• 文献检索
  • 文档翻译
  • 深度研究
  • 学术资讯
  • Suppr Zotero 插件Zotero 插件
  • 邀请有礼
  • 套餐&价格
  • 历史记录
应用&插件
Suppr Zotero 插件Zotero 插件浏览器插件Mac 客户端Windows 客户端微信小程序
定价
高级版会员购买积分包购买API积分包
服务
文献检索文档翻译深度研究API 文档MCP 服务
关于我们
关于 Suppr公司介绍联系我们用户协议隐私条款
关注我们

Suppr 超能文献

核心技术专利:CN118964589B侵权必究
粤ICP备2023148730 号-1Suppr @ 2026

文献检索

告别复杂PubMed语法,用中文像聊天一样搜索,搜遍4000万医学文献。AI智能推荐,让科研检索更轻松。

立即免费搜索

文件翻译

保留排版,准确专业,支持PDF/Word/PPT等文件格式,支持 12+语言互译。

免费翻译文档

深度研究

AI帮你快速写综述,25分钟生成高质量综述,智能提取关键信息,辅助科研写作。

立即免费体验

伴有单侧眼球突出的额眶骨母细胞瘤:一种罕见的表现及诊断挑战综述

Fronto-Orbital Osteoblastoma With Unilateral Exophthalmos: A Rare Presentation and Review of Diagnostic Challenges.

作者信息

Khorraminejad-Shirazi Mohammadhossein, Nabavizadeh Ali, Bojnoordi Anita, Firouzabadi Dena, Rakhsha Abbas, Hosseini Seyed Ali, Dehghanian Amirreza

机构信息

Department of Pathology, School of Medicine Jahrom University of Medical Sciences Jahrom Iran.

Department of Pathology, School of Medicine Shiraz University of Medical Sciences Shiraz Iran.

出版信息

Clin Case Rep. 2025 Jan 6;13(1):e70073. doi: 10.1002/ccr3.70073. eCollection 2025 Jan.

DOI:10.1002/ccr3.70073
PMID:39776780
原文链接:https://pmc.ncbi.nlm.nih.gov/articles/PMC11705455/
Abstract

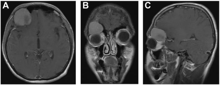
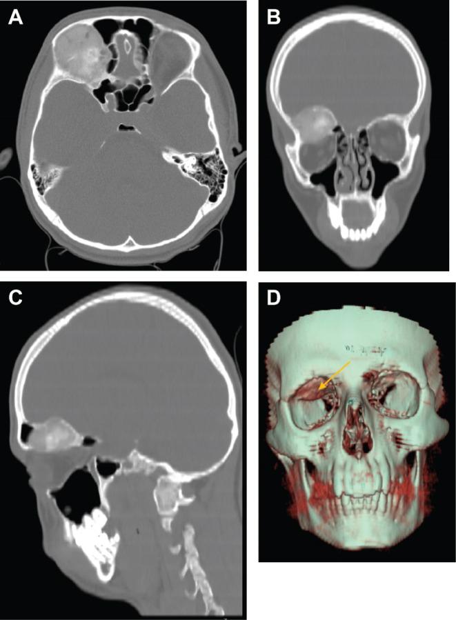
Osteoblastoma is an uncommon benign bone tumor rarely involving the craniofacial skeleton. Manifestations in the fronto-orbital region are exceptionally rare. A 19-year-old man presented with persistent headache, nausea, vomiting, right eye pain, and longstanding right exophthalmos. Imaging revealed a heterogeneous enhancing lesion located in the right anterior cranial fossa-orbital apex junction causing pressure on the orbital roof. Differential diagnoses included fibrous dysplasia and meningioma. The tumor was resected via frontal craniotomy. Definitive diagnosis of osteoblastoma was achieved postoperatively through histopathological examination and IHC studies. Craniofacial osteoblastomas, especially in the fronto-orbital region, are exceptionally rare and may present radiological features similar to other bone pathologies. Accurate diagnosis hinges on histopathological evaluation. A multidisciplinary approach is pivotal for successful diagnosis and treatment of such challenging cases.

