Suppr超能文献

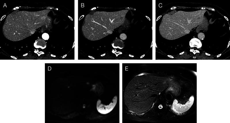
A suspected case of hepatic reactive lymphoid hyperplasia in which EUS-fine needle aspiration contributed to the diagnosis.

作者信息

Sato Yuya, Suda Tsuyoshi, Sato Yasunori, Kaji Kiichiro, Terasaki Shuichi

机构信息

Department of Gastroenterology, Kanazawa Red Cross Hospital, Kanazawa, Japan.

Department of Human Pathology, Kanazawa University Graduate School of Medicine, Kanazawa, Japan.

出版信息

Endosc Ultrasound. 2024 Nov-Dec;13(6):379-381. doi: 10.1097/eus.0000000000000092. Epub 2024 Dec 30.

Abstract
摘要
https://cdn.ncbi.nlm.nih.gov/pmc/blobs/4d50/11723669/bad5f01d640a/eusj-13-379-g001.jpg

文献检索

告别复杂PubMed语法,用中文像聊天一样搜索,搜遍4000万医学文献。AI智能推荐,让科研检索更轻松。

立即免费搜索

文件翻译

保留排版,准确专业,支持PDF/Word/PPT等文件格式,支持 12+语言互译。

免费翻译文档

深度研究

AI帮你快速写综述,25分钟生成高质量综述,智能提取关键信息,辅助科研写作。

立即免费体验