Sundararajan Rangapriya, Hegde Shubhada R, Panda Ashish Kumar, Christie Joel, Gadewal Nikhil, Venkatraman Prasanna
Protein Interactome Laboratory for Structural and Functional Biology, Advanced Centre for Treatment, Research and Education in Cancer, Navi Mumbai, India.
Department of Computer Science and Engineering, Indian Institute of Technology, Bombay, Mumbai, India.
Commun Biol. 2025 Jan 15;8(1):55. doi: 10.1038/s42003-024-07432-7.
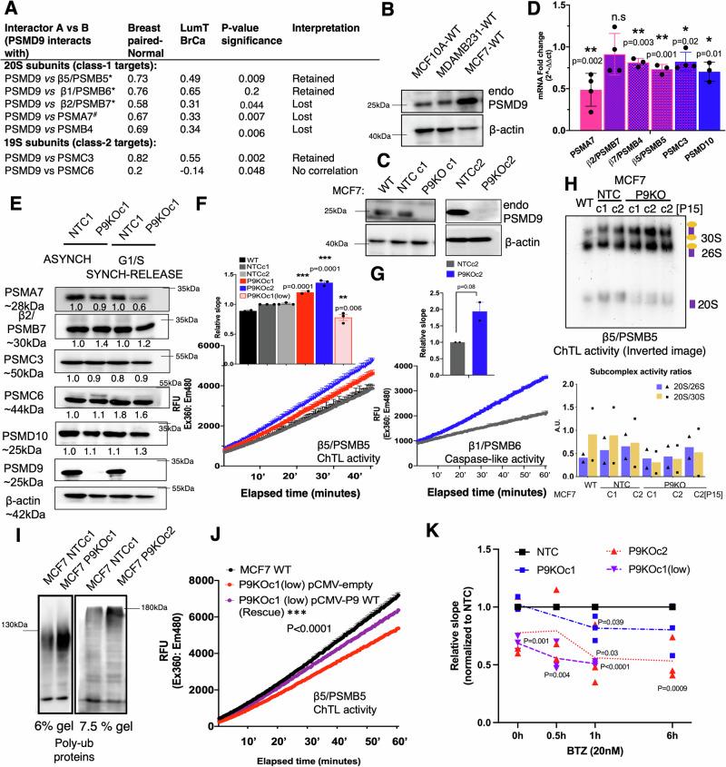
Why cancer cells disproportionately accumulate polyubiquitinated proteotoxic proteins despite high proteasomal activity is an outstanding question. While mis-regulated ubiquitination is a contributing factor, here we show that a structurally-perturbed and sub-optimally functioning proteasome is at the core of altered proteostasis in tumors. By integrating the gene coexpression signatures of proteasomal subunits in breast cancer (BrCa) patient tissues with the atomistic details of 26S holocomplex, we find that the transcriptional deregulation induced-stoichiometric imbalances perpetuate with disease severity. As seen in luminal BrCa cell lines, this imbalance limits the number of double-capped 19S-20S-19S holocomplexes (30S) formed and promotes free 20S catalytic core accumulation that is widely-believed to confer survival advantage to tumors. By retaining connectivity with key tumor 19S:20S interface nodes, the PSMD9 19S subunit chaperone emerges as a crucial regulator of 26S/30S:20S ratios sustaining tumor cell proteasome function. Disrupting this connectivity by depleting PSMD9 in MCF7 cells introduces structural anomalies in the proteasome, and shifts dependence from 20S to a deregulated 26S state invoking anti-tumor responses which opens up clinically-relevant therapeutic possibilities.
尽管蛋白酶体活性很高,但癌细胞为何会不成比例地积累多聚泛素化的蛋白毒性蛋白仍是一个突出问题。虽然泛素化失调是一个促成因素,但我们在此表明,结构紊乱且功能欠佳的蛋白酶体是肿瘤中蛋白稳态改变的核心。通过将乳腺癌(BrCa)患者组织中蛋白酶体亚基的基因共表达特征与26S全复合体的原子细节相结合,我们发现转录失调诱导的化学计量失衡会随着疾病严重程度而持续存在。如在管腔型BrCa细胞系中所见,这种失衡限制了形成的双帽19S-20S-19S全复合体(30S)的数量,并促进游离20S催化核心的积累,人们普遍认为这赋予了肿瘤生存优势。通过与关键的肿瘤19S:20S界面节点保持连接,PSMD9 19S亚基伴侣蛋白成为维持肿瘤细胞蛋白酶体功能的26S/30S:20S比率的关键调节因子。通过在MCF7细胞中耗尽PSMD9来破坏这种连接,会在蛋白酶体中引入结构异常,并将依赖性从20S转变为失调的26S状态,引发抗肿瘤反应,从而开辟了临床相关的治疗可能性。