• 文献检索
  • 文档翻译
  • 深度研究
  • 学术资讯
  • Suppr Zotero 插件Zotero 插件
  • 邀请有礼
  • 套餐&价格
  • 历史记录
应用&插件
Suppr Zotero 插件Zotero 插件浏览器插件Mac 客户端Windows 客户端微信小程序
定价
高级版会员购买积分包购买API积分包
服务
文献检索文档翻译深度研究API 文档MCP 服务
关于我们
关于 Suppr公司介绍联系我们用户协议隐私条款
关注我们

Suppr 超能文献

核心技术专利:CN118964589B侵权必究
粤ICP备2023148730 号-1Suppr @ 2026

文献检索

告别复杂PubMed语法,用中文像聊天一样搜索,搜遍4000万医学文献。AI智能推荐,让科研检索更轻松。

立即免费搜索

文件翻译

保留排版,准确专业,支持PDF/Word/PPT等文件格式,支持 12+语言互译。

免费翻译文档

深度研究

AI帮你快速写综述,25分钟生成高质量综述,智能提取关键信息,辅助科研写作。

立即免费体验

阐明豆甾醇治疗急性胰腺炎的机制:来自网络药理学和实验的见解

Elucidating the mechanism of stigmasterol in acute pancreatitis treatment: insights from network pharmacology and / experiments.

作者信息

Zhao Xuanlin, Li Fan, Wen Ao, Yu Xiuxian, Xu Xinrui, Wan Chengyu, Cao Yu, Xin Guang, Huang Wen

机构信息

West China Center of Excellence for Pancreatitis, Institute of Integrated Traditional Chinese and Western Medicine, Natural and Biomimetic Medicine Research Center, Tissue-Orientated Property of Chinese Medicine Key Laboratory of Sichuan Province, West China School of Medicine, West China Hospital, Sichuan University, Chengdu, China.

Department of Emergency Medicine, West China School of Medicine, West China Hospital, Sichuan University, Chengdu, China.

出版信息

Front Pharmacol. 2024 Dec 23;15:1485915. doi: 10.3389/fphar.2024.1485915. eCollection 2024.

DOI:10.3389/fphar.2024.1485915
PMID:39764471
原文链接:https://pmc.ncbi.nlm.nih.gov/articles/PMC11701227/
Abstract

INTRODUCTION

Acute pancreatitis (AP) is a severe inflammatory disease of the pancreas that could trigger a systemic inflammation and multi-organ dysfunction. Stigmasterol, a natural plant sterol found in various herbs and vegetables, exhibits a significant anti-inflammatory, antioxidant, and cholesterol-lowering effects. However, its therapeutic potential in AP have not been thoroughly investigated.

METHODS

The present study employed network pharmacology combined with experimental verification to explore the protective effect of stigmasterol on AP and its molecular mechanism in a sodium taurocholate (STC)-induced AP mouse model.

RESULTS

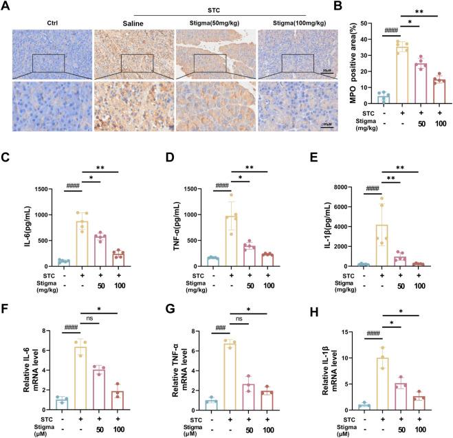
Protein-protein interaction (PPI) analysis pinpointed out MAPK3, also named as ERK1, as a promising stigmasterol target in AP therapy. Molecular docking analysis further revealed a strong binding capacity of stigmasterol to ERK1 (-6.57 kL/mol). Furthermore, both and studies demonstrated that stigmasterol treatment notably attenuated STC-induced pancreatic injury, as evidented by decreased serum levels of lipase and amylase, improved systemic inflammation, and reduced acinar cell necrosis. At the molecular level, stigmasterol treatment exhibited a significant inhibition on STC-induced activation of ERK signaling pathway in pancreatic acinar cells, leading to the transition of acinar cell death from necrosis to apoptosis, thereby preventing acinar cell necrosis-induced systemic inflammation.

CONCLUSION

This study demonstrated that stigmasterol exhibits a significant protective effect aganist AP, at least in part through enhancing acinar cell apoptosis via modulating the ERK signaling pathways.

