• 文献检索
  • 文档翻译
  • 深度研究
  • 学术资讯
  • Suppr Zotero 插件Zotero 插件
  • 邀请有礼
  • 套餐&价格
  • 历史记录
应用&插件
Suppr Zotero 插件Zotero 插件浏览器插件Mac 客户端Windows 客户端微信小程序
定价
高级版会员购买积分包购买API积分包
服务
文献检索文档翻译深度研究API 文档MCP 服务
关于我们
关于 Suppr公司介绍联系我们用户协议隐私条款
关注我们

Suppr 超能文献

核心技术专利:CN118964589B侵权必究
粤ICP备2023148730 号-1Suppr @ 2026

文献检索

告别复杂PubMed语法,用中文像聊天一样搜索,搜遍4000万医学文献。AI智能推荐,让科研检索更轻松。

立即免费搜索

文件翻译

保留排版,准确专业,支持PDF/Word/PPT等文件格式,支持 12+语言互译。

免费翻译文档

深度研究

AI帮你快速写综述,25分钟生成高质量综述,智能提取关键信息,辅助科研写作。

立即免费体验

丙酮酸激酶M2通过乳酸依赖的转录调控控制耳蜗发育。

PKM2 controls cochlear development through lactate-dependent transcriptional regulation.

作者信息

Wu Mingxuan, Jia Gaogan, Liu Yaoqian, Lou Yiyun, Li Yunjie, Xia Mingyu, Li Huawei, Li Wenyan

机构信息

ENT Institute and Otorhinolaryngology Department of Eye & ENT Hospital, State Key Laboratory of Medical Neurobiology and MOE Frontiers Center for Brain Science, Fudan University, Shanghai 200031, China.

Institutes of Biomedical Sciences, Fudan University, Shanghai 200032, China.

出版信息

Proc Natl Acad Sci U S A. 2025 Jan 14;122(2):e2410829122. doi: 10.1073/pnas.2410829122. Epub 2025 Jan 8.

DOI:10.1073/pnas.2410829122
PMID:39773029
原文链接:https://pmc.ncbi.nlm.nih.gov/articles/PMC11745320/
Abstract

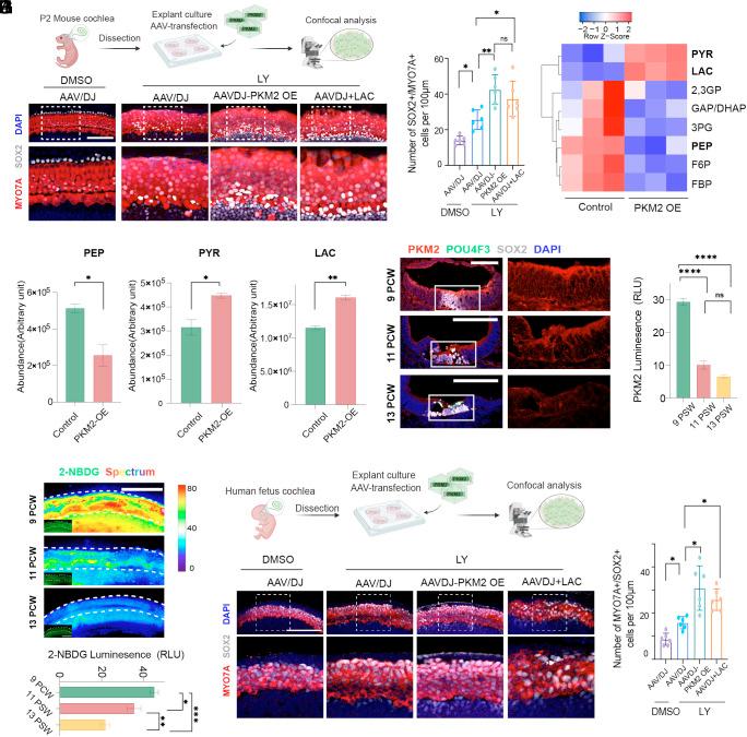
Understanding the role of metabolic processes during inner ear development is essential for identifying targets for hair cell (HC) regeneration, as metabolic choices play a crucial role in cell proliferation and differentiation. Among the metabolic processes, growing evidence shows that glucose metabolism is closely related to organ development. However, the role of glucose metabolism in mammalian inner ear development and HC regeneration remains unclear. In this study, we found that glycolytic metabolism is highly active during mouse and human cochlear prosensory epithelium expansion. Using mouse cochlear organoids, we revealed that glycolytic activity in cochlear nonsensory epithelial cells was predominantly dominated by pyruvate kinase M2 (PKM2). Deletion of PKM2 induced a metabolic switch from glycolysis to oxidative phosphorylation, impairing cochlear organoid formation. Furthermore, conditional loss of PKM2 in cochlear progenitors hindered sensory epithelium morphogenesis, as demonstrated in PKM2 knockout mice. Mechanistically, pyruvate is generated by PKM2 catalysis and then converted into lactate, which then lactylates histone H3, regulating the transcription of key genes for cochlear development. Specifically, accumulated lactate causes histone H3 lactylation at lysine 9 (H3K9la), upregulating the expression of family transcription factors through epigenetic modification. Moreover, overexpression of PKM2 in supporting cells (SCs) triggered metabolism reprogramming and enhanced HC generation in cultured mouse and human cochlear explants. Our findings uncover a molecular mechanism of sensory epithelium formation driven by glycolysis-lactate flow and suggest unique approaches for mammalian HC regeneration.

