Suppr超能文献

二尖瓣修复术中异常回旋支冠状动脉闭塞

Occlusion of Abnormal Circumflex Coronary Artery During Mitral Valve Repair.

作者信息

Dorsey Michael, James Les, Shrivastava Shashwat, Loulmet Didier, Grossi Eugene

机构信息

Department of Cardiothoracic Surgery, New York University Langone Medical Center, New York, New York.

出版信息

Ann Thorac Surg Short Rep. 2024 Feb 8;2(2):274-276. doi: 10.1016/j.atssr.2024.01.007. eCollection 2024 Jun.

Abstract

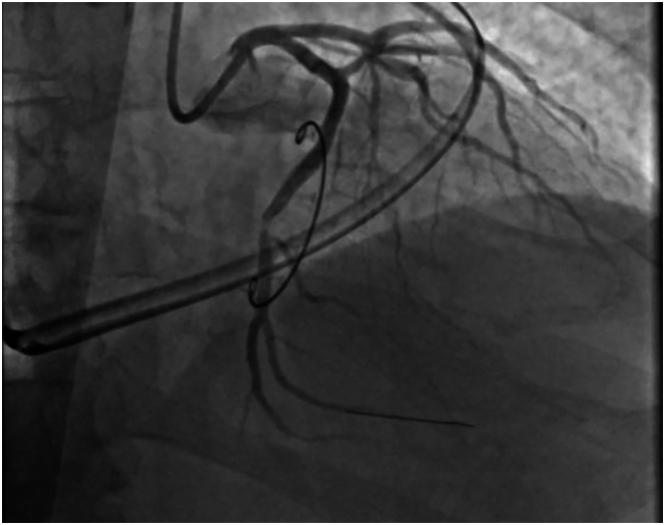
We describe a rare but interesting complication of totally endoscopic robotic mitral valve repair in a patient with severe mitral regurgitation. The mitral valve was repaired robotically by standard techniques, and the intraoperative transesophageal echocardiogram demonstrated no residual mitral regurgitation. However, there was unexpected hypokinesia of the posterior and lateral walls of the left ventricle, with subsequent electrocardiography showing acute ST elevations of the lateral segment. Immediate cardiac catheterization revealed occlusion of the left circumflex artery. Aspiration thrombectomy was performed and a drug-eluting stent placed to restore the contour, thus preventing potential morbidity of the patient.

摘要

我们描述了一例严重二尖瓣反流患者在完全内镜机器人二尖瓣修复术中出现的罕见但有趣的并发症。采用标准技术通过机器人对二尖瓣进行修复,术中经食管超声心动图显示无残余二尖瓣反流。然而,左心室后壁和侧壁出现意外的运动减退,随后心电图显示侧壁导联急性ST段抬高。立即进行心脏导管检查发现左旋支动脉闭塞。实施了抽吸血栓切除术并置入药物洗脱支架以恢复血管形态,从而预防患者可能出现的并发症。

https://cdn.ncbi.nlm.nih.gov/pmc/blobs/ddb1/11708159/975414a2b1a3/gr1.jpg

文献检索

告别复杂PubMed语法,用中文像聊天一样搜索,搜遍4000万医学文献。AI智能推荐,让科研检索更轻松。

立即免费搜索

文件翻译

保留排版,准确专业,支持PDF/Word/PPT等文件格式,支持 12+语言互译。

免费翻译文档

深度研究

AI帮你快速写综述,25分钟生成高质量综述,智能提取关键信息,辅助科研写作。

立即免费体验