摘要

骨母细胞瘤是一种罕见的良性骨肿瘤,很少累及颅面骨骼。额眶区域的表现极为罕见。一名19岁男性出现持续性头痛、恶心、呕吐、右眼疼痛和长期的右眼球突出。影像学检查显示一个位于右前颅窝-眶尖交界处的不均匀强化病变,对眶顶产生压迫。鉴别诊断包括骨纤维发育不良和脑膜瘤。通过额部开颅手术切除肿瘤。术后通过组织病理学检查和免疫组化研究确诊为骨母细胞瘤。颅面骨母细胞瘤,尤其是在额眶区域,极为罕见,可能呈现与其他骨病变相似的放射学特征。准确的诊断取决于组织病理学评估。多学科方法对于成功诊断和治疗此类具有挑战性的病例至关重要。

https://cdn.ncbi.nlm.nih.gov/pmc/blobs/ff5d/11705455/8496be049558/CCR3-13-e70073-g002.jpg
https://cdn.ncbi.nlm.nih.gov/pmc/blobs/ff5d/11705455/10bc32f2febd/CCR3-13-e70073-g003.jpg
https://cdn.ncbi.nlm.nih.gov/pmc/blobs/ff5d/11705455/9ef9357b6d99/CCR3-13-e70073-g004.jpg
https://cdn.ncbi.nlm.nih.gov/pmc/blobs/ff5d/11705455/619574d2ff58/CCR3-13-e70073-g001.jpg
https://cdn.ncbi.nlm.nih.gov/pmc/blobs/ff5d/11705455/8496be049558/CCR3-13-e70073-g002.jpg
https://cdn.ncbi.nlm.nih.gov/pmc/blobs/ff5d/11705455/10bc32f2febd/CCR3-13-e70073-g003.jpg
https://cdn.ncbi.nlm.nih.gov/pmc/blobs/ff5d/11705455/9ef9357b6d99/CCR3-13-e70073-g004.jpg
https://cdn.ncbi.nlm.nih.gov/pmc/blobs/ff5d/11705455/619574d2ff58/CCR3-13-e70073-g001.jpg
https://cdn.ncbi.nlm.nih.gov/pmc/blobs/ff5d/11705455/8496be049558/CCR3-13-e70073-g002.jpg

相似文献

1
Fronto-Orbital Osteoblastoma With Unilateral Exophthalmos: A Rare Presentation and Review of Diagnostic Challenges.伴有单侧眼球突出的额眶骨母细胞瘤:一种罕见的表现及诊断挑战综述
Clin Case Rep. 2025 Jan 6;13(1):e70073. doi: 10.1002/ccr3.70073. eCollection 2025 Jan.
2
Benign fronto-orbital osteoblastoma arising from the orbital roof: case report and literature review.起源于眶顶的良性额眶骨母细胞瘤:病例报告及文献复习
Surg Neurol. 2004 Apr;61(4):391-7; discussion 397. doi: 10.1016/S0090-3019(03)00455-5.
3
Osteoblastoma of the frontal bone invading the orbital roof: A case report.额骨骨母细胞瘤侵犯眶顶:一例报告。
Medicine (Baltimore). 2018 Oct;97(42):e12803. doi: 10.1097/MD.0000000000012803.
4
Aggressive osteoblastoma of the sphenoid bone.
Oncol Lett. 2010 Mar;1(2):367-371. doi: 10.3892/ol_00000065. Epub 2010 Mar 1.
5
A rare location of benign osteoblastoma: case study and a review of the literature.良性骨母细胞瘤的罕见部位:病例研究及文献复习。
Eur Rev Med Pharmacol Sci. 2012 Nov;16(13):1891-4.
6
Osteoblastoma of the frontal sinus: A rare case presenting with seizures and pneumocephalus.额窦骨母细胞瘤:一例以癫痫发作和气颅为表现的罕见病例。
Clin Case Rep. 2024 Apr 15;12(4):e8776. doi: 10.1002/ccr3.8776. eCollection 2024 Apr.
7
A rare case of periosteal osteoblastoma located in the frontal cranial bone.一例罕见的位于额颅骨的骨膜成骨细胞瘤。
Arch Pathol Lab Med. 2005 Jun;129(6):787-9. doi: 10.5858/2005-129-787-ARCOPO.
8
Osteoblastoma of the lateral skull base: work-up, surgical management, and a review of the literature".侧颅底骨母细胞瘤:检查、手术治疗及文献综述
J Neurol Surg Rep. 2013 Jun;74(1):37-42. doi: 10.1055/s-0033-1346978. Epub 2013 Jun 13.
9
Osteoblastoma of the maxillary sinus in a child presenting with exophthalmos.一名儿童上颌窦骨母细胞瘤伴眼球突出。
Eur Ann Otorhinolaryngol Head Neck Dis. 2016 Sep;133(4):277-9. doi: 10.1016/j.anorl.2016.01.007. Epub 2016 Feb 16.
10
Osteoblastoma of the frontal sinuses presenting with headache and blurred vision: case report and review of the literature.以头痛和视力模糊为表现的额窦骨母细胞瘤:病例报告及文献复习
J Radiol Case Rep. 2010;4(6):1-7. doi: 10.3941/jrcr.v4i6.387. Epub 2010 Jun 1.

