Suppr超能文献

即将发生勒米尔综合征的早期影像学警示征象。

Early Radiographic Warning Signs of Impending Lemierre's Syndrome.

作者信息

Nathan Richa S, Ostrowski Tyler J, Narayan Ananth, Gildener-Leapman Neil

机构信息

Otolaryngology - Head and Neck Surgery, Albany Medical College, Albany, USA.

Otolaryngology - Head and Neck Surgery, Albany Medical Center, Albany, USA.

出版信息

Cureus. 2024 Dec 18;16(12):e75976. doi: 10.7759/cureus.75976. eCollection 2024 Dec.

Abstract

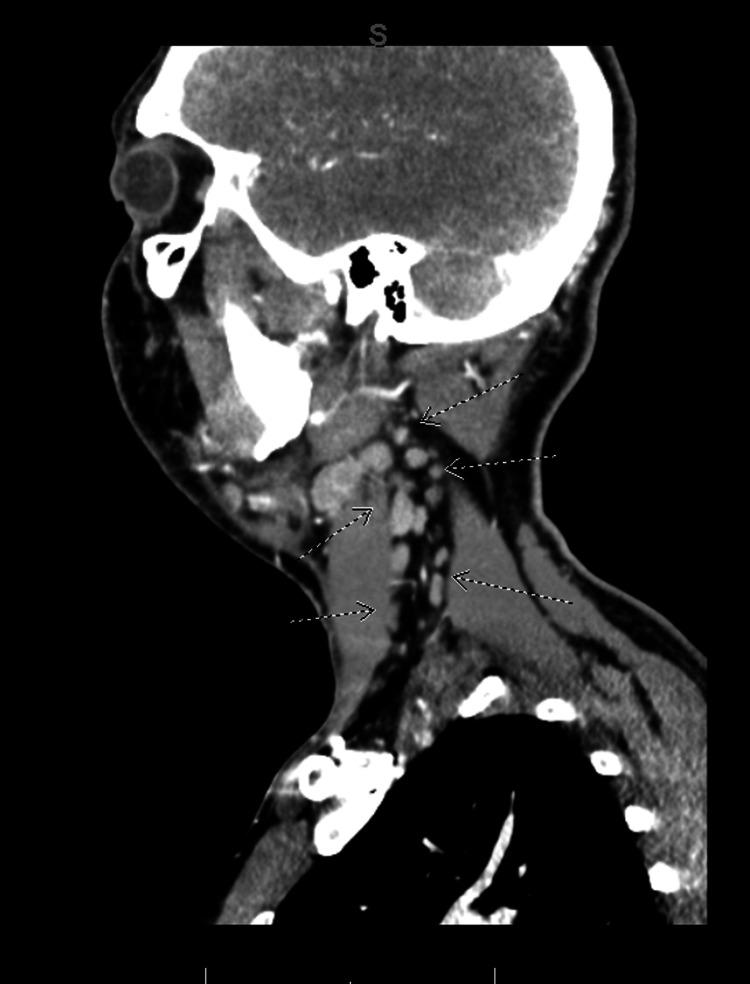
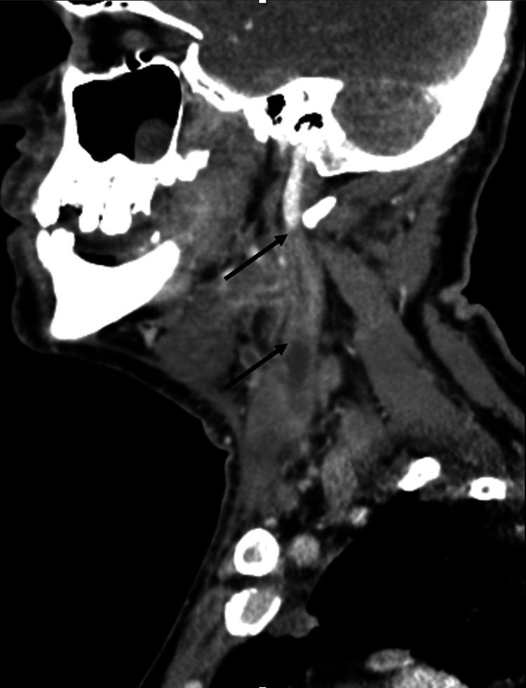
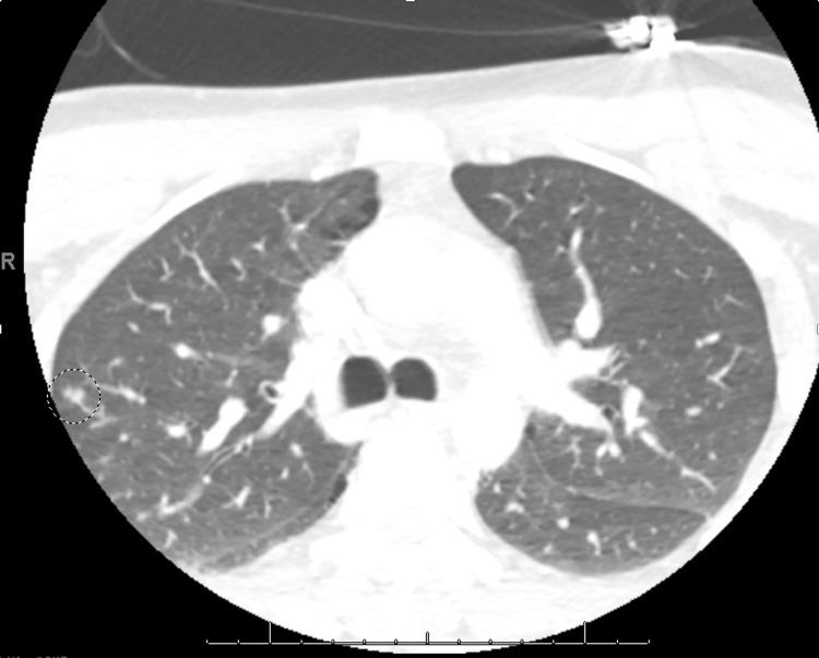
Lemierre's syndrome is a rare and potentially life-threatening complication of head and neck infections, such as bacterial pharyngitis or tonsillitis. It is characterized by the extension of infection into the lateral pharyngeal spaces, leading to subsequent septic thrombophlebitis of the internal jugular vein(s). Although relatively uncommon since the advent of appropriate antibiotic therapy, the incidence of Lemierre's syndrome has increased in the past 15 years, especially among young, healthy adults. This increase is likely attributed to the increasing prevalence of oropharyngeal infections in this population, making an initial diagnosis of Lemierre's syndrome often elusive on presentation. Delayed recognition of this syndrome can result in treatment delays, increasing the morbidity and mortality in this condition. The diagnosis of Lemierre's syndrome is typically confirmed through the identification of thrombophlebitis of the internal jugular vein on radiographic imaging and the isolation of anaerobic bacteria in blood cultures. Treatment involves prolonged antibiotic therapy and, often, anticoagulation. This case report presents a rare complication of bacterial tonsillitis, with initial imaging that demonstrated left peritonsillar phlegmon and subtle micro-occlusions of the left internal jugular vein on early imaging. Within four days, the infection rapidly progressed to complete occlusion of the internal jugular vein with pulmonary septic emboli, culminating in Lemierre's syndrome. This case highlights the importance of early detection and treatment of subtle radiographic findings of thromboses, along with consideration of social determinants of health, in the setting of head and neck infections to avoid rapid progression to Lemierre's syndrome, a disease with an elusive initial presentation and potentially fatal outcomes.

