素、硒和维生素E的联合治疗组。结果显示,阿奇霉素治疗组的白细胞介素-10水平、心肌纤维化和细胞结构退化显著增加,而硒和维生素E联合治疗显著降低了这些不良反应,表明具有保护作用。本研究得出结论,硒和维生素E对阿奇霉素诱导的心脏毒性具有保护作用,提示在阿奇霉素治疗期间同时进行抗氧化治疗可能有助于保护心脏。

https://cdn.ncbi.nlm.nih.gov/pmc/blobs/e84a/11697843/96cd1906a92d/ga1.jpg

文献检索

告别复杂PubMed语法,用中文像聊天一样搜索,搜遍4000万医学文献。AI智能推荐,让科研检索更轻松。

立即免费搜索

文件翻译

保留排版,准确专业,支持PDF/Word/PPT等文件格式,支持 12+语言互译。

免费翻译文档

深度研究

AI帮你快速写综述,25分钟生成高质量综述,智能提取关键信息,辅助科研写作。

立即免费体验