• 文献检索
  • 文档翻译
  • 深度研究
  • 学术资讯
  • Suppr Zotero 插件Zotero 插件
  • 邀请有礼
  • 套餐&价格
  • 历史记录
应用&插件
Suppr Zotero 插件Zotero 插件浏览器插件Mac 客户端Windows 客户端微信小程序
定价
高级版会员购买积分包购买API积分包
服务
文献检索文档翻译深度研究API 文档MCP 服务
关于我们
关于 Suppr公司介绍联系我们用户协议隐私条款
关注我们

Suppr 超能文献

核心技术专利:CN118964589B侵权必究
粤ICP备2023148730 号-1Suppr @ 2026

文献检索

告别复杂PubMed语法,用中文像聊天一样搜索,搜遍4000万医学文献。AI智能推荐,让科研检索更轻松。

立即免费搜索

文件翻译

保留排版,准确专业,支持PDF/Word/PPT等文件格式,支持 12+语言互译。

免费翻译文档

深度研究

AI帮你快速写综述,25分钟生成高质量综述,智能提取关键信息,辅助科研写作。

立即免费体验

原发性肺淋巴瘤中呼吸困难、干咳和体重减轻之前的炎症性贫血

Anaemia of Inflammation Preceding Dyspnoea, Dry Cough and Weight Loss in Primary Pulmonary Lymphoma.

作者信息

Schattner Ami, Rokach Ariel, Vernea Fiona, Spector Maria, Filanovsky Kalman

机构信息

The Faculty of Medicine, Hebrew University and Hadassah Medical School, Jerusalem, Israel.

Departments of Pulmonology (AR), Pathology (FV) and Imaging (MS), Shaare Zedek Medical Center, Jerusalem, Israel.

出版信息

Eur J Case Rep Intern Med. 2024 Dec 17;11(12):004997. doi: 10.12890/2024_004997. eCollection 2024.

DOI:10.12890/2024_004997
PMID:39790843
原文链接:https://pmc.ncbi.nlm.nih.gov/articles/PMC11716307/
Abstract

INTRODUCTION

There is little information in the literature on the early, sub-clinical stage and laboratory test results in patients with primary mucosa-associated lymphoid tissue (MALT) lymphoma of the lung, a rare disease.

CASE DESCRIPTION

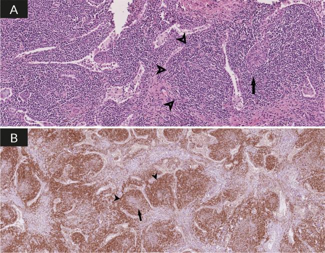
In a 75-year-old man, an open lung biopsy-confirmed diagnosis of primary pulmonary lymphoma was preceded by almost six months of anaemia of inflammatory disease and monocytosis without any pulmonary symptoms. When he developed a dry cough, increasing dyspnoea and marked weight loss, these changes deepened and became associated with reactive thrombocytosis; markedly increased ferritin and C-reactive protein (positive acute-phase reactants), as well as reduced albumin and transferrin (negative acute-phase reactants). Globulins increased, due to an increase in the alpha1, alpha2 and gamma fractions, and mild hyponatraemia developed due to the syndrome of inappropriate antidiuretic hormone secretion (SIADH) secondary to the intrathoracic disease. All these changes were completely reversible following successful treatment and complete remission.

CONCLUSION

The previously unreported detailed laboratory features of early, sub-clinical and advanced primary pulmonary lymphoma are presented. When a potentially susceptible patient develops an unexplained anaemia of inflammatory disease, primary pulmonary lymphoma should be added to the differential diagnosis.

LEARNING POINTS

B-cell pulmonary lymphoma without extra-pulmonary disease (primary pulmonary lymphoma) remains a rare entity, often arising from mucosa-associated lymphoid tissue, presenting with non-specific symptoms (cough, dyspnoea) and imaging (nodules <5 cm or areas of consolidation on CT), and diagnosed by an adequate biopsy.Our patient's course demonstrates early, pre-clinical changes: anaemia of inflammation and monocytosis, which became more severe as symptoms developed and imaging abnormalities progressed, and was associated with marked acute-phase response (for example, substantially increased ferritin levels), increased globulins and hyponatraemia due to the syndrome of inappropriate antidiuretic hormone secretion.In patients with unexplained anaemia of inflammatory disease, occult pulmonary lymphoma should be considered in the differential diagnosis.

