• 文献检索
  • 文档翻译
  • 深度研究
  • 学术资讯
  • Suppr Zotero 插件Zotero 插件
  • 邀请有礼
  • 套餐&价格
  • 历史记录
应用&插件
Suppr Zotero 插件Zotero 插件浏览器插件Mac 客户端Windows 客户端微信小程序
定价
高级版会员购买积分包购买API积分包
服务
文献检索文档翻译深度研究API 文档MCP 服务
关于我们
关于 Suppr公司介绍联系我们用户协议隐私条款
关注我们

Suppr 超能文献

核心技术专利:CN118964589B侵权必究
粤ICP备2023148730 号-1Suppr @ 2026

文献检索

告别复杂PubMed语法,用中文像聊天一样搜索,搜遍4000万医学文献。AI智能推荐,让科研检索更轻松。

立即免费搜索

文件翻译

保留排版,准确专业,支持PDF/Word/PPT等文件格式,支持 12+语言互译。

免费翻译文档

深度研究

AI帮你快速写综述,25分钟生成高质量综述,智能提取关键信息,辅助科研写作。

立即免费体验

工程化缺氧响应性白蛋白纳米颗粒介导线粒体自噬调控用于癌症治疗。

Engineered hypoxia-responsive albumin nanoparticles mediating mitophagy regulation for cancer therapy.

作者信息

Wang Wenyan, Yao Shun-Yu, Luo Jingjing, Ding Chendi, Huang Qili, Yang Yao, Shi Zhaoqing, Lin Jiachan, Pan Yu-Chen, Zeng Xiaowei, Guo Dong-Sheng, Chen Hongzhong

机构信息

School of Pharmaceutical Sciences (Shenzhen), Shenzhen Campus of Sun Yat-Sen University, Shenzhen, China.

College of Chemistry, State Key Laboratory of Elemento-Organic Chemistry, Key Laboratory of Functional Polymer Materials (Ministry of Education), Frontiers Science Center for New Organic Matter, Collaborative Innovation Center of Chemical Science and Engineering, Nankai University, Tianjin, China.

出版信息

Nat Commun. 2025 Jan 11;16(1):596. doi: 10.1038/s41467-025-55905-y.

DOI:10.1038/s41467-025-55905-y
PMID:39799105
原文链接:https://pmc.ncbi.nlm.nih.gov/articles/PMC11724902/
Abstract

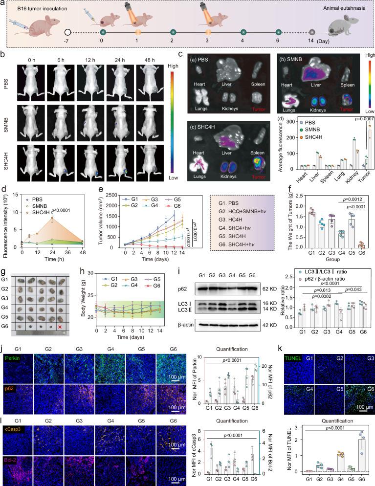
Hypoxic tumors present a significant challenge in cancer therapy due to their ability to adaptation in low-oxygen environments, which supports tumor survival and resistance to treatment. Enhanced mitophagy, the selective degradation of mitochondria by autophagy, is a crucial mechanism that helps sustain cellular homeostasis in hypoxic tumors. In this study, we develop an azocalix[4]arene-modified supramolecular albumin nanoparticle, that co-delivers hydroxychloroquine and a mitochondria-targeting photosensitizer, designed to induce cascaded oxidative stress by regulating mitophagy for the treatment of hypoxic tumors. These nanoparticles are hypoxia-responsive and release loaded guest molecules in hypoxic tumor cells. The released hydroxychloroquine disrupts the mitophagy process, thereby increasing oxidative stress and further weakening the tumor cells. Additionally, upon laser irradiation, the photosensitizer generates reactive oxygen species independent of oxygen, inducing mitochondria damage and mitophagy activation. The dual action of simultaneous spatiotemporal mitophagy activation and mitophagy flux blockade results in enhanced autophagic and oxidative stress, ultimately driving tumor cell death. Our work highlights the effectiveness of hydroxychloroquine-mediated mitophagy blockade combined with mitochondria-targeted photosensitizer for cascade-amplified oxidative stress against hypoxic tumors.