摘要

了解内耳发育过程中代谢过程的作用对于确定毛细胞(HC)再生的靶点至关重要,因为代谢选择在细胞增殖和分化中起着关键作用。在众多代谢过程中,越来越多的证据表明葡萄糖代谢与器官发育密切相关。然而,葡萄糖代谢在哺乳动物内耳发育和HC再生中的作用仍不清楚。在本研究中,我们发现糖酵解代谢在小鼠和人类耳蜗前感觉上皮扩张过程中高度活跃。利用小鼠耳蜗类器官,我们发现耳蜗非感觉上皮细胞中的糖酵解活性主要由丙酮酸激酶M2(PKM2)主导。PKM2的缺失诱导了从糖酵解到氧化磷酸化的代谢转变,损害了耳蜗类器官的形成。此外,如PKM2基因敲除小鼠所示,耳蜗祖细胞中PKM2的条件性缺失阻碍了感觉上皮的形态发生。从机制上讲,丙酮酸由PKM2催化生成,然后转化为乳酸,乳酸随后使组蛋白H3乳酸化,调节耳蜗发育关键基因的转录。具体而言,积累的乳酸导致组蛋白H3在赖氨酸9处乳酸化(H3K9la),通过表观遗传修饰上调家族转录因子的表达。此外,在支持细胞(SCs)中过表达PKM2会引发代谢重编程,并增强培养的小鼠和人类耳蜗外植体中的HC生成。我们的研究结果揭示了由糖酵解-乳酸流驱动的感觉上皮形成的分子机制,并为哺乳动物HC再生提出了独特的方法。

https://cdn.ncbi.nlm.nih.gov/pmc/blobs/8899/11745320/6445cf914338/pnas.2410829122fig06.jpg
https://cdn.ncbi.nlm.nih.gov/pmc/blobs/8899/11745320/860411781fdc/pnas.2410829122fig01.jpg
https://cdn.ncbi.nlm.nih.gov/pmc/blobs/8899/11745320/ae5861326c3b/pnas.2410829122fig02.jpg
https://cdn.ncbi.nlm.nih.gov/pmc/blobs/8899/11745320/bd7293aa79ca/pnas.2410829122fig03.jpg
https://cdn.ncbi.nlm.nih.gov/pmc/blobs/8899/11745320/d66d94c6cbe4/pnas.2410829122fig04.jpg
https://cdn.ncbi.nlm.nih.gov/pmc/blobs/8899/11745320/037e87bd4240/pnas.2410829122fig05.jpg
https://cdn.ncbi.nlm.nih.gov/pmc/blobs/8899/11745320/6445cf914338/pnas.2410829122fig06.jpg
https://cdn.ncbi.nlm.nih.gov/pmc/blobs/8899/11745320/860411781fdc/pnas.2410829122fig01.jpg
https://cdn.ncbi.nlm.nih.gov/pmc/blobs/8899/11745320/ae5861326c3b/pnas.2410829122fig02.jpg
https://cdn.ncbi.nlm.nih.gov/pmc/blobs/8899/11745320/bd7293aa79ca/pnas.2410829122fig03.jpg
https://cdn.ncbi.nlm.nih.gov/pmc/blobs/8899/11745320/d66d94c6cbe4/pnas.2410829122fig04.jpg
https://cdn.ncbi.nlm.nih.gov/pmc/blobs/8899/11745320/037e87bd4240/pnas.2410829122fig05.jpg
https://cdn.ncbi.nlm.nih.gov/pmc/blobs/8899/11745320/6445cf914338/pnas.2410829122fig06.jpg

