Suppr超能文献

咯血作为感染性主动脉瘤破裂的一种表现。

Haemoptysis as a presentation of an infected aortic aneurysm rupture.

作者信息

Landin-Rey Elisa, Toubes-Navarro Maria Elena, Dominguez-Robla Miguel, Rey-Bascuas Maria, Valdes-Cuadrado Luis

机构信息

Pneumology Department, Hospital Clínico Universitario de Santiago de Compostela, Spain.

Radiology Department, Hospital Clínico Universitario de Santiago de Compostela, Spain.

出版信息

Multidiscip Respir Med. 2025 Jan 8;20(1):1004. doi: 10.5826/mrm.2025.1004.

Abstract

INTRODUCTION

Infective thoracic aortic aneurysms are uncommon, especially presenting with haemoptysis.

CASE PRESENTATION

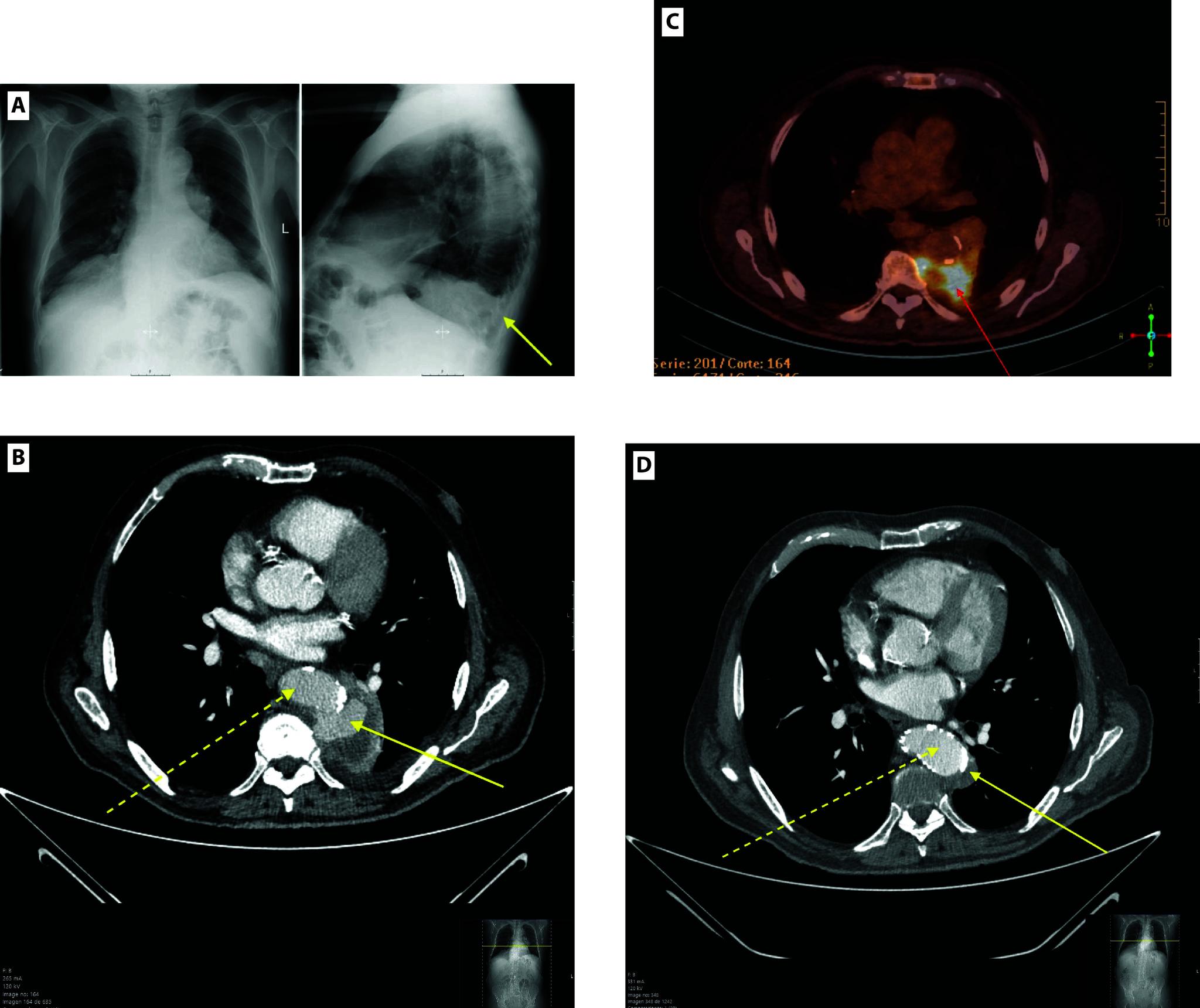
We report the case of an 81-year-old male who presented with fever and pleuritic chest pain and was initially misdiagnosed with community-acquired pneumonia. A CT scan later  revealed a saccular, ruptured thoracic aortic aneurysm. Despite antibiotic therapy, the patient developed haemoptysis, necessitating thoracic endovascular aortic repair (TEVAR). Post-procedure, the patient showed significant clinical improvement and was discharged in stable condition 45 days later.

CONCLUSIONS

Infected thoracic aortic aneurysms presenting as haemoptysis are exceptionally rare but life-threatening. Early clinical suspicion (manifested by haemoptysis, fever and thoracic pain) is essential, particularly in patients with risk factors such as immunosuppression or previous infections. This case emphasizes the importance of prompt diagnosis and intervention, along with the use of appropriate imaging techniques to reduce morbidity and mortality associated with this rare yet severe condition.

摘要

引言

感染性胸主动脉瘤并不常见,尤其是以咯血为表现的情况。

病例介绍

我们报告一例81岁男性患者,其表现为发热和胸膜炎性胸痛,最初被误诊为社区获得性肺炎。随后的CT扫描显示为囊状破裂胸主动脉瘤。尽管进行了抗生素治疗,患者仍出现咯血,需要进行胸主动脉腔内修复术(TEVAR)。术后,患者临床症状明显改善,45天后病情稳定出院。

结论

以咯血为表现的感染性胸主动脉瘤极为罕见但危及生命。早期临床怀疑(表现为咯血、发热和胸痛)至关重要,尤其是对于有免疫抑制或既往感染等危险因素的患者。本病例强调了及时诊断和干预的重要性,以及使用适当的成像技术以降低与这种罕见但严重疾病相关的发病率和死亡率。

https://cdn.ncbi.nlm.nih.gov/pmc/blobs/4a59/11798534/ff7ee1ba44ac/mrm-20-1-1004-g001.jpg

文献检索

告别复杂PubMed语法,用中文像聊天一样搜索,搜遍4000万医学文献。AI智能推荐,让科研检索更轻松。

立即免费搜索

文件翻译

保留排版,准确专业,支持PDF/Word/PPT等文件格式,支持 12+语言互译。

免费翻译文档

深度研究

AI帮你快速写综述,25分钟生成高质量综述,智能提取关键信息,辅助科研写作。

立即免费体验