摘要

由于缺氧肿瘤能够在低氧环境中适应,这支持了肿瘤的存活和对治疗的抗性,因此在癌症治疗中构成了重大挑战。增强的线粒体自噬,即通过自噬选择性降解线粒体,是一种关键机制,有助于维持缺氧肿瘤中的细胞稳态。在本研究中,我们开发了一种偶氮杯[4]芳烃修饰的超分子白蛋白纳米颗粒,其共同递送羟氯喹和一种线粒体靶向光敏剂,旨在通过调节线粒体自噬来诱导级联氧化应激,用于治疗缺氧肿瘤。这些纳米颗粒对缺氧有响应,并在缺氧肿瘤细胞中释放负载的客体分子。释放的羟氯喹破坏线粒体自噬过程,从而增加氧化应激并进一步削弱肿瘤细胞。此外,在激光照射下,光敏剂产生不依赖于氧气的活性氧,诱导线粒体损伤和线粒体自噬激活。同时进行时空线粒体自噬激活和线粒体自噬通量阻断的双重作用导致自噬和氧化应激增强,最终驱动肿瘤细胞死亡。我们的工作突出了羟氯喹介导的线粒体自噬阻断与线粒体靶向光敏剂相结合对缺氧肿瘤进行级联放大氧化应激的有效性。

https://cdn.ncbi.nlm.nih.gov/pmc/blobs/ee53/11724902/27d377aebfb2/41467_2025_55905_Fig8_HTML.jpg
https://cdn.ncbi.nlm.nih.gov/pmc/blobs/ee53/11724902/7380891f62bb/41467_2025_55905_Fig1_HTML.jpg
https://cdn.ncbi.nlm.nih.gov/pmc/blobs/ee53/11724902/d6b9ff289437/41467_2025_55905_Fig2_HTML.jpg
https://cdn.ncbi.nlm.nih.gov/pmc/blobs/ee53/11724902/3841c9359408/41467_2025_55905_Fig3_HTML.jpg
https://cdn.ncbi.nlm.nih.gov/pmc/blobs/ee53/11724902/3e90d40839e5/41467_2025_55905_Fig4_HTML.jpg
https://cdn.ncbi.nlm.nih.gov/pmc/blobs/ee53/11724902/01462bc95835/41467_2025_55905_Fig5_HTML.jpg
https://cdn.ncbi.nlm.nih.gov/pmc/blobs/ee53/11724902/3f71ccf4e916/41467_2025_55905_Fig6_HTML.jpg
https://cdn.ncbi.nlm.nih.gov/pmc/blobs/ee53/11724902/7eb63a3ff1fa/41467_2025_55905_Fig7_HTML.jpg
https://cdn.ncbi.nlm.nih.gov/pmc/blobs/ee53/11724902/27d377aebfb2/41467_2025_55905_Fig8_HTML.jpg
https://cdn.ncbi.nlm.nih.gov/pmc/blobs/ee53/11724902/7380891f62bb/41467_2025_55905_Fig1_HTML.jpg
https://cdn.ncbi.nlm.nih.gov/pmc/blobs/ee53/11724902/d6b9ff289437/41467_2025_55905_Fig2_HTML.jpg
https://cdn.ncbi.nlm.nih.gov/pmc/blobs/ee53/11724902/3841c9359408/41467_2025_55905_Fig3_HTML.jpg
https://cdn.ncbi.nlm.nih.gov/pmc/blobs/ee53/11724902/3e90d40839e5/41467_2025_55905_Fig4_HTML.jpg
https://cdn.ncbi.nlm.nih.gov/pmc/blobs/ee53/11724902/01462bc95835/41467_2025_55905_Fig5_HTML.jpg
https://cdn.ncbi.nlm.nih.gov/pmc/blobs/ee53/11724902/3f71ccf4e916/41467_2025_55905_Fig6_HTML.jpg
https://cdn.ncbi.nlm.nih.gov/pmc/blobs/ee53/11724902/7eb63a3ff1fa/41467_2025_55905_Fig7_HTML.jpg
https://cdn.ncbi.nlm.nih.gov/pmc/blobs/ee53/11724902/27d377aebfb2/41467_2025_55905_Fig8_HTML.jpg