摘要

引言

原发性肺黏膜相关淋巴组织(MALT)淋巴瘤是一种罕见疾病,关于其早期亚临床阶段及实验室检查结果的文献资料较少。

病例描述

一名75岁男性,在经开放性肺活检确诊为原发性肺淋巴瘤之前,已有近6个月的炎症性贫血和单核细胞增多症,且无任何肺部症状。当他出现干咳、进行性呼吸困难和明显体重减轻时,这些变化加剧,并伴有反应性血小板增多症;铁蛋白和C反应蛋白(急性期反应物阳性)显著升高,白蛋白和转铁蛋白(急性期反应物阴性)降低。球蛋白增加,这是由于α1、α2和γ组分增加所致,并且由于胸腔内疾病继发抗利尿激素分泌不当综合征(SIADH)而出现轻度低钠血症。所有这些变化在成功治疗并完全缓解后均可完全逆转。

结论

本文呈现了此前未报道的原发性肺淋巴瘤早期、亚临床期及进展期的详细实验室特征。当潜在易感患者出现不明原因的炎症性贫血时,应将原发性肺淋巴瘤纳入鉴别诊断。

学习要点

无肺外疾病的B细胞性肺淋巴瘤(原发性肺淋巴瘤)仍然是一种罕见疾病,通常起源于黏膜相关淋巴组织,表现为非特异性症状(咳嗽、呼吸困难)和影像学表现(CT上<5 cm的结节或实变区域),并通过充分的活检进行诊断。我们患者的病程显示出早期的临床前变化:炎症性贫血和单核细胞增多症,随着症状发展和影像学异常进展而加重,并与明显的急性期反应(例如铁蛋白水平大幅升高)、球蛋白增加以及抗利尿激素分泌不当综合征导致低钠血症有关。对于不明原因炎症性贫血的患者,鉴别诊断时应考虑隐匿性肺淋巴瘤。

https://cdn.ncbi.nlm.nih.gov/pmc/blobs/fec5/11716307/c6ee29de29d7/4997_Fig2.jpg
https://cdn.ncbi.nlm.nih.gov/pmc/blobs/fec5/11716307/2d96babff37c/4997_Fig1.jpg
https://cdn.ncbi.nlm.nih.gov/pmc/blobs/fec5/11716307/c6ee29de29d7/4997_Fig2.jpg
https://cdn.ncbi.nlm.nih.gov/pmc/blobs/fec5/11716307/2d96babff37c/4997_Fig1.jpg
https://cdn.ncbi.nlm.nih.gov/pmc/blobs/fec5/11716307/c6ee29de29d7/4997_Fig2.jpg

