• 文献检索
  • 文档翻译
  • 深度研究
  • 学术资讯
  • Suppr Zotero 插件Zotero 插件
  • 邀请有礼
  • 套餐&价格
  • 历史记录
应用&插件
Suppr Zotero 插件Zotero 插件浏览器插件Mac 客户端Windows 客户端微信小程序
定价
高级版会员购买积分包购买API积分包
服务
文献检索文档翻译深度研究API 文档MCP 服务
关于我们
关于 Suppr公司介绍联系我们用户协议隐私条款
关注我们

Suppr 超能文献

核心技术专利:CN118964589B侵权必究
粤ICP备2023148730 号-1Suppr @ 2026

文献检索

告别复杂PubMed语法,用中文像聊天一样搜索,搜遍4000万医学文献。AI智能推荐,让科研检索更轻松。

立即免费搜索

文件翻译

保留排版,准确专业,支持PDF/Word/PPT等文件格式,支持 12+语言互译。

免费翻译文档

深度研究

AI帮你快速写综述,25分钟生成高质量综述,智能提取关键信息,辅助科研写作。

立即免费体验

模仿良性皮肤病的儿童蕈样肉芽肿:1例罕见病例报告

Pediatric Mycosis Fungoides Mimicking Benign Dermatoses: A Report of a Rare Case.

作者信息

Rosli Salwa, Abd Halim Haizlene, Md-Yasin Mazapuspavina, Abu Bakar Nur Aini

机构信息

Department of Primary Care Medicine, Faculty of Universiti Teknologi MARA (UiTM), Sungai Buloh, Selangor, Malaysia.

Hospital Al-Sultan Abdullah (HASA), Universiti Teknologi MARA (UiTM), Puncak Alam, Selangor, Malaysia.

出版信息

Am J Case Rep. 2025 Jan 7;26:e945897. doi: 10.12659/AJCR.945897.

DOI:10.12659/AJCR.945897
PMID:39774580
原文链接:https://pmc.ncbi.nlm.nih.gov/articles/PMC11725661/
Abstract

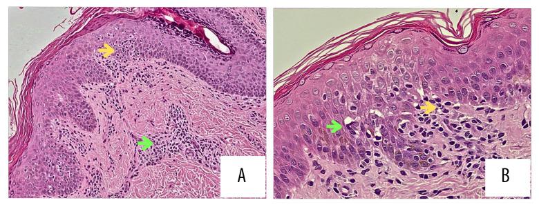
BACKGROUND Primary cutaneous lymphomas (PCL) are a multifaceted spectrum of cutaneous T cell lymphoma (CTCL) and cutaneous B cell lymphomas (CBCL). Mycosis fungoides (MF) is a rare subset of CTCL that primarily affects adults, and its occurrence in children is exceedingly rare. Most pediatric MF manifests as hypopigmented patches resembling other benign dermatoses, causing diagnostic challenges. This report outlines a case of pediatric MF in a 7-year-old Malaysian boy. CASE REPORT A 7-year-old boy exhibited progressing skin lesions characterized initially by erythematous, papular rashes over the face and upper limbs, then to the whole body, becoming hypopigmented, with pruritus and scaling for 1 year. Multiple clinics treated him for eczema and pityriasis alba but he responded poorly to courses of various topical steroids and emollient treatment. Due to the refractory nature of the lesions, he was subsequently referred to a dermatology clinic, where 2 skin biopsies were performed. The first biopsy revealed epidermotropism of atypical lymphocytes, consistent with MF. Immunohistochemical analysis revealed positive CD3+ expression with slightly reduced CD4+, CD7+, and CD8+ expression, and normal CD2+ and CD5+ expression at the epidermis level. Nevertheless, due to the rarity of MF in children, a second biopsy was performed, validating the diagnosis. CONCLUSIONS Pediatric MF is a rare and challenging diagnosis. This case report highlights the importance of close monitoring of unresolved hypopigmented lesions and increased vigilance on lesions not responding to standard treatment. Timely diagnosis with support of skin biopsy is crucial to avoid potentially serious disease progression and helps provide appropriate management leading to improved outcomes.