相似文献

1
Engineered hypoxia-responsive albumin nanoparticles mediating mitophagy regulation for cancer therapy.工程化缺氧响应性白蛋白纳米颗粒介导线粒体自噬调控用于癌症治疗。
Nat Commun. 2025 Jan 11;16(1):596. doi: 10.1038/s41467-025-55905-y.
2
Spatiotemporal autophagic degradation of oxidatively damaged organelles after photodynamic stress is amplified by mitochondrial reactive oxygen species.光动力应激后,线粒体活性氧放大了氧化损伤细胞器的时空调控自噬降解。
Autophagy. 2012 Sep;8(9):1312-24. doi: 10.4161/auto.20763. Epub 2012 Aug 14.
3
Manipulation of Mitophagy by "All-in-One" nanosensitizer augments sonodynamic glioma therapy.“一体化”纳米敏化剂对自噬的调控增强了声动力胶质瘤治疗。
Autophagy. 2020 Aug;16(8):1413-1435. doi: 10.1080/15548627.2019.1687210. Epub 2019 Nov 9.
4
A Photoactivated Self-Assembled Nanoreactor for Inducing Cascade-Amplified Oxidative Stress toward Type I Photodynamic Therapy in Hypoxic Tumors.一种用于在缺氧肿瘤中诱导级联放大氧化应激以实现I型光动力疗法的光活化自组装纳米反应器。
Adv Healthc Mater. 2024 Dec;13(30):e2401787. doi: 10.1002/adhm.202401787. Epub 2024 Aug 5.
5
Hypoxia-induced mitochondrial dysfunction and mitophagy in the small yellow croaker (Larimichthys polyactis).缺氧诱导小黄鱼(Larimichthys polyactis)的线粒体功能障碍和线粒体自噬
Fish Shellfish Immunol. 2025 Jun;161:110275. doi: 10.1016/j.fsi.2025.110275. Epub 2025 Mar 12.
6
Targeted co-delivery of a photosensitizer and an antisense oligonucleotide based on an activatable hyaluronic acid nanosystem with endogenous oxygen generation for enhanced photodynamic therapy of hypoxic tumors.基于具有内源性氧生成的活化透明质酸纳米系统的光敏剂和反义寡核苷酸的靶向共递药用于增强缺氧肿瘤的光动力治疗。
Acta Biomater. 2022 Nov;153:419-430. doi: 10.1016/j.actbio.2022.09.025. Epub 2022 Sep 14.
7
Mitochondria-targeted nanoplatforms for enhanced photodynamic therapy against hypoxia tumor.线粒体靶向纳米平台增强乏氧肿瘤的光动力治疗
J Nanobiotechnology. 2021 Dec 20;19(1):440. doi: 10.1186/s12951-021-01196-6.
8
CLU (clusterin) and PPARGC1A/PGC1α coordinately control mitophagy and mitochondrial biogenesis for oral cancer cell survival.CLU(簇蛋白)和 PPARGC1A/PGC1α 共同调控口腔癌细胞存活的线粒体自噬和线粒体生物发生。
Autophagy. 2024 Jun;20(6):1359-1382. doi: 10.1080/15548627.2024.2309904. Epub 2024 Mar 6.
9
Mitochondria autophagy is induced after hypoxic/ischemic stress in a Drp1 dependent manner: the role of inhibition of Drp1 in ischemic brain damage.线粒体自噬在缺氧/缺血应激后以依赖动力相关蛋白1(Drp1)的方式被诱导:Drp1抑制在缺血性脑损伤中的作用
Neuropharmacology. 2014 Nov;86:103-15. doi: 10.1016/j.neuropharm.2014.07.002. Epub 2014 Jul 10.
10
Pink1/PARK2/mROS-Dependent Mitophagy Initiates the Sensitization of Cancer Cells to Radiation.Pink1/PARK2/mROS 依赖性自噬启动癌细胞对辐射的敏感性。
Oxid Med Cell Longev. 2021 Jul 6;2021:5595652. doi: 10.1155/2021/5595652. eCollection 2021.

