Suppr超能文献

冷球蛋白血症性肾病患者的心肌心包炎:一例报告

Myopericarditis in a Patient With Cryoglobulinemic Kidney Disease: A Case Report.

作者信息

Touiti Soufiane, Serroukh Salima, Benyass Aatif, Bouattar Tarik

机构信息

Cardiology, Ibn Sina Hospital, Rabat, Rabat, MAR.

Cardiology, Mohammed V Military Training Hospital, Rabat, MAR.

出版信息

Cureus. 2024 Dec 11;16(12):e75550. doi: 10.7759/cureus.75550. eCollection 2024 Dec.

Abstract

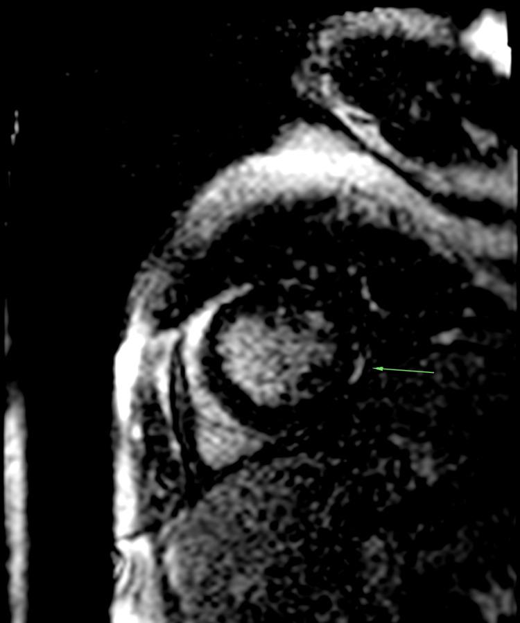
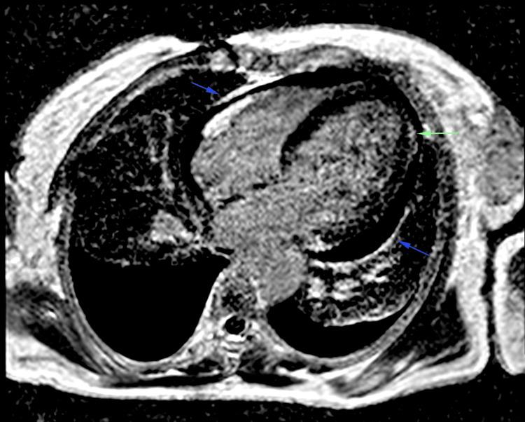
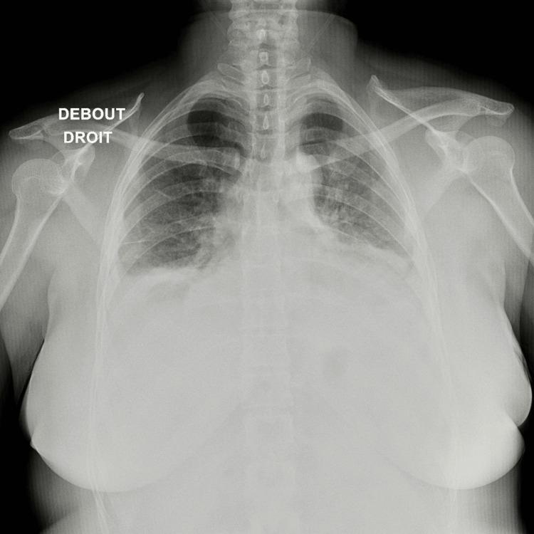
Cryoglobulinemic vasculitis is a rare small-vessel vasculitis leading to multi-organ dysfunction, often associated with chronic infections like hepatitis C virus (HCV), and autoimmune disorders. Most cases involve mixed monoclonal or polyclonal immunoglobulins, presenting symptoms such as purpura, arthralgias, and weakness. Severe organ involvement, particularly cardiac, is rare but potentially life-threatening. We report the case of a 48-year-old woman without prior medical history who presented with acute dyspnea, generalized petechial purpura, and signs of global heart failure. Imaging and laboratory findings indicated cardiomegaly, pericardial effusion, and significant nephrotic syndrome with renal failure. The diagnosis of cryoglobulinaemia was confirmed through histology and serology, showing monoclonal IgM with kappa hypergammaglobulinaemia and complement consumption. Treatment included various immunosuppressants, corticosteroids, and rituximab combined with renal replacement therapy. Following the initiation of treatment and proper management of heart failure, the patient's condition significantly improved. Cardiac involvement in cryoglobulinemic vasculitis, though rare, can lead to severe heart failure. This often involves necrotizing vasculitis of the coronary arteries or systemic inflammation damaging the cardiac muscle, as observed here. Cardiac manifestations with immunosuppressive therapy are reversible despite a poor long-term prognosis for patients with cardiac lesions. In conclusion, cryoglobulinemic vasculitis has a grim prognosis due to its multi-organ impact and the severity of the lesions. Early and aggressive treatment is essential to manage life-threatening acute presentations, even before confirming the diagnosis biologically or histologically.

摘要

冷球蛋白血症性血管炎是一种罕见的小血管血管炎,可导致多器官功能障碍,常与丙型肝炎病毒(HCV)等慢性感染以及自身免疫性疾病相关。大多数病例涉及混合性单克隆或多克隆免疫球蛋白,表现为紫癜、关节痛和乏力等症状。严重的器官受累,尤其是心脏受累,虽罕见但可能危及生命。我们报告一例48岁无既往病史的女性,她出现急性呼吸困难、全身性瘀点性紫癜及全心衰体征。影像学和实验室检查结果显示心脏扩大、心包积液以及伴有肾衰竭的显著肾病综合征。通过组织学和血清学检查确诊为冷球蛋白血症,显示单克隆IgM伴κ轻链高球蛋白血症及补体消耗。治疗包括多种免疫抑制剂、糖皮质激素以及利妥昔单抗联合肾脏替代治疗。在开始治疗并对心力衰竭进行恰当管理后,患者病情显著改善。冷球蛋白血症性血管炎中的心脏受累虽罕见,但可导致严重心力衰竭。如此处所见,这通常涉及冠状动脉坏死性血管炎或系统性炎症对心肌的损害。尽管心脏病变患者的长期预后不佳,但免疫抑制治疗后的心脏表现是可逆的。总之,冷球蛋白血症性血管炎因其对多器官的影响及病变的严重性,预后严峻。即使在生物学或组织学确诊之前,早期积极治疗对于处理危及生命的急性表现至关重要。

https://cdn.ncbi.nlm.nih.gov/pmc/blobs/1ba0/11723568/009e5b36280c/cureus-0016-00000075550-i01.jpg

文献检索

告别复杂PubMed语法,用中文像聊天一样搜索,搜遍4000万医学文献。AI智能推荐,让科研检索更轻松。

立即免费搜索

文件翻译

保留排版,准确专业,支持PDF/Word/PPT等文件格式,支持 12+语言互译。

免费翻译文档

深度研究

AI帮你快速写综述,25分钟生成高质量综述,智能提取关键信息,辅助科研写作。

立即免费体验