相似文献

1
PKM2 controls cochlear development through lactate-dependent transcriptional regulation.丙酮酸激酶M2通过乳酸依赖的转录调控控制耳蜗发育。
Proc Natl Acad Sci U S A. 2025 Jan 14;122(2):e2410829122. doi: 10.1073/pnas.2410829122. Epub 2025 Jan 8.
2
Transcription factor LHX9 (LIM Homeobox 9) enhances pyruvate kinase PKM2 activity to induce glycolytic metabolic reprogramming in cancer stem cells, promoting gastric cancer progression.转录因子 LHX9(LIM 同源盒 9)增强丙酮酸激酶 PKM2 的活性,诱导肿瘤干细胞的糖酵解代谢重编程,促进胃癌的进展。
J Transl Med. 2023 Nov 18;21(1):833. doi: 10.1186/s12967-023-04658-7.
3
PKM2-dependent metabolic reprogramming in CD4 T cells is crucial for hyperhomocysteinemia-accelerated atherosclerosis.CD4 T 细胞中 PKM2 依赖性代谢重编程对于高同型半胱氨酸血症加速动脉粥样硬化至关重要。
J Mol Med (Berl). 2018 Jun;96(6):585-600. doi: 10.1007/s00109-018-1645-6. Epub 2018 May 7.
4
Inhibition of PKM2 by shikonin impedes TGF-β1 expression by repressing histone lactylation to alleviate renal fibrosis.紫草素对PKM2的抑制作用通过抑制组蛋白乳酸化来阻碍TGF-β1表达,从而减轻肾纤维化。
Phytomedicine. 2025 Jan;136:156324. doi: 10.1016/j.phymed.2024.156324. Epub 2024 Dec 15.
5
Estradiol-17β upregulates pyruvate kinase M2 expression to coactivate estrogen receptor-α and to integrate metabolic reprogramming with the mitogenic response in endometrial cells.雌二醇-17β上调丙酮酸激酶 M2 的表达,以协同激活雌激素受体-α,并将代谢重编程与子宫内膜细胞的有丝分裂反应整合在一起。
J Clin Endocrinol Metab. 2014 Oct;99(10):3790-9. doi: 10.1210/jc.2013-2639. Epub 2014 Jan 28.
6
Pyruvate kinase expression (PKM1 and PKM2) in cancer-associated fibroblasts drives stromal nutrient production and tumor growth.在肿瘤相关成纤维细胞中,丙酮酸激酶表达(PKM1 和 PKM2)驱动基质营养物质的产生和肿瘤生长。
Cancer Biol Ther. 2011 Dec 15;12(12):1101-13. doi: 10.4161/cbt.12.12.18703.
7
Metabolic and Proliferative State of Vascular Adventitial Fibroblasts in Pulmonary Hypertension Is Regulated Through a MicroRNA-124/PTBP1 (Polypyrimidine Tract Binding Protein 1)/Pyruvate Kinase Muscle Axis.肺动脉高压中血管外膜成纤维细胞的代谢和增殖状态通过微小RNA-124/PTBP1(多嘧啶序列结合蛋白1)/丙酮酸激酶肌肉轴进行调节。
Circulation. 2017 Dec 19;136(25):2468-2485. doi: 10.1161/CIRCULATIONAHA.117.028069. Epub 2017 Sep 26.
8
Apoptin Inhibits Glycolysis and Regulates Autophagy by Targeting Pyruvate Kinase M2 (PKM2) in Lung Cancer A549 Cells.凋亡素通过靶向肺癌 A549 细胞中的丙酮酸激酶 M2(PKM2)抑制糖酵解并调节自噬。
Curr Cancer Drug Targets. 2024;24(4):411-424. doi: 10.2174/1568009623666221025150239.
9
Pyruvate Kinase M2 Supports Muscle Progenitor Cell Proliferation but Is Dispensable for Skeletal Muscle Regeneration after Injury.丙酮酸激酶 M2 支持肌肉祖细胞增殖,但对于损伤后的骨骼肌再生并非必需。
J Nutr. 2021 Nov 2;151(11):3313-3328. doi: 10.1093/jn/nxab251.
10
Muscle-specific pyruvate kinase isoforms, PKM1 and PKM2, regulate mammalian SWI/SNF proteins and histone 3 phosphorylation during myoblast differentiation.肌特异性丙酮酸激酶同工酶 PKM1 和 PKM2 在成肌细胞分化过程中调节哺乳动物 SWI/SNF 蛋白和组蛋白 3 的磷酸化。
FASEB J. 2024 Jun 15;38(11):e23702. doi: 10.1096/fj.202400784R.

