• 文献检索
  • 文档翻译
  • 深度研究
  • 学术资讯
  • Suppr Zotero 插件Zotero 插件
  • 邀请有礼
  • 套餐&价格
  • 历史记录
应用&插件
Suppr Zotero 插件Zotero 插件浏览器插件Mac 客户端Windows 客户端微信小程序
定价
高级版会员购买积分包购买API积分包
服务
文献检索文档翻译深度研究API 文档MCP 服务
关于我们
关于 Suppr公司介绍联系我们用户协议隐私条款
关注我们

Suppr 超能文献

核心技术专利:CN118964589B侵权必究
粤ICP备2023148730 号-1Suppr @ 2026

文献检索

告别复杂PubMed语法,用中文像聊天一样搜索,搜遍4000万医学文献。AI智能推荐,让科研检索更轻松。

立即免费搜索

文件翻译

保留排版,准确专业,支持PDF/Word/PPT等文件格式,支持 12+语言互译。

免费翻译文档

深度研究

AI帮你快速写综述,25分钟生成高质量综述,智能提取关键信息,辅助科研写作。

立即免费体验

妊娠合并快速进展的外阴黑色素瘤:病例报告

Pregnancy Complicated by Rapidly Progressing Vulvar Melanoma: A Case Study.

作者信息

Wicaksono Bagas Satriyo, Aditiyono Aditiyono, Marlina Dina, Utomo Aditya, Adriansyah Putri Nadhira Adinda, Novrial Dody

机构信息

Department of Obstetrics and Gynecology, Padjadjaran University, Bandung, West Java, Indonesia.

Department of Obstetrics and Gynecology, Soedirman Jenderal University, Purwokerto, Central Java, Indonesia.

出版信息

Am J Case Rep. 2025 Jan 10;26:e944972. doi: 10.12659/AJCR.944972.

DOI:10.12659/AJCR.944972
PMID:39792604
原文链接:https://pmc.ncbi.nlm.nih.gov/articles/PMC11730550/
Abstract

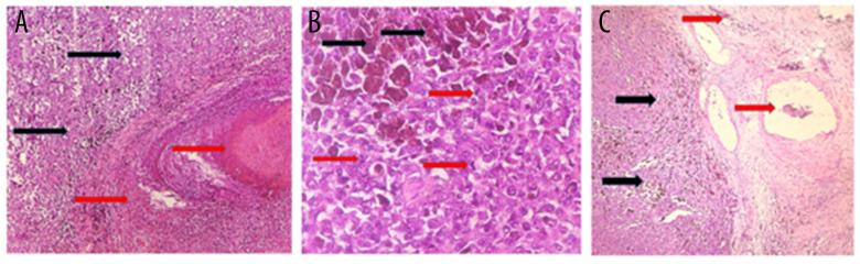
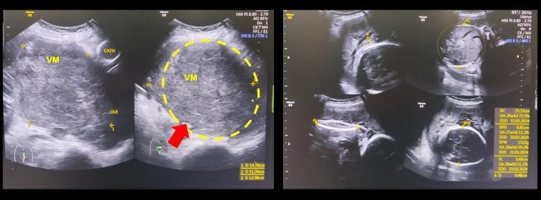
BACKGROUND Vulvar melanoma during pregnancy is exceptionally rare. Hormonal and immunological changes in pregnancy have raised concerns about the potential for accelerated melanoma progression and poorer maternal outcomes. This case report describes an unusual presentation of vulvar melanoma in a pregnant patient, which rapidly progressed despite previous treatments, but resulted in a favorable fetal outcome. CASE REPORT A 40-year-old G3P2A0 woman at 28 weeks of gestation, with a history of vulvar malignant melanoma diagnosed 3 years prior, presented with sudden abdominal pain and hematuria. She had previously received 6 courses of chemotherapy. Physical examination revealed a 3-cm mass in the right vulva, while ultrasonography detected a hyperechoic solid mass in the cervix and elevated LDH levels. Given the advanced disease, the medical team proceeded with a cesarean hysterectomy, colpotomy for uterine corpus involvement, and bladder repair due to an iatrogenic laceration. Histopathological findings confirmed metastatic vulvar melanoma in the cervix and uterine corpus. The pregnancy was terminated at 27 weeks due to the progression of grade IV melanoma, but the neonate was delivered in stable condition. Unfortunately, the patient died 1 month after the operation. CONCLUSIONS This case underscores the potential for aggressive melanoma progression during pregnancy, likely exacerbated by physiological changes, yet highlights a successful fetal outcome. While chemotherapy can adversely affect the reproductive system and may lead to infertility, this patient was able to conceive, and the case illustrates the complex interplay of pregnancy and cancer progression.

