• 文献检索
  • 文档翻译
  • 深度研究
  • 学术资讯
  • Suppr Zotero 插件Zotero 插件
  • 邀请有礼
  • 套餐&价格
  • 历史记录
应用&插件
Suppr Zotero 插件Zotero 插件浏览器插件Mac 客户端Windows 客户端微信小程序
定价
高级版会员购买积分包购买API积分包
服务
文献检索文档翻译深度研究API 文档MCP 服务
关于我们
关于 Suppr公司介绍联系我们用户协议隐私条款
关注我们

Suppr 超能文献

核心技术专利:CN118964589B侵权必究
粤ICP备2023148730 号-1Suppr @ 2026

文献检索

告别复杂PubMed语法,用中文像聊天一样搜索,搜遍4000万医学文献。AI智能推荐,让科研检索更轻松。

立即免费搜索

文件翻译

保留排版,准确专业,支持PDF/Word/PPT等文件格式,支持 12+语言互译。

免费翻译文档

深度研究

AI帮你快速写综述,25分钟生成高质量综述,智能提取关键信息,辅助科研写作。

立即免费体验

异常二尖瓣弓导致慢性二尖瓣反流引起的双心室功能障碍。

Biventricular Dysfunction Due to Chronic Mitral Valve Regurgitation Caused by Aberrant Mitral Arcade.

作者信息

Sakata Tomoki, Pfeil Douglas, Suri Rakesh M

机构信息

Division of Cardiac Surgery, Department of Surgery, Thomas Jefferson University, Philadelphia, Pennsylvania.

Department of Anesthesiology & Perioperative Medicine, Thomas Jefferson University, Philadelphia, Pennsylvania.

出版信息

Ann Thorac Surg Short Rep. 2024 May 28;2(4):783-786. doi: 10.1016/j.atssr.2024.05.002. eCollection 2024 Dec.

DOI:10.1016/j.atssr.2024.05.002
PMID:39790622
原文链接:https://pmc.ncbi.nlm.nih.gov/articles/PMC11708329/
Abstract

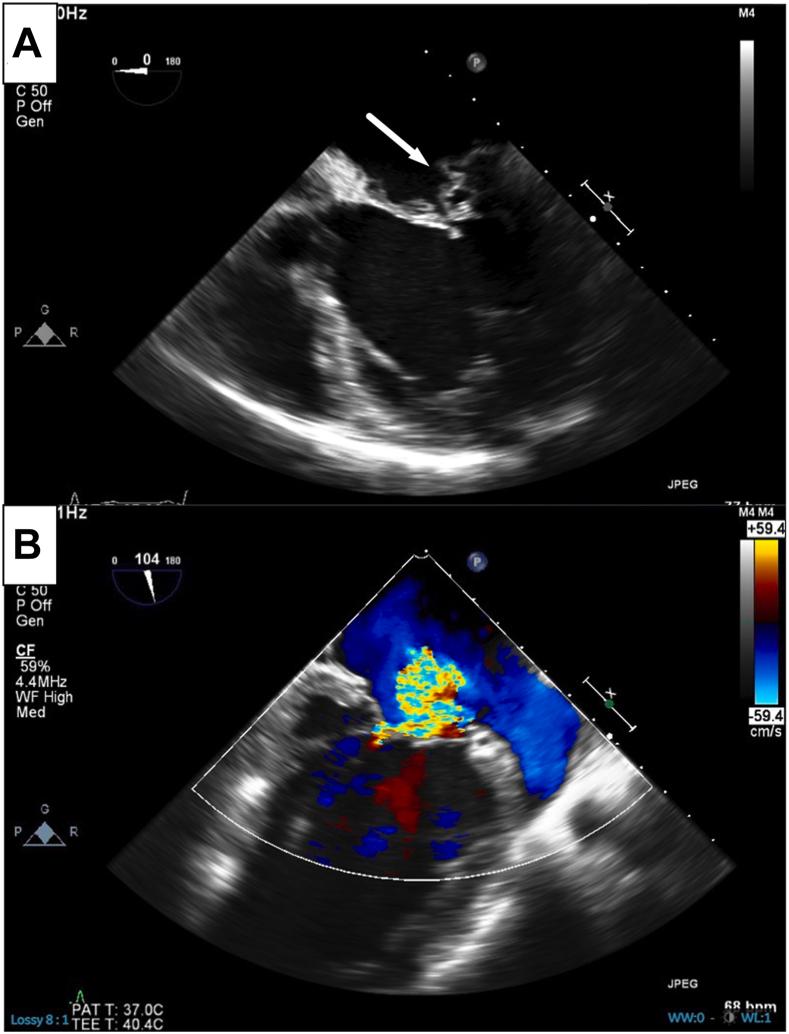
A 53-year-old male individual with chronic severe mitral regurgitation presented with biventricular dysfunction, pulmonary hypertension, and atrial fibrillation. Echocardiography demonstrated a posterior leaflet prolapse with malcoaptation. Mitral valve repair and Maze procedure were performed, revealing absent chordae and direct connection from the anterolateral papillary muscle to the posterior leaflet, consistent with partial mitral arcade. Post bypass, left ventricular dysfunction was addressed by intraaortic balloon pump placement and delayed sternal closure. Post chest closure echocardiography showed no residual mitral regurgitation and restored biventricular function. This case highlights a rare presentation of mitral regurgitation with unique anatomical anomaly, successfully managed with a comprehensive surgical approach.

