Suppr超能文献

骨间后神经神经鞘瘤一例:病例报告

A Rare Case of Perineurioma of the Posterior Interosseous Nerve: A Case Report.

作者信息

Newme Kewithinwangbo, Boro Sumanjit, Boruah Deb K, Mehandiratta Yash

机构信息

General Surgery, All India Institute of Medical Sciences, Guwahati, Guwahati, IND.

Plastic Surgery, All India Institute of Medical Sciences, Guwahati, Guwahati, IND.

出版信息

Cureus. 2024 Dec 17;16(12):e75856. doi: 10.7759/cureus.75856. eCollection 2024 Dec.

Abstract

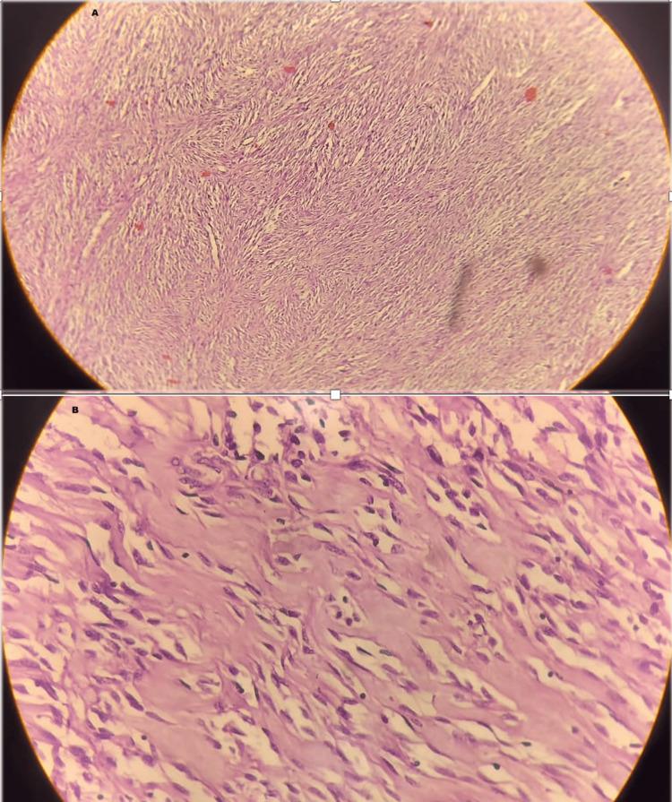
The perineurioma (PN) is a benign neoplasm with perineural origin. It can be of two types, i.e., intraneural PN and extraneural PN. It is slow-growing in nature and frequently causes hypoesthesia and progressive motor weakness other than swelling. The size of the swelling ranges from small to large. The entity is difficult to distinguish from Schwannoma and other peripheral nerve sheath tumors clinically, pathologically, and radiographically (MRI). An early diagnosis is needed as the PN arises from a nerve and can be salvable if preoperative planning is well executed. Here, in this case, report, the nerve involved was the posterior interosseous nerve (main motor nerve of the finger/wrist extensors), which is a rare phenomenon of occurrence; however, early intervention and the benign nature of the tumor can be handled with a good prognosis, and recurrence is usually rare but could not be ignored as documented.

摘要

神经束膜瘤(PN)是一种起源于神经束膜的良性肿瘤。它可分为两种类型,即神经内PN和神经外PN。其生长缓慢,除肿胀外,还常导致感觉减退和进行性运动无力。肿胀大小不一,小至大均有。该病变在临床、病理及影像学(MRI)上难以与神经鞘瘤和其他周围神经鞘膜肿瘤相鉴别。由于PN起源于神经,若术前规划执行良好,有可能得以挽救,因此需要早期诊断。在此病例报告中,受累神经为骨间后神经(手指/腕部伸肌的主要运动神经),这种情况较为罕见;然而,早期干预以及肿瘤的良性性质可使其预后良好,复发通常很少见,但如文献记载也不能忽视。

https://cdn.ncbi.nlm.nih.gov/pmc/blobs/c802/11736673/8115898b565b/cureus-0016-00000075856-i01.jpg

文献AI研究员

20分钟写一篇综述,助力文献阅读效率提升50倍。

立即体验

用中文搜PubMed

大模型驱动的PubMed中文搜索引擎

马上搜索

文档翻译

学术文献翻译模型,支持多种主流文档格式。

立即体验