摘要

背景 孕期外阴黑色素瘤极为罕见。孕期的激素和免疫变化引发了人们对黑色素瘤进展加速及孕产妇预后较差可能性的担忧。本病例报告描述了一名孕妇外阴黑色素瘤的不寻常表现,尽管此前接受过治疗,但病情仍迅速进展,不过胎儿结局良好。病例报告 一名40岁、孕3产2、流产0次的女性,孕28周,有3年前诊断为外阴恶性黑色素瘤的病史,出现突发腹痛和血尿。她此前接受过6个疗程的化疗。体格检查发现右侧外阴有一个3厘米的肿块,而超声检查在宫颈发现一个高回声实性肿块,乳酸脱氢酶水平升高。鉴于疾病已进展,医疗团队进行了剖宫产子宫切除术、因子宫体受累行阴道切开术以及因医源性撕裂伤进行膀胱修复。组织病理学检查结果证实宫颈和子宫体有转移性外阴黑色素瘤。由于IV级黑色素瘤进展,妊娠在27周时终止,但新生儿出生时情况稳定。不幸的是,患者术后1个月死亡。结论 本病例强调了孕期黑色素瘤侵袭性进展的可能性,可能因生理变化而加剧,但也突出了胎儿的良好结局。虽然化疗可能会对外生殖系统产生不利影响并可能导致不孕,但该患者能够受孕,本病例说明了妊娠与癌症进展之间复杂的相互作用。

https://cdn.ncbi.nlm.nih.gov/pmc/blobs/ee19/11730550/250fbeac2c98/amjcaserep-26-e944972-g007.jpg
https://cdn.ncbi.nlm.nih.gov/pmc/blobs/ee19/11730550/6fa4470f9ca2/amjcaserep-26-e944972-g001.jpg
https://cdn.ncbi.nlm.nih.gov/pmc/blobs/ee19/11730550/3abbfe0a4e45/amjcaserep-26-e944972-g002.jpg
https://cdn.ncbi.nlm.nih.gov/pmc/blobs/ee19/11730550/f0b04b20b5ca/amjcaserep-26-e944972-g003.jpg
https://cdn.ncbi.nlm.nih.gov/pmc/blobs/ee19/11730550/3ba377023cce/amjcaserep-26-e944972-g004.jpg
https://cdn.ncbi.nlm.nih.gov/pmc/blobs/ee19/11730550/fbc01040bfbf/amjcaserep-26-e944972-g005.jpg
https://cdn.ncbi.nlm.nih.gov/pmc/blobs/ee19/11730550/361477d3bbfa/amjcaserep-26-e944972-g006.jpg
https://cdn.ncbi.nlm.nih.gov/pmc/blobs/ee19/11730550/250fbeac2c98/amjcaserep-26-e944972-g007.jpg
https://cdn.ncbi.nlm.nih.gov/pmc/blobs/ee19/11730550/6fa4470f9ca2/amjcaserep-26-e944972-g001.jpg
https://cdn.ncbi.nlm.nih.gov/pmc/blobs/ee19/11730550/3abbfe0a4e45/amjcaserep-26-e944972-g002.jpg
https://cdn.ncbi.nlm.nih.gov/pmc/blobs/ee19/11730550/f0b04b20b5ca/amjcaserep-26-e944972-g003.jpg
https://cdn.ncbi.nlm.nih.gov/pmc/blobs/ee19/11730550/3ba377023cce/amjcaserep-26-e944972-g004.jpg
https://cdn.ncbi.nlm.nih.gov/pmc/blobs/ee19/11730550/fbc01040bfbf/amjcaserep-26-e944972-g005.jpg
https://cdn.ncbi.nlm.nih.gov/pmc/blobs/ee19/11730550/361477d3bbfa/amjcaserep-26-e944972-g006.jpg
https://cdn.ncbi.nlm.nih.gov/pmc/blobs/ee19/11730550/250fbeac2c98/amjcaserep-26-e944972-g007.jpg

相似文献

1
Pregnancy Complicated by Rapidly Progressing Vulvar Melanoma: A Case Study.妊娠合并快速进展的外阴黑色素瘤:病例报告
Am J Case Rep. 2025 Jan 10;26:e944972. doi: 10.12659/AJCR.944972.
2
Vulvar melanoma: diffuse melanosis and metastasis to the placenta.外阴黑色素瘤:弥漫性黑变病及胎盘转移
J Am Acad Dermatol. 2004 Feb;50(2):293-8. doi: 10.1016/j.jaad.2003.07.009.
3
Successful treatment of metastatic vulvar malignant melanoma with toripalimab: A rare case report and review of the literature.成功应用特瑞普利单抗治疗转移性外阴恶性黑色素瘤:一例罕见病例报告并文献复习。
Medicine (Baltimore). 2022 Sep 9;101(36):e30239. doi: 10.1097/MD.0000000000030239.
4
Vulvar epithelioid sarcoma in pregnancy.妊娠期外阴上皮样肉瘤
Gynecol Oncol. 2002 Apr;85(1):218-22. doi: 10.1006/gyno.2002.6610.
5
Rapid growth of myxoid leiomyosarcoma of the vulva during pregnancy: a case report.孕期外阴黏液样平滑肌肉瘤快速生长:一例报告
Int J Gynecol Cancer. 2004 Jan-Feb;14(1):172-5. doi: 10.1111/j.1048-891x.2004.14152.x.
6
Feto-maternal outcome of pregnancy complicated by vulvar cancer: a systematic review of literature.妊娠合并外阴癌的母胎结局:文献系统综述
Eur J Obstet Gynecol Reprod Biol. 2014 Aug;179:216-23. doi: 10.1016/j.ejogrb.2014.04.017. Epub 2014 Apr 19.
7
Maternal melanoma metastatic to the placenta: a case report and review of the literature.母源性黑色素瘤转移至胎盘:一例病例报告及文献综述
Arch Pathol Lab Med. 1997 May;121(5):508-11.
8
[Case study of vulvar malignant melanoma conducted at the Cinquantenaire General Hospital in Lubumbashi].[在卢本巴希的五十周年总医院开展的外阴恶性黑色素瘤病例研究]
Pan Afr Med J. 2020 Jun 25;36:124. doi: 10.11604/pamj.2020.36.124.19138. eCollection 2020.
9
[Malignant melanoma coexisting with pregnancy].[恶性黑色素瘤与妊娠并存]
Ginekol Pol. 1992 Sep;63(9):489-91.
10
Effectual surgical perineal reconstruction of malignant mucosal vulvar melanoma.恶性黏膜外阴黑色素瘤的有效外科会阴部重建。
Taiwan J Obstet Gynecol. 2023 Jan;62(1):167-170. doi: 10.1016/j.tjog.2022.05.019.

本文引用的文献

1
Vulvar Malignant Melanoma: A Narrative Review.外阴恶性黑色素瘤:一篇综述
Cancers (Basel). 2022 Oct 25;14(21):5217. doi: 10.3390/cancers14215217.
2
Advances in the Treatment and Prevention of Chemotherapy-Induced Ovarian Toxicity.化疗诱导的卵巢毒性的治疗和预防进展。
Int J Mol Sci. 2020 Oct 21;21(20):7792. doi: 10.3390/ijms21207792.
3
Vulvar melanoma: an analysis of prognostic factors and treatment patterns.外阴黑色素瘤:预后因素和治疗模式分析。
J Gynecol Oncol. 2020 Sep;31(5):e66. doi: 10.3802/jgo.2020.31.e66.
4
Gender Differences and Outcomes in Melanoma Patients.黑色素瘤患者的性别差异与预后
Oncol Ther. 2020 Jun;8(1):103-114. doi: 10.1007/s40487-020-00109-1. Epub 2020 Feb 4.
5
Pregnancy after cancer: Does timing of conception affect infant health?癌症患者妊娠:受孕时机是否影响婴儿健康?
Cancer. 2018 Nov 15;124(22):4401-4407. doi: 10.1002/cncr.31732. Epub 2018 Nov 7.
6
Boron neutron capture therapy for vulvar melanoma and genital extramammary Paget's disease with curative responses.硼中子俘获治疗外阴黑色素瘤和生殖器外 Paget 病的疗效反应。
Cancer Commun (Lond). 2018 Jun 19;38(1):38. doi: 10.1186/s40880-018-0297-9.
7
Long-Term Survival of Patients with Thin (T1) Cutaneous Melanomas: A Breslow Thickness Cut Point of 0.8 mm Separates Higher-Risk and Lower-Risk Tumors.薄型(T1)皮肤黑色素瘤患者的长期生存:Breslow 厚度截断值为 0.8mm 可区分高危和低危肿瘤。
Ann Surg Oncol. 2018 Apr;25(4):894-902. doi: 10.1245/s10434-017-6325-1. Epub 2018 Jan 12.
8
Melanoma in pregnancy.妊娠期黑色素瘤
Obstet Med. 2017 Sep;10(3):107-112. doi: 10.1177/1753495X17695001. Epub 2017 Mar 20.
9
Prognosis for women diagnosed with melanoma during, before, or after pregnancy: Weighing the evidence.孕期、孕前或产后被诊断为黑色素瘤的女性的预后:权衡证据
Int J Womens Dermatol. 2017 Feb 9;3(1):26-29. doi: 10.1016/j.ijwd.2016.12.004. eCollection 2017 Mar.
10
Fetal outcome after prenatal exposure to chemotherapy and mechanisms of teratogenicity compared to alcohol and smoking.产前接触化疗后的胎儿结局以及与酒精和吸烟相比的致畸机制。
Expert Opin Drug Saf. 2014 Dec;13(12):1653-65. doi: 10.1517/14740338.2014.965677. Epub 2014 Nov 10.