摘要

背景 原发性皮肤淋巴瘤(PCL)是皮肤T细胞淋巴瘤(CTCL)和皮肤B细胞淋巴瘤(CBCL)的一个多方面的谱系。蕈样肉芽肿(MF)是CTCL的一个罕见亚型,主要影响成年人,在儿童中极为罕见。大多数儿童MF表现为色素减退斑,类似于其他良性皮肤病,这给诊断带来了挑战。本报告概述了一名7岁马来西亚男孩患儿童MF的病例。病例报告 一名7岁男孩出现进行性皮肤病变,最初表现为面部和上肢的红斑、丘疹性皮疹,随后发展至全身,变为色素减退,伴有瘙痒和鳞屑,持续1年。多家诊所对他进行了湿疹和白色糠疹的治疗,但他对各种外用类固醇和润肤剂治疗方案反应不佳。由于病变的难治性,他随后被转诊至皮肤科诊所,在那里进行了2次皮肤活检。第一次活检显示非典型淋巴细胞向表皮浸润,符合MF。免疫组织化学分析显示在表皮水平CD3 + 表达阳性,CD4 +、CD7 + 和CD8 + 表达略有降低,CD2 + 和CD5 + 表达正常。然而,由于儿童MF罕见,进行了第二次活检以确诊。结论 儿童MF是一种罕见且具有挑战性的诊断。本病例报告强调了密切监测未消退的色素减退性病变以及对标准治疗无反应的病变提高警惕的重要性。在皮肤活检的支持下及时诊断对于避免潜在的严重疾病进展至关重要,并有助于提供适当的管理以改善预后。

https://cdn.ncbi.nlm.nih.gov/pmc/blobs/fe54/11725661/c369ce8b40bb/amjcaserep-26-e945897-g006.jpg
https://cdn.ncbi.nlm.nih.gov/pmc/blobs/fe54/11725661/8462e4615370/amjcaserep-26-e945897-g001.jpg
https://cdn.ncbi.nlm.nih.gov/pmc/blobs/fe54/11725661/be916f4170fe/amjcaserep-26-e945897-g002.jpg
https://cdn.ncbi.nlm.nih.gov/pmc/blobs/fe54/11725661/9dffc4de31d9/amjcaserep-26-e945897-g003.jpg
https://cdn.ncbi.nlm.nih.gov/pmc/blobs/fe54/11725661/31c714e70db7/amjcaserep-26-e945897-g004.jpg
https://cdn.ncbi.nlm.nih.gov/pmc/blobs/fe54/11725661/56d71f702946/amjcaserep-26-e945897-g005.jpg
https://cdn.ncbi.nlm.nih.gov/pmc/blobs/fe54/11725661/c369ce8b40bb/amjcaserep-26-e945897-g006.jpg
https://cdn.ncbi.nlm.nih.gov/pmc/blobs/fe54/11725661/8462e4615370/amjcaserep-26-e945897-g001.jpg
https://cdn.ncbi.nlm.nih.gov/pmc/blobs/fe54/11725661/be916f4170fe/amjcaserep-26-e945897-g002.jpg
https://cdn.ncbi.nlm.nih.gov/pmc/blobs/fe54/11725661/9dffc4de31d9/amjcaserep-26-e945897-g003.jpg
https://cdn.ncbi.nlm.nih.gov/pmc/blobs/fe54/11725661/31c714e70db7/amjcaserep-26-e945897-g004.jpg
https://cdn.ncbi.nlm.nih.gov/pmc/blobs/fe54/11725661/56d71f702946/amjcaserep-26-e945897-g005.jpg
https://cdn.ncbi.nlm.nih.gov/pmc/blobs/fe54/11725661/c369ce8b40bb/amjcaserep-26-e945897-g006.jpg

相似文献

1
Pediatric Mycosis Fungoides Mimicking Benign Dermatoses: A Report of a Rare Case.模仿良性皮肤病的儿童蕈样肉芽肿:1例罕见病例报告
Am J Case Rep. 2025 Jan 7;26:e945897. doi: 10.12659/AJCR.945897.
2
Pityriasis Lichenoid-like Mycosis Fungoides in a 9-year-old Boy: A Case Report.一名9岁男孩的苔藓样糠疹样蕈样肉芽肿:病例报告
Acta Dermatovenerol Croat. 2019 Mar;27(1):37-39.
3
Mycosis fungoides with spongiosis: a case report.蕈样肉芽肿伴海绵形成:一例报告。
J Med Case Rep. 2023 Nov 3;17(1):458. doi: 10.1186/s13256-023-04188-2.
4
Childhood hypopigmented mycosis fungoides: a commonly delayed diagnosis.儿童色素减退性蕈样肉芽肿:一种常被延迟诊断的疾病。
BMJ Case Rep. 2014 Dec 23;2014:bcr2014208306. doi: 10.1136/bcr-2014-208306.
5
Detection of circulating T cells with CD4+CD7- immunophenotype in patients with benign and malignant lymphoproliferative dermatoses.良性和恶性淋巴增殖性皮肤病患者中具有CD4+CD7-免疫表型的循环T细胞的检测
J Am Acad Dermatol. 1996 Sep;35(3 Pt 1):404-10. doi: 10.1016/s0190-9622(96)90605-2.
6
A rare case of mycosis fungoides with porokeratosis-like lesions: a case report and review of previous literature.蕈样肉芽肿伴汗孔角化病样损害1例罕见病例报告及文献复习
AME Case Rep. 2025 Mar 31;9:67. doi: 10.21037/acr-24-210. eCollection 2025.
7
Primary cutaneous T-cell lymphoma (mycosis fungoides and Sézary syndrome): part I. Diagnosis: clinical and histopathologic features and new molecular and biologic markers.原发性皮肤 T 细胞淋巴瘤(蕈样肉芽肿和赛泽里综合征):第一部分。诊断:临床和组织病理学特征以及新的分子和生物学标志物。
J Am Acad Dermatol. 2014 Feb;70(2):205.e1-16; quiz 221-2. doi: 10.1016/j.jaad.2013.07.049.
8
Prevalence of T-cell antigen losses in mycosis fungoides and CD30-positive cutaneous T-cell lymphoproliferations in a series of 153 patients.在 153 例患者的一系列病例中,蕈样肉芽肿和 CD30 阳性皮肤 T 细胞淋巴瘤增殖患者 T 细胞抗原缺失的发生率。
Pathology. 2022 Oct;54(6):729-737. doi: 10.1016/j.pathol.2022.02.008. Epub 2022 May 14.
9
Diagnosis of mycosis fungoides: a comparative immunohistochemical study of T-cell markers using a novel anti-CD7 antibody.蕈样肉芽肿的诊断:使用新型抗CD7抗体对T细胞标志物进行的比较免疫组织化学研究
Appl Immunohistochem Mol Morphol. 2006 Sep;14(3):291-5. doi: 10.1097/00129039-200609000-00006.
10
Hyperpigmented Mycosis Fungoides - A Rare Entity.色素沉着性蕈样肉芽肿——一种罕见实体。
Acta Dermatovenerol Croat. 2019 Jun;27(2):131-132.

