Suppr超能文献

左侧下颌下区血管球瘤:1例罕见病例报告及文献复习

Glomus Tumor in the Left Submandibular Region: A Rare Case Report and Literature Review.

作者信息

Liu Huan, Zhu Chengyao

机构信息

Department of General Practice, Affiliated Hospital of Hangzhou Normal University, Hangzhou, China.

Department of Dermatology, the Fourth Affiliated Hospital of School of Medicine, and International School of Medicine, International Institutes of Medicine, Zhejiang University, Yiwu, China.

出版信息

Cancer Rep (Hoboken). 2025 Jan;8(1):e70113. doi: 10.1002/cnr2.70113.

Abstract

BACKGROUND

Glomus tumors are rare, benign mesenchymal neoplasms predominantly located in subungual regions of the extremities. Their occurrence in the mandibular region is exceptionally uncommon, presenting unique diagnostic challenges. Only a limited number of submandibular glomus tumors have been documented, leaving their presentation and management largely underexplored.

CASE

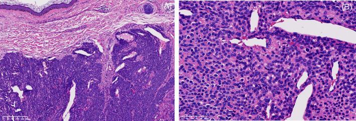
We presented a case of glomus tumor in the submandibular area of a 60-year-old female, which appeared as a purplish-red lesion. In the absence of characteristic symptoms such as tenderness and cold sensitivity, the lesion was initially misdiagnosed as a pigmented nevus. Histopathological analysis subsequently confirmed the diagnosis as a glomus tumor. Immunohistochemical (IHC) staining further confirmed the tumor's smooth muscle and mesenchymal origins, with positive for Vimentin, SMA, Syn, Actin, Desmin, and CD34. The patient underwent surgical tumor excision with no recurrence after 28 months of follow-up.

CONCLUSION

This case underscores the importance of considering glomus tumors in atypical locations and highlights the need for a comprehensive diagnostic approach to prevent misdiagnosis. Surgical excision remains the primary treatment, with extended postoperative surveillance recommended to monitor for recurrence.

摘要

背景

血管球瘤是一种罕见的良性间叶性肿瘤,主要位于四肢的甲下区域。它们在下颌区域的发生极为罕见,带来了独特的诊断挑战。仅有少数下颌下血管球瘤的病例被记录,其表现和治疗方法在很大程度上仍未得到充分探索。

病例

我们报告了一例60岁女性下颌下区域的血管球瘤病例,该肿瘤表现为紫红色病变。由于缺乏压痛和冷敏感等特征性症状,该病变最初被误诊为色素痣。随后的组织病理学分析确诊为血管球瘤。免疫组织化学(IHC)染色进一步证实了肿瘤的平滑肌和间叶起源,波形蛋白、平滑肌肌动蛋白、突触素、肌动蛋白、结蛋白和CD34呈阳性。患者接受了肿瘤手术切除,随访28个月后无复发。

结论

该病例强调了在非典型部位考虑血管球瘤的重要性,并突出了采用综合诊断方法以防止误诊的必要性。手术切除仍然是主要治疗方法,建议延长术后监测以监测复发情况。

https://cdn.ncbi.nlm.nih.gov/pmc/blobs/ca41/11705498/f5465e12ac48/CNR2-8-e70113-g001.jpg

文献检索

告别复杂PubMed语法,用中文像聊天一样搜索,搜遍4000万医学文献。AI智能推荐,让科研检索更轻松。

立即免费搜索

文件翻译

保留排版,准确专业,支持PDF/Word/PPT等文件格式,支持 12+语言互译。

免费翻译文档

深度研究

AI帮你快速写综述,25分钟生成高质量综述,智能提取关键信息,辅助科研写作。

立即免费体验