引用本文的文献

1
PKM2 orchestrates tumor progression via metabolic reprogramming and MDSCs-mediated immune suppression in the tumor microenvironment.丙酮酸激酶M2(PKM2)通过代谢重编程和肿瘤微环境中髓源性抑制细胞(MDSCs)介导的免疫抑制来调控肿瘤进展。
Front Immunol. 2025 Aug 29;16:1588019. doi: 10.3389/fimmu.2025.1588019. eCollection 2025.
2
The Notch ligand Jagged1 plays a dual role in cochlear hair cell regeneration.Notch配体Jagged1在耳蜗毛细胞再生中发挥双重作用。
Nat Commun. 2025 Sep 1;16(1):8169. doi: 10.1038/s41467-025-63053-6.
3
Inner Ear Organoid as a Preclinical Model of Hearing Regeneration: Progress and Applications.

本文引用的文献

1
Altered metabolism in cancer: insights into energy pathways and therapeutic targets.癌症中的代谢改变:能量途径和治疗靶点的新见解。
Mol Cancer. 2024 Sep 18;23(1):203. doi: 10.1186/s12943-024-02119-3.
2
A phase I/IIa safety and efficacy trial of intratympanic gamma-secretase inhibitor as a regenerative drug treatment for sensorineural hearing loss.一项关于鼓室内 γ-分泌酶抑制剂作为治疗感音神经性听力损失的再生药物的 I/IIa 期安全性和疗效的临床试验。
Nat Commun. 2024 Mar 1;15(1):1896. doi: 10.1038/s41467-024-45784-0.
3
Hair cell regeneration, reinnervation, and restoration of hearing thresholds in the avian hearing organ.
内耳类器官作为听力再生的临床前模型:进展与应用
Stem Cell Rev Rep. 2025 Jul 25. doi: 10.1007/s12015-025-10941-5.
4
Histone and non-histone lactylation: molecular mechanisms, biological functions, diseases, and therapeutic targets.组蛋白和非组蛋白乳酰化:分子机制、生物学功能、疾病及治疗靶点。
Mol Biomed. 2025 Jun 9;6(1):38. doi: 10.1186/s43556-025-00275-6.
5
Epigenetic Modifications in Sensorineural Hearing Loss: Protective Mechanisms and Therapeutic Potential.感音神经性听力损失中的表观遗传修饰:保护机制与治疗潜力
Curr Med Sci. 2025 Jun;45(3):415-429. doi: 10.1007/s11596-025-00049-9. Epub 2025 May 21.
禽类听觉器官中的毛细胞再生、再神经支配和听力阈值的恢复。
Cell Rep. 2024 Mar 26;43(3):113822. doi: 10.1016/j.celrep.2024.113822. Epub 2024 Feb 22.
4
Comprehensive multiscale analysis of lactate metabolic dynamics in vitro and in vivo using highly responsive biosensors.使用高响应生物传感器对体外和体内乳酸代谢动力学进行综合多尺度分析。
Nat Protoc. 2024 May;19(5):1311-1347. doi: 10.1038/s41596-023-00948-y. Epub 2024 Feb 2.
5
Histone lactylation couples cellular metabolism with developmental gene regulatory networks.组蛋白乳酰化将细胞代谢与发育基因调控网络联系起来。
Nat Commun. 2024 Jan 2;15(1):90. doi: 10.1038/s41467-023-44121-1.
6
Lactate-induced histone lactylation by p300 promotes osteoblast differentiation.p300 诱导的组蛋白乳酰化促进成骨细胞分化。
PLoS One. 2023 Dec 5;18(12):e0293676. doi: 10.1371/journal.pone.0293676. eCollection 2023.
7
Varying mechanical forces drive sensory epithelium formation.不同的机械力驱动感觉上皮的形成。
Sci Adv. 2023 Nov 3;9(44):eadf2664. doi: 10.1126/sciadv.adf2664.
8
DNA methylation in the mouse cochlea promotes maturation of supporting cells and contributes to the failure of hair cell regeneration.小鼠耳蜗中的 DNA 甲基化促进支持细胞的成熟,并导致毛细胞再生失败。
Proc Natl Acad Sci U S A. 2023 Aug 15;120(33):e2300839120. doi: 10.1073/pnas.2300839120. Epub 2023 Aug 7.
9
Enhanced glycolysis-mediated energy production in alveolar stem cells is required for alveolar regeneration.增强的肺泡干细胞糖酵解代谢介导的能量生成对于肺泡再生是必需的。
Cell Stem Cell. 2023 Aug 3;30(8):1028-1042.e7. doi: 10.1016/j.stem.2023.07.007.
10
Gradients of glucose metabolism regulate morphogen signalling required for specifying tonotopic organisation in the chicken cochlea.葡萄糖代谢梯度调节形态发生素信号,这对于在鸡耳蜗中指定音位组织是必需的。
Elife. 2023 Aug 4;12:e86233. doi: 10.7554/eLife.86233.