相似文献

1
Anaemia of Inflammation Preceding Dyspnoea, Dry Cough and Weight Loss in Primary Pulmonary Lymphoma.原发性肺淋巴瘤中呼吸困难、干咳和体重减轻之前的炎症性贫血
Eur J Case Rep Intern Med. 2024 Dec 17;11(12):004997. doi: 10.12890/2024_004997. eCollection 2024.
2
[Pulmonary mucosa-associated lymphoid tissue lymphoma concurrent with lung squamous cell carcinoma: a case report and literature review].[肺黏膜相关淋巴组织淋巴瘤合并肺鳞状细胞癌:1例报告及文献复习]
Zhonghua Jie He He Hu Xi Za Zhi. 2020 Dec 12;43(12):1071-1076. doi: 10.3760/cma.j.cn112147-20200729-00859.
3
Clinical and prognostic characteristics of pulmonary mucosa-associated lymphoid tissue lymphoma: a retrospective analysis of 23 cases in a Chinese population.肺黏膜相关淋巴组织淋巴瘤的临床和预后特征:中国人群 23 例回顾性分析。
Chin Med J (Engl). 2011 Apr;124(7):1026-30.
4
Folic acid supplementation and malaria susceptibility and severity among people taking antifolate antimalarial drugs in endemic areas.在流行地区,服用抗叶酸抗疟药物的人群中,叶酸补充剂与疟疾易感性和严重程度的关系。
Cochrane Database Syst Rev. 2022 Feb 1;2(2022):CD014217. doi: 10.1002/14651858.CD014217.
5
Seropositive Neuromyelitis Optica in a Case of Undiagnosed Ankylosing Spondylitis: A Neuro-Rheumatological Conundrum.未确诊的强直性脊柱炎病例中的血清阳性视神经脊髓炎:一个神经风湿病学难题
Qatar Med J. 2022 Jul 7;2022(3):29. doi: 10.5339/qmj.2022.29. eCollection 2022.
6
Mucosa-associated lymphoid tissue lymphoma with isolated endobronchial involvement.伴有孤立性支气管内受累的黏膜相关淋巴组织淋巴瘤
Respirol Case Rep. 2020 Oct 16;8(8):e00672. doi: 10.1002/rcr2.672. eCollection 2020 Nov.
7
Pulmonary extra-nodal mucosa-associated lymphoid tissue (MALT) lymphoma: A rare cause of persistent lung consolidation.肺外淋巴结黏膜相关淋巴组织(MALT)淋巴瘤:持续性肺实变的罕见病因。
Respirol Case Rep. 2023 Jul 25;11(8):e01197. doi: 10.1002/rcr2.1197. eCollection 2023 Aug.
8
Primary pulmonary diffuse large B cell lymphoma presenting with features of organizing pneumonia: a case report.以机化性肺炎为表现的原发性肺弥漫性大B细胞淋巴瘤:一例报告
J Med Case Rep. 2025 Jan 31;19(1):42. doi: 10.1186/s13256-024-04973-7.
9
Comprehensive analysis of imaging and pathological features in 20 cases of pulmonary mucosa-associated lymphoid tissue (MALT) lymphoma: a retrospective study.20例肺黏膜相关淋巴组织(MALT)淋巴瘤的影像学与病理特征综合分析:一项回顾性研究
J Thorac Dis. 2025 Feb 28;17(2):969-978. doi: 10.21037/jtd-24-1066. Epub 2025 Feb 21.
10
Marginal zone B-cell lymphoma of the pulmonary mucosa-associated lymphoid tissue: A case report.肺黏膜相关淋巴组织边缘区B细胞淋巴瘤:一例报告。
Oncol Lett. 2015 Sep;10(3):1731-1734. doi: 10.3892/ol.2015.3375. Epub 2015 Jun 16.

本文引用的文献

1
Ferritin triggers neutrophil extracellular trap-mediated cytokine storm through Msr1 contributing to adult-onset Still's disease pathogenesis.铁蛋白通过 Msr1 触发中性粒细胞胞外诱捕网介导的细胞因子风暴,导致成人Still 病发病机制。
Nat Commun. 2022 Nov 10;13(1):6804. doi: 10.1038/s41467-022-34560-7.
2
Impact of the microenvironment on the pathogenesis of mucosa-associated lymphoid tissue lymphomas.微环境对黏膜相关淋巴组织淋巴瘤发病机制的影响
World J Gastrointest Oncol. 2022 Jan 15;14(1):153-162. doi: 10.4251/wjgo.v14.i1.153.
3
Primary Pulmonary B-Cell Lymphoma: A Review and Update.
原发性肺B细胞淋巴瘤:综述与更新
Cancers (Basel). 2021 Jan 22;13(3):415. doi: 10.3390/cancers13030415.
4
Anemia of inflammation.炎症性贫血。
Blood. 2019 Jan 3;133(1):40-50. doi: 10.1182/blood-2018-06-856500. Epub 2018 Nov 6.
5
Lymphoproliferative Disorders of the Lung.肺部淋巴组织增生性疾病。
Respiration. 2017;94(2):157-175. doi: 10.1159/000477740. Epub 2017 Jun 14.
6
Primary Pulmonary Lymphoid Lesions: Radiologic and Pathologic Findings.原发性肺淋巴样病变:放射学与病理学表现
Radiographics. 2016 Jan-Feb;36(1):53-70. doi: 10.1148/rg.2016140339.
7
The radiological spectrum of pulmonary lymphoproliferative disease.肺部淋巴组织增生性疾病的放射学特征。
Br J Radiol. 2012 Jul;85(1015):848-64. doi: 10.1259/bjr/16420165.
8
Malignant and benign lymphoid lesions of the lung.肺的恶性和良性淋巴样病变。
Ann Diagn Pathol. 2004 Jun;8(3):167-87. doi: 10.1016/j.anndiagpath.2004.03.010.
9
Primary pulmonary lymphoma.原发性肺淋巴瘤
Eur Respir J. 2002 Sep;20(3):750-62. doi: 10.1183/09031936.02.00404102.