摘要

引言

急性胰腺炎(AP)是一种严重的胰腺炎症性疾病,可引发全身炎症和多器官功能障碍。豆甾醇是一种存在于各种草药和蔬菜中的天然植物甾醇,具有显著的抗炎、抗氧化和降胆固醇作用。然而,其在急性胰腺炎中的治疗潜力尚未得到充分研究。

方法

本研究采用网络药理学结合实验验证的方法,在牛磺胆酸钠(STC)诱导的急性胰腺炎小鼠模型中,探讨豆甾醇对急性胰腺炎的保护作用及其分子机制。

结果

蛋白质-蛋白质相互作用(PPI)分析指出,丝裂原活化蛋白激酶3(MAPK3,也称为细胞外信号调节激酶1(ERK1))是急性胰腺炎治疗中有前景的豆甾醇靶点。分子对接分析进一步揭示了豆甾醇与ERK1具有很强的结合能力(-6.57 kcal/mol)。此外,体内和体外研究均表明,豆甾醇治疗显著减轻了STC诱导的胰腺损伤,表现为血清脂肪酶和淀粉酶水平降低、全身炎症改善以及腺泡细胞坏死减少。在分子水平上,豆甾醇治疗对STC诱导的胰腺腺泡细胞ERK信号通路激活具有显著抑制作用,导致腺泡细胞死亡从坏死转变为凋亡,从而预防腺泡细胞坏死诱导的全身炎症。

结论

本研究表明,豆甾醇对急性胰腺炎具有显著的保护作用,至少部分是通过调节ERK信号通路增强腺泡细胞凋亡来实现的。

https://cdn.ncbi.nlm.nih.gov/pmc/blobs/7fb2/11701227/62316ef6100d/fphar-15-1485915-g009.jpg
https://cdn.ncbi.nlm.nih.gov/pmc/blobs/7fb2/11701227/6c8dca00eb19/fphar-15-1485915-g001.jpg
https://cdn.ncbi.nlm.nih.gov/pmc/blobs/7fb2/11701227/059380e50a97/fphar-15-1485915-g002.jpg
https://cdn.ncbi.nlm.nih.gov/pmc/blobs/7fb2/11701227/521e48f3757a/fphar-15-1485915-g003.jpg
https://cdn.ncbi.nlm.nih.gov/pmc/blobs/7fb2/11701227/19d0c64f1793/fphar-15-1485915-g004.jpg
https://cdn.ncbi.nlm.nih.gov/pmc/blobs/7fb2/11701227/dd7ae98fe718/fphar-15-1485915-g005.jpg
https://cdn.ncbi.nlm.nih.gov/pmc/blobs/7fb2/11701227/17f2fdf51b46/fphar-15-1485915-g006.jpg
https://cdn.ncbi.nlm.nih.gov/pmc/blobs/7fb2/11701227/ce92767e9a6c/fphar-15-1485915-g007.jpg
https://cdn.ncbi.nlm.nih.gov/pmc/blobs/7fb2/11701227/09494ed17923/fphar-15-1485915-g008.jpg
https://cdn.ncbi.nlm.nih.gov/pmc/blobs/7fb2/11701227/62316ef6100d/fphar-15-1485915-g009.jpg
https://cdn.ncbi.nlm.nih.gov/pmc/blobs/7fb2/11701227/6c8dca00eb19/fphar-15-1485915-g001.jpg
https://cdn.ncbi.nlm.nih.gov/pmc/blobs/7fb2/11701227/059380e50a97/fphar-15-1485915-g002.jpg
https://cdn.ncbi.nlm.nih.gov/pmc/blobs/7fb2/11701227/521e48f3757a/fphar-15-1485915-g003.jpg
https://cdn.ncbi.nlm.nih.gov/pmc/blobs/7fb2/11701227/19d0c64f1793/fphar-15-1485915-g004.jpg
https://cdn.ncbi.nlm.nih.gov/pmc/blobs/7fb2/11701227/dd7ae98fe718/fphar-15-1485915-g005.jpg
https://cdn.ncbi.nlm.nih.gov/pmc/blobs/7fb2/11701227/17f2fdf51b46/fphar-15-1485915-g006.jpg
https://cdn.ncbi.nlm.nih.gov/pmc/blobs/7fb2/11701227/ce92767e9a6c/fphar-15-1485915-g007.jpg
https://cdn.ncbi.nlm.nih.gov/pmc/blobs/7fb2/11701227/09494ed17923/fphar-15-1485915-g008.jpg
https://cdn.ncbi.nlm.nih.gov/pmc/blobs/7fb2/11701227/62316ef6100d/fphar-15-1485915-g009.jpg