摘要

勒米尔综合征是头颈部感染(如细菌性咽炎或扁桃体炎)的一种罕见且可能危及生命的并发症。其特征是感染蔓延至咽旁间隙,继而导致颈内静脉脓毒性血栓性静脉炎。自适当抗生素疗法问世以来,虽然相对不常见,但勒米尔综合征的发病率在过去15年中有所上升,尤其是在年轻健康的成年人中。这种上升可能归因于该人群口咽感染患病率的增加,使得勒米尔综合征在初诊时常常难以确诊。对该综合征的延迟识别可能导致治疗延误,增加该病的发病率和死亡率。勒米尔综合征的诊断通常通过影像学检查发现颈内静脉血栓性静脉炎以及血培养中分离出厌氧菌来确诊。治疗包括长期抗生素治疗,通常还需要抗凝治疗。本病例报告呈现了一例细菌性扁桃体炎的罕见并发症,早期影像学显示左侧扁桃体周围蜂窝织炎以及左侧颈内静脉细微的微血栓形成。在四天内,感染迅速进展为颈内静脉完全闭塞并伴有肺脓毒性栓子,最终发展为勒米尔综合征。该病例强调了在头颈部感染的情况下,早期发现和治疗血栓形成的细微影像学表现的重要性,并考虑健康的社会决定因素,以避免迅速发展为勒米尔综合征,该病初发表现隐匿且可能导致致命后果。

https://cdn.ncbi.nlm.nih.gov/pmc/blobs/16a8/11747970/7e509de60879/cureus-0016-00000075976-i01.jpg

文献检索

告别复杂PubMed语法,用中文像聊天一样搜索,搜遍4000万医学文献。AI智能推荐,让科研检索更轻松。

立即免费搜索

文件翻译

保留排版,准确专业,支持PDF/Word/PPT等文件格式,支持 12+语言互译。

免费翻译文档

深度研究

AI帮你快速写综述,25分钟生成高质量综述,智能提取关键信息,辅助科研写作。

立即免费体验