引用本文的文献

1
Albumin Nanocages with Methotrexate and Chondroitin Sulfate as a Dual pH/GSH-Responsive Tumor Targeting Nanomedicine for Synergistic Cancer Therapy.载有甲氨蝶呤和硫酸软骨素的白蛋白纳米笼作为一种双pH/谷胱甘肽响应性肿瘤靶向纳米药物用于协同癌症治疗
Biomater Res. 2025 Sep 3;29:0245. doi: 10.34133/bmr.0245. eCollection 2025.
2
Nanoparticle-Based Delivery Strategies for Combating Drug Resistance in Cancer Therapeutics.基于纳米颗粒的癌症治疗中抗耐药性递送策略
Cancers (Basel). 2025 Aug 11;17(16):2628. doi: 10.3390/cancers17162628.
3
Multidimensional characteristics of the tumor microenviron-ment and advances in therapeutic intervention strategies.

本文引用的文献

1
Single Molecular Nanomedicines Based on Macrocyclic Carrier-Drug Conjugates for Concentration-Independent Encapsulation and Precise Activation of Drugs.基于大环载体-药物共轭物的单分子纳米药物用于药物的浓度无关型包封和精确激活
J Am Chem Soc. 2024 May 22;146(20):14203-14212. doi: 10.1021/jacs.4c03238. Epub 2024 May 11.
2
NIR-dye bridged human serum albumin reassemblies for effective photothermal therapy of tumor.近红外染料桥联人血清白蛋白组装体用于肿瘤的有效光热治疗。
Nat Commun. 2023 Oct 17;14(1):6567. doi: 10.1038/s41467-023-42399-9.
3
Dual hypoxia-responsive supramolecular complex for cancer target therapy.
肿瘤微环境的多维特征及治疗干预策略的进展
Zhejiang Da Xue Xue Bao Yi Xue Ban. 2025 Jul 16:1-11. doi: 10.3724/zdxbyxb-2025-0090.
4
The Role of N6-Methyladenosine in Mitochondrial Dysfunction and Pathology.N6-甲基腺苷在线粒体功能障碍和病理中的作用。
Int J Mol Sci. 2025 Apr 11;26(8):3624. doi: 10.3390/ijms26083624.
双缺氧响应超分子复合物用于癌症靶向治疗。
Nat Commun. 2023 Sep 13;14(1):5634. doi: 10.1038/s41467-023-41388-2.
4
Biomimetic nanoparticle synchronizing pyroptosis induction and mitophagy inhibition for anti-tumor therapy.仿生纳米颗粒同步诱导细胞焦亡和抑制线粒体自噬用于抗肿瘤治疗。
Biomaterials. 2023 Oct;301:122293. doi: 10.1016/j.biomaterials.2023.122293. Epub 2023 Aug 24.
5
The mitophagy pathway and its implications in human diseases.自噬途径及其在人类疾病中的意义。
Signal Transduct Target Ther. 2023 Aug 16;8(1):304. doi: 10.1038/s41392-023-01503-7.
6
Acid and Hypoxia Tandem-Activatable Deep Near-Infrared Nanoprobe for Two-Step Signal Amplification and Early Detection of Cancer.酸敏-乏氧双响应型近红外纳米探针对癌症的两步信号放大与早期检测
Adv Mater. 2023 Sep;35(36):e2212231. doi: 10.1002/adma.202212231. Epub 2023 Jul 28.
7
Microbial synthesis of Prussian blue for potentiating checkpoint blockade immunotherapy.微生物合成普鲁士蓝以增强免疫检查点封锁疗法。
Nat Commun. 2023 May 23;14(1):2943. doi: 10.1038/s41467-023-38796-9.
8
Enhanced Chemodynamic Therapy Mediated by a Tumor-Specific Catalyst in Synergy with Mitophagy Inhibition Improves the Efficacy for Endometrial Cancer.肿瘤特异性催化剂增强的化学动力学治疗与自噬抑制协同作用,提高子宫内膜癌疗效。
Small. 2023 Aug;19(33):e2301497. doi: 10.1002/smll.202301497. Epub 2023 Apr 22.
9
Impact of context-dependent autophagy states on tumor progression.上下文相关自噬状态对肿瘤进展的影响。
Nat Cancer. 2023 May;4(5):596-607. doi: 10.1038/s43018-023-00546-7. Epub 2023 Apr 17.
10
Copper metabolism in cell death and autophagy.铜代谢与细胞死亡和自噬。
Autophagy. 2023 Aug;19(8):2175-2195. doi: 10.1080/15548627.2023.2200554. Epub 2023 Apr 16.