摘要

一名53岁患有慢性重度二尖瓣反流的男性患者出现双心室功能障碍、肺动脉高压和心房颤动。超声心动图显示后叶脱垂伴对合不良。进行了二尖瓣修复和迷宫手术,发现腱索缺失,前外侧乳头肌与后叶直接相连,符合部分二尖瓣弓的表现。体外循环后,通过置入主动脉内球囊泵和延迟胸骨闭合来处理左心室功能障碍。胸骨闭合后超声心动图显示无残余二尖瓣反流,双心室功能恢复。该病例突出了二尖瓣反流伴有独特解剖异常的罕见表现,通过综合手术方法成功治疗。

https://cdn.ncbi.nlm.nih.gov/pmc/blobs/c8f1/11708329/165320cdb64c/gr3.jpg
https://cdn.ncbi.nlm.nih.gov/pmc/blobs/c8f1/11708329/558fc010c884/gr1.jpg
https://cdn.ncbi.nlm.nih.gov/pmc/blobs/c8f1/11708329/04cb7f8495e4/gr2.jpg
https://cdn.ncbi.nlm.nih.gov/pmc/blobs/c8f1/11708329/165320cdb64c/gr3.jpg
https://cdn.ncbi.nlm.nih.gov/pmc/blobs/c8f1/11708329/558fc010c884/gr1.jpg
https://cdn.ncbi.nlm.nih.gov/pmc/blobs/c8f1/11708329/04cb7f8495e4/gr2.jpg
https://cdn.ncbi.nlm.nih.gov/pmc/blobs/c8f1/11708329/165320cdb64c/gr3.jpg