本文引用的文献

1
Paediatric Mycosis Fungoides: Clinical Variants, Treatment Modalities and Response to Therapy.儿童蕈样肉芽肿:临床变异型、治疗方式和治疗反应。
Acta Derm Venereol. 2023 Jul 14;103:adv6557. doi: 10.2340/actadv.v103.6557.
2
Mycosis fungoides in pediatric population: comprehensive review on epidemiology, clinical presentation, and management.儿童蕈样肉芽肿:流行病学、临床表现和治疗的全面综述。
Int J Dermatol. 2022 Dec;61(12):1458-1466. doi: 10.1111/ijd.16098. Epub 2022 Feb 22.
3
Paediatric mycosis fungoides - characteristics, management and outcomes with particular focus on the folliculotropic variant.
儿童蕈样肉芽肿——特征、管理及预后,特别关注亲毛囊性变种
J Eur Acad Dermatol Venereol. 2022 May;36(5):671-679. doi: 10.1111/jdv.17971. Epub 2022 Mar 2.
4
Primary cutaneous T-cell lymphomas in childhood and adolescence.儿童和青少年原发性皮肤 T 细胞淋巴瘤。
J Dtsch Dermatol Ges. 2021 Apr;19(4):563-581. doi: 10.1111/ddg.14509.
5
Mycosis Fungoides in Children and Adolescents: A Systematic Review.儿童和青少年蕈样肉芽肿:系统评价。
JAMA Dermatol. 2021 Apr 1;157(4):431-438. doi: 10.1001/jamadermatol.2021.0083.
6
Mycosis Fungoides: A Clinicopathological Study of 60 Cases from a Tertiary Care Center.蕈样肉芽肿:来自三级医疗中心的60例临床病理研究
Indian J Dermatol. 2020 Mar-Apr;65(2):123-129. doi: 10.4103/ijd.IJD_602_18.
7
CD8 cytotoxic mycosis fungoides: a retrospective analysis of clinical features and follow-up results of 29 patients.CD8 细胞毒性蕈样肉芽肿:29 例患者的临床特征和随访结果的回顾性分析。
Int J Dermatol. 2020 Jan;59(1):127-133. doi: 10.1111/ijd.14689. Epub 2019 Oct 21.
8
Mycosis Fungoides in Children and Adolescents: A Series of 23 Cases.儿童和青少年蕈样肉芽肿:23 例系列病例。
Actas Dermosifiliogr (Engl Ed). 2020 Mar;111(2):149-156. doi: 10.1016/j.ad.2019.04.004. Epub 2019 Jul 2.
9
Mycosis fungoides: A great imitator.蕈样肉芽肿:一位伟大的模仿者。
Clin Dermatol. 2019 May-Jun;37(3):255-267. doi: 10.1016/j.clindermatol.2019.01.004. Epub 2019 Jan 11.
10
Clinical Outcome and Prognosis of Young Patients with Mycosis Fungoides.蕈样肉芽肿年轻患者的临床结局与预后
Pediatr Dermatol. 2017 Sep;34(5):547-553. doi: 10.1111/pde.13226. Epub 2017 Aug 14.