相似文献

1
Elucidating the mechanism of stigmasterol in acute pancreatitis treatment: insights from network pharmacology and / experiments.阐明豆甾醇治疗急性胰腺炎的机制:来自网络药理学和实验的见解
Front Pharmacol. 2024 Dec 23;15:1485915. doi: 10.3389/fphar.2024.1485915. eCollection 2024.
2
Kinsenoside alleviates experimental acute pancreatitis by suppressing M1 macrophage polarization via the TLR4/STAT1 signaling pathway.金参苷通过TLR4/STAT1信号通路抑制M1巨噬细胞极化来减轻实验性急性胰腺炎。
J Ethnopharmacol. 2025 Apr 9;345:119551. doi: 10.1016/j.jep.2025.119551. Epub 2025 Feb 23.
3
Material basis and molecular mechanisms of Chaihuang Qingyi Huoxue Granule in the treatment of acute pancreatitis based on network pharmacology and molecular docking-based strategy.基于网络药理学和分子对接策略探讨柴黄清胰活血颗粒治疗急性胰腺炎的物质基础和分子机制。
Front Immunol. 2024 May 3;15:1353695. doi: 10.3389/fimmu.2024.1353695. eCollection 2024.
4
Qingyi decoction and its active ingredients ameliorate acute pancreatitis by regulating acinar cells and macrophages via NF-κB/NLRP3/Caspase-1 pathways.清胰汤及其活性成分通过NF-κB/NLRP3/Caspase-1通路调节腺泡细胞和巨噬细胞来改善急性胰腺炎。
Phytomedicine. 2025 Apr;139:156424. doi: 10.1016/j.phymed.2025.156424. Epub 2025 Feb 10.
5
Anti-Inflammatory Effects and Molecular Mechanisms of Shenmai Injection in Treating Acute Pancreatitis: Network Pharmacology Analysis and Experimental Verification.参麦注射液治疗急性胰腺炎的抗炎作用及分子机制:网络药理学分析与实验验证。
Drug Des Devel Ther. 2022 Aug 2;16:2479-2495. doi: 10.2147/DDDT.S364352. eCollection 2022.
6
Disulfiram reduces the severity of mouse acute pancreatitis by inhibiting RIPK1-dependent acinar cell necrosis.双硫仑通过抑制 RIPK1 依赖性腺泡细胞坏死减轻小鼠急性胰腺炎的严重程度。
Bioorg Chem. 2023 Apr;133:106382. doi: 10.1016/j.bioorg.2023.106382. Epub 2023 Jan 20.
7
Chaiqin chengqi decoction ameliorates acute pancreatitis in mice via inhibition of neuron activation-mediated acinar cell SP/NK1R signaling pathways.柴芩承气汤通过抑制神经元激活介导的胰腺腺泡细胞 SP/NK1R 信号通路改善急性胰腺炎小鼠模型。
J Ethnopharmacol. 2021 Jun 28;274:114029. doi: 10.1016/j.jep.2021.114029. Epub 2021 Mar 14.
8
Acinar cell NLRP3 inflammasome and gasdermin D (GSDMD) activation mediates pyroptosis and systemic inflammation in acute pancreatitis.腺泡细胞 NLRP3 炎性小体和 Gasdermin D(GSDMD)的激活介导了急性胰腺炎中的细胞焦亡和全身炎症。
Br J Pharmacol. 2021 Sep;178(17):3533-3552. doi: 10.1111/bph.15499. Epub 2021 May 21.
9
Network pharmacology-based investigation and experimental validation of the therapeutic potential and molecular mechanism of Danshen Chuanxiongqin injection in acute pancreatitis.基于网络药理学的丹参川芎嗪注射液治疗急性胰腺炎的疗效及分子机制研究与实验验证。
Technol Health Care. 2024;32(4):2307-2320. doi: 10.3233/THC-231086.
10
Isorhamnetin Alleviates Mitochondrial Injury in Severe Acute Pancreatitis via Modulation of KDM5B/HtrA2 Signaling Pathway.山奈酚通过调节 KDM5B/HtrA2 信号通路减轻重症急性胰腺炎中的线粒体损伤。
Int J Mol Sci. 2024 Mar 28;25(7):3784. doi: 10.3390/ijms25073784.