本文引用的文献

1
An unusual presentation of osteoblastoma of the maxilla: A case report.上颌骨骨母细胞瘤的一种罕见表现:病例报告
Imaging Sci Dent. 2021 Dec;51(4):455-460. doi: 10.5624/isd.20210046. Epub 2021 Aug 11.
2
Paediatric fronto-orbital osteoblastoma: case report.小儿额眶骨骨母细胞瘤:病例报告。
Orbit. 2022 Jun;41(3):382-385. doi: 10.1080/01676830.2021.1872090. Epub 2021 Jan 11.
3
A Frontal Osteoblastoma in a Middle-Aged Woman Mimicking a Meningioma.
Am J Med Sci. 2021 Feb;361(2):e11-e12. doi: 10.1016/j.amjms.2020.07.013. Epub 2020 Jul 10.
4
Aggressive Cranial Osteoblastoma of the Parietotemporo-Occipital Bone: A Case Report and Review of Literature with Special Emphasis on Recurrence/Residue.顶颞枕骨侵袭性骨母细胞瘤:1 例病例报告及文献复习,重点关注复发/残留。
World Neurosurg. 2020 Oct;142:255-267. doi: 10.1016/j.wneu.2020.06.093. Epub 2020 Jun 20.
5
Osteoblastoma of the frontal bone invading the orbital roof: A case report.额骨骨母细胞瘤侵犯眶顶:一例报告。
Medicine (Baltimore). 2018 Oct;97(42):e12803. doi: 10.1097/MD.0000000000012803.
6
Bilateral Transorbital and Transnasal Endoscopic Resection of a Frontal Sinus Osteoblastoma and Orbital Mucocele: A Case Report and Review of the Literature.经双侧眶及鼻内镜切除额窦骨母细胞瘤和眶黏液囊肿:1例报告及文献复习
Ann Otol Rhinol Laryngol. 2018 Nov;127(11):864-869. doi: 10.1177/0003489418798388. Epub 2018 Sep 6.
7
Osteoblastoma of the maxillary sinus in a child presenting with exophthalmos.一名儿童上颌窦骨母细胞瘤伴眼球突出。
Eur Ann Otorhinolaryngol Head Neck Dis. 2016 Sep;133(4):277-9. doi: 10.1016/j.anorl.2016.01.007. Epub 2016 Feb 16.
8
Osteoblastoma of the orbit. A case report and review of the literature.
Neuroradiol J. 2008 Feb 18;21(1):71-6. doi: 10.1177/197140090802100109.
9
Aggressive osteoblastoma of the maxilla: a case report and review of the literature.上颌骨侵袭性骨母细胞瘤:一例报告并文献复习
Head Neck Pathol. 2011 Jun;5(2):165-70. doi: 10.1007/s12105-010-0234-y. Epub 2010 Dec 23.
10
Osteoblastoma of the maxilla and mandible: a report of 24 cases, review of the literature, and discussion of its relationship to osteoid osteoma of the jaws.上颌骨和下颌骨骨母细胞瘤:24例报告、文献综述及与颌骨骨样骨瘤关系的讨论
Oral Surg Oral Med Oral Pathol Oral Radiol Endod. 2006 Nov;102(5):639-50. doi: 10.1016/j.tripleo.2005.09.004. Epub 2006 Apr 17.