Suppr超能文献

通过笼内监测检测肺癌小鼠模型中的异常运动活动。

Detection of aberrant locomotor activity in a mouse model of lung cancer via home cage monitoring.

作者信息

Tomanelli Michele, Guffanti Federica, Vargiu Giulia, Micotti Edoardo, Rigamonti Mara, Tumiatti Francesca, Caiola Elisa, Marabese Mirko, Broggini Massimo

机构信息

Department of Experimental Oncology, Istituto di Ricerche Farmacologiche Mario Negri IRCCS, Milan, Italy.

Department of Neuroscience, Istituto di Ricerche Farmacologiche Mario Negri IRCCS, Milan, Italy.

出版信息

Front Oncol. 2024 Dec 23;14:1504938. doi: 10.3389/fonc.2024.1504938. eCollection 2024.

Abstract

INTRODUCTION

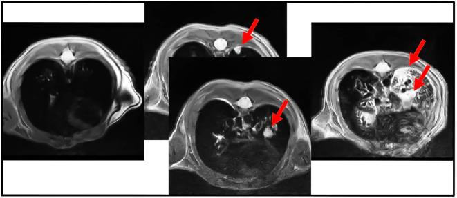
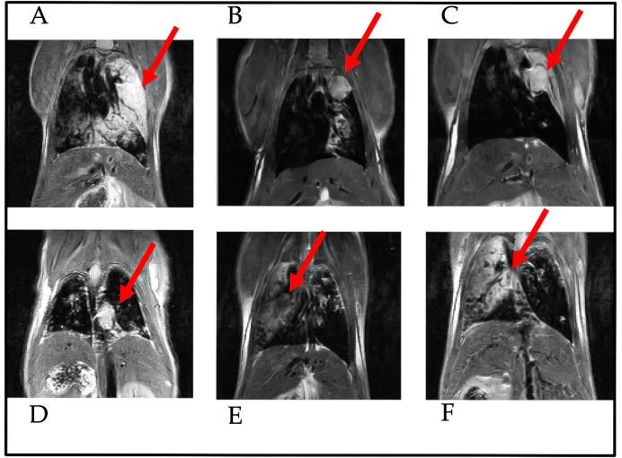
Lung cancer is the first cause of cancer death in the world, due to a delayed diagnosis and the absence of efficacy therapies. KRAS mutation occurs in 25% of all lung cancers and the concomitant mutations in LKB1 determine aggressive subtypes of these tumors. The improvement of therapeutical options for KRASG12C mutations has increased the possibility of treating these tumors, but resistance to these therapies has emerged. Preclinical animal models permit the study of tumors and the development of new therapies. The DVC system was used to measure circadian activity changes indicative of lung cancer progression in KRAS and KRAS-LKB1 transgenic mouse models.

MATERIAL AND METHODS

KRAS and KRAS-LKB1 conditional transgenic animal models were bred and genotyped. The tumors were inducted using adeno-CRE-recombinase system. The mice were housed in a Digital Ventilated Cage (DVC) rack measuring the locomotor activity continuously for 24/7. The progression of the tumors was monitored with MRI. The DVC system evaluated a reduction in animal locomotion during the tumor progression.

RESULTS

KRAS and KRAS-LKB1 mutations were induced, and the tumor formation and progression were monitored over time. As expected, the onset of the tumors in the two different breeds occurred at different times. DVC system registered the locomotion activity of the mice during the light and dark phases, reporting a strong reduction, mainly, in the dark phase. In KRAS-LKB1 models, the locomotion reduction appeared more pronounced than in KRAS models.

DISCUSSIONS

Transgenic animal models represent a fundamental tool to study the biology of cancers and the development of new therapies. The tumors induced in these models harbor the same genotypical and phenotypical characteristics as their human counterparts. DVC methods permit a home cage monitoring system useful for tracking animal behavior continuously 24 hours a day, 7 days a week. DVC system could determine disease progression by monitoring a single animal activity in a cage and also using group-housed animals. For these reasons, the DVC system could play a crucial role in identifying diseases at early stages and in testing new therapeutic approaches with a higher likelihood of efficacy.

摘要

引言

由于诊断延迟和缺乏有效治疗方法,肺癌是全球癌症死亡的首要原因。KRAS突变发生在所有肺癌的25%中,LKB1的伴随突变决定了这些肿瘤的侵袭性亚型。针对KRASG12C突变的治疗选择的改善增加了治疗这些肿瘤的可能性,但对这些疗法的耐药性已经出现。临床前动物模型有助于研究肿瘤和开发新疗法。DVC系统用于测量KRAS和KRAS-LKB1转基因小鼠模型中指示肺癌进展的昼夜活动变化。

材料与方法

培育KRAS和KRAS-LKB1条件性转基因动物模型并进行基因分型。使用腺病毒-CRE重组酶系统诱导肿瘤。将小鼠饲养在数字通风笼(DVC)架中,每周7天、每天24小时连续测量其运动活动。用MRI监测肿瘤进展。DVC系统评估肿瘤进展过程中动物运动的减少情况。

结果

诱导了KRAS和KRAS-LKB1突变,并随时间监测肿瘤形成和进展。正如预期的那样,两个不同品系的肿瘤发病时间不同。DVC系统记录了小鼠在光照和黑暗阶段的运动活动,主要在黑暗阶段报告运动活动大幅减少。在KRAS-LKB1模型中,运动减少比KRAS模型中更明显。

讨论

转基因动物模型是研究癌症生物学和开发新疗法的重要工具。这些模型中诱导的肿瘤具有与其人类对应物相同的基因型和表型特征。DVC方法允许建立一个笼内监测系统,有助于每周7天、每天24小时连续跟踪动物行为。DVC系统可以通过监测笼内单个动物的活动以及使用群居动物来确定疾病进展。由于这些原因,DVC系统在早期识别疾病和测试更有可能有效的新治疗方法方面可能发挥关键作用。

https://cdn.ncbi.nlm.nih.gov/pmc/blobs/7c96/11701213/f3ce828549fe/fonc-14-1504938-g001.jpg

文献检索

告别复杂PubMed语法,用中文像聊天一样搜索,搜遍4000万医学文献。AI智能推荐,让科研检索更轻松。

立即免费搜索

文件翻译

保留排版,准确专业,支持PDF/Word/PPT等文件格式,支持 12+语言互译。

免费翻译文档

深度研究

AI帮你快速写综述,25分钟生成高质量综述,智能提取关键信息,辅助科研写作。

立即免费体验