本文引用的文献

1
Network pharmacology and in vitro experimental verification unveil glycyrrhizin from glycyrrhiza glabra alleviates acute pancreatitis via modulation of MAPK and STAT3 signaling pathways.网络药理学与体外实验验证揭示,光果甘草中的甘草酸通过调节丝裂原活化蛋白激酶(MAPK)和信号转导与转录激活因子3(STAT3)信号通路减轻急性胰腺炎。
BMC Complement Med Ther. 2024 Jan 27;24(1):58. doi: 10.1186/s12906-024-04372-x.
2
Dioscin: Therapeutic potential for diabetes and complications.薯蓣皂苷:治疗糖尿病及其并发症的潜力。
Biomed Pharmacother. 2024 Jan;170:116051. doi: 10.1016/j.biopha.2023.116051. Epub 2023 Dec 28.
3
Stigmasterol Depresses the Proliferation and Facilitates the Apoptosis of Fibroblast-Like Synoviocytes via the PI3K/AKT Signaling Pathway in Collagen-Induced Arthritis Rats.
豆甾醇通过 PI3K/AKT 信号通路抑制胶原诱导性关节炎大鼠成纤维样滑膜细胞增殖并促进其凋亡。
Altern Ther Health Med. 2024 Aug;30(8):338-345.
4
Rheum palmatum L. and Salvia miltiorrhiza Bge. Alleviates Acute Pancreatitis by Regulating Th17 Cell Differentiation: An Integrated Network Pharmacology Analysis, Molecular Dynamics Simulation and Experimental Validation.拳参和丹参通过调控 Th17 细胞分化缓解急性胰腺炎:整合网络药理学分析、分子动力学模拟和实验验证。
Chin J Integr Med. 2024 May;30(5):408-420. doi: 10.1007/s11655-023-3559-6. Epub 2023 Oct 20.
5
Huanglian Ganjiang decoction alleviates ulcerative colitis by restoring gut barrier via APOC1-JNK/P38 MAPK signal pathway based on proteomic analysis.基于蛋白质组学分析,黄连干姜汤通过APOC1-JNK/P38 MAPK信号通路恢复肠道屏障来缓解溃疡性结肠炎。
J Ethnopharmacol. 2024 Jan 10;318(Pt B):116994. doi: 10.1016/j.jep.2023.116994. Epub 2023 Aug 2.
6
Stigmasterol alleviates allergic airway inflammation and airway hyperresponsiveness in asthma mice through inhibiting substance-P receptor.豆甾醇通过抑制 P 物质受体缓解哮喘小鼠的过敏性气道炎症和气道高反应性。
Pharm Biol. 2023 Dec;61(1):449-458. doi: 10.1080/13880209.2023.2173252.
7
Investigation of the anti-inflammatory effects of stigmasterol in mice: insight into its mechanism of action.研究豆甾醇对小鼠的抗炎作用:深入了解其作用机制。
Behav Pharmacol. 2021 Dec 1;32(8):640-651. doi: 10.1097/FBP.0000000000000658.
8
Beneficial effects of secretome derived from mesenchymal stem cells with stigmasterol to negate IL-1β-induced inflammation in-vitro using rat chondrocytes-OA management.利用甾醇处理间充质干细胞来源的外泌体对大鼠软骨细胞-骨关节炎模型中 IL-1β诱导的炎症的体外抑制作用及其对骨关节炎的治疗作用。
Inflammopharmacology. 2021 Dec;29(6):1701-1717. doi: 10.1007/s10787-021-00874-z. Epub 2021 Sep 21.
9
Escin Sodium Improves the Prognosis of Acute Pancreatitis via Promoting Cell Apoptosis by Suppression of the ERK/STAT3 Signaling Pathway.七叶皂苷钠通过抑制 ERK/STAT3 信号通路促进细胞凋亡改善急性胰腺炎的预后。
Oxid Med Cell Longev. 2021 Aug 12;2021:9921839. doi: 10.1155/2021/9921839. eCollection 2021.
10
A novel therapeutic combination of mesenchymal stem cells and stigmasterol to attenuate osteoarthritis in rodent model system-a proof of concept study.间充质干细胞与豆甾醇的新型治疗组合减轻啮齿动物模型系统中的骨关节炎——一项概念验证研究
Stem Cell Investig. 2021 Mar 23;8:5. doi: 10.21037/sci-2020-048. eCollection 2021.