Suppr超能文献

鼻咽癌伴不寻常的脊柱和脑膜转移:一例报告并文献复习

Nasopharyngeal carcinoma with unusual metastatic spread to the spine and meninges: a case report with literature review.

作者信息

Yassen Salma Swadi, Al-Badri Sajjad Ghanim, Aldarawsha Ali Naser, Elazab Mohamed Samy, Alawad Asdah, Hameedi Ameer Dhahir, Hamid Abdulrahman Khaldoon, Hasan Hussein Mohsin, Al-Fatlawi Nabeel, Asghar Hasan Ali

机构信息

Warith International Cancer Institute, Karbala, Iraq.

College of Medicine, University of Baghdad, Baghdad, Iraq.

出版信息

J Surg Case Rep. 2025 Jan 23;2025(1):rjaf022. doi: 10.1093/jscr/rjaf022. eCollection 2025 Jan.

Abstract

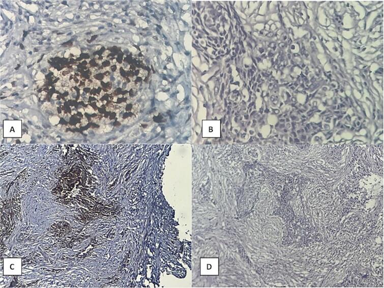
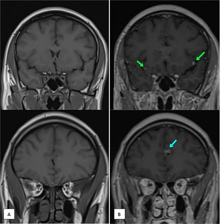
Nasopharyngeal carcinoma (NPC) is an epithelial malignancy commonly associated with Epstein-