相似文献

1
Biventricular Dysfunction Due to Chronic Mitral Valve Regurgitation Caused by Aberrant Mitral Arcade.异常二尖瓣弓导致慢性二尖瓣反流引起的双心室功能障碍。
Ann Thorac Surg Short Rep. 2024 May 28;2(4):783-786. doi: 10.1016/j.atssr.2024.05.002. eCollection 2024 Dec.
2
Isolated cleft posterior mitral valve leaflet: an uncommon cause of mitral regurgitation.孤立性二尖瓣后叶裂:二尖瓣反流的一种罕见病因。
Eur J Echocardiogr. 2009 Jan;10(1):173-4. doi: 10.1093/ejechocard/jen212. Epub 2008 Jul 29.
3
Evidence of a vicious cycle in mitral regurgitation with prolapse: secondary tethering attributed to primary prolapse demonstrated by three-dimensional echocardiography exacerbates regurgitation.二尖瓣脱垂伴反流中恶性循环的证据:三维超声心动图显示原发性脱垂引起的继发性牵拉力加重反流。
Circulation. 2012 Sep 11;126(11 Suppl 1):S214-21. doi: 10.1161/CIRCULATIONAHA.111.084178.
4
[Clinicopathologic study of mitral regurgitation due to abnormal chordae tendineae].[腱索异常所致二尖瓣反流的临床病理研究]
J Cardiol. 1996 Apr;27(4):187-95.
5
Myxomatous Mitral Valve with Prolapse and Flail Scallop.伴有脱垂和连枷瓣叶的黏液样二尖瓣
Pol J Radiol. 2016 May 14;81:233-5. doi: 10.12659/PJR.896215. eCollection 2016.
6
[Mitral valve repair for mitral regurgitation--technical contrivance and its further application].
Nihon Kyobu Geka Gakkai Zasshi. 1995 Sep;43(9):1617-24.
7
Residual Mitral Regurgitation After Repair for Posterior Leaflet Prolapse-Importance of Preoperative Anterior Leaflet Tethering.修复二尖瓣后叶脱垂后残余二尖瓣反流-术前前叶连枷的重要性。
J Am Heart Assoc. 2018 Jun 1;7(11):e008495. doi: 10.1161/JAHA.117.008495.
8
Off-pump transapical implantation of artificial chordae to correct mitral regurgitation: early results of a single-center experience.经心尖体外循环下植入人工腱索治疗二尖瓣反流:单中心经验的早期结果。
J Thorac Cardiovasc Surg. 2014 Jan;147(1):95-9. doi: 10.1016/j.jtcvs.2013.08.012. Epub 2013 Oct 5.
9
Surgical application for a prolapse of the anterior mitral leaflet by replacing artificial chordae with polytetrafluoroethylene grafts.通过用聚四氟乙烯移植物替换人工腱索治疗二尖瓣前叶脱垂的手术应用。
Surg Today. 2005;35(10):812-8. doi: 10.1007/s00595-005-3043-2.
10
Staged biventricular repair in a premature neonate with critical aortic stenosis, severe mitral regurgitation, and fetal hydrops: a case report.一名患有严重主动脉瓣狭窄、重度二尖瓣反流和胎儿水肿的早产新生儿的分期双心室修复:病例报告
Gen Thorac Cardiovasc Surg Cases. 2024 Apr 29;3(1):25. doi: 10.1186/s44215-024-00148-4.

本文引用的文献

1
A Rare Encounter of Mitral Arcade With Anomalous Papillary Muscles.二尖瓣弓与异常乳头肌的罕见病例
Cureus. 2022 Jan 14;14(1):e21253. doi: 10.7759/cureus.21253. eCollection 2022 Jan.
2
Repair of Parachute and Hammock Valve in Infants and Children: Early and Late Outcomes.婴幼儿降落伞瓣和吊床瓣修复术:早期和晚期结果
Semin Thorac Cardiovasc Surg. 2016;28(2):448-459. doi: 10.1053/j.semtcvs.2016.04.011. Epub 2016 Apr 27.
3
Mitral valve disease--morphology and mechanisms.二尖瓣疾病——形态学与发病机制
Nat Rev Cardiol. 2015 Dec;12(12):689-710. doi: 10.1038/nrcardio.2015.161. Epub 2015 Oct 20.
4
Left ventricular dysfunction after mitral valve repair--the fallacy of "normal" preoperative myocardial function.二尖瓣修复术后左心室功能障碍——术前心肌功能“正常”的谬误
J Thorac Cardiovasc Surg. 2014 Dec;148(6):2752-60. doi: 10.1016/j.jtcvs.2014.07.029. Epub 2014 Jul 31.
5
Mitral arcade in adults -- a systematic overview.成人二尖瓣弓——系统综述
Echocardiography. 2013 Mar;30(3):354-9. doi: 10.1111/echo.12126. Epub 2013 Feb 14.
6
Images in cardiovascular medicine. Mitral arcade: a rare cause of fatigue in an 18-year-old female.
Circulation. 2010 Apr 20;121(15):e379-83. doi: 10.1161/CIR.0b013e3181db1ee4.
7
Functional classification dictates type of repair in "complex" mitral insufficiency: Application to a case of a hammock mitral valve in an adult patient.功能分类决定“复杂”二尖瓣关闭不全的修复类型:应用于一名成年患者的吊床样二尖瓣病例
J Thorac Cardiovasc Surg. 2005 Jul;130(1):217-8. doi: 10.1016/j.jtcvs.2004.11.056.
8
Anomalous mitral arcade. A type of congenital mitral insufficiency.二尖瓣弓异常。一种先天性二尖瓣关闭不全。
Circulation. 1967 Feb;35(2):389-95. doi: 10.1161/01.cir.35.2.389.