Suppr超能文献

不明原因胆管狭窄的诊治方法:文献综述

An Approach to and Treatment of Indeterminate Biliary Strictures: A Comprehensive Review of the Literature.

作者信息

Impellizzeri Giovanna, Grassini Maria Vittoria, Donato Giulio, De Angelis Claudio Giovanni, Pagano Nico

机构信息

Gastroenterology Unit, Department of Oncological and Specialty Medicine, Azienda Ospedaliero-Universitaria Maggiore della Carità, 28100 Novara, Italy.

Section of Gastroenterology & Hepatology, Department of Health Promotion Sciences Maternal and Infant Care, Internal Medicine and Medical Specialties, PROMISE, University of Palermo, 90127 Palermo, Italy.

出版信息

J Clin Med. 2024 Dec 25;14(1):29. doi: 10.3390/jcm14010029.

Abstract

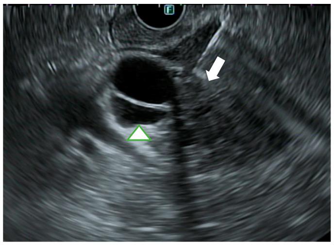
This review aims to focus on what we know about the management of biliary strictures of unknown etiology, especially exploring our diagnostic armamentarium in the setting of indeterminate biliary strictures. Presently, this is a current issue that has a relevant impact both on patient prognosis, often delaying diagnosis, and on overall costs associated with repeating diagnostic procedures, sometimes performed with very expensive devices. We also focus on current biliary drainage approaches, providing an overview of therapeutic options, endoscopic or not.

摘要

本综述旨在聚焦于我们对病因不明的胆管狭窄的管理所知,尤其探索在不确定胆管狭窄情况下的诊断手段。目前,这是一个当前的问题,对患者预后(常常延误诊断)以及与重复诊断程序相关的总体成本都有相关影响,有时这些诊断程序使用非常昂贵的设备进行。我们还关注当前的胆管引流方法,概述治疗选择,无论是否为内镜治疗。

https://cdn.ncbi.nlm.nih.gov/pmc/blobs/784a/11721181/4c40c4c78bf2/jcm-14-00029-g001.jpg

文献检索

告别复杂PubMed语法,用中文像聊天一样搜索,搜遍4000万医学文献。AI智能推荐,让科研检索更轻松。

立即免费搜索

文件翻译

保留排版,准确专业,支持PDF/Word/PPT等文件格式,支持 12+语言互译。

免费翻译文档

深度研究

AI帮你快速写综述,25分钟生成高质量综述,智能提取关键信息,辅助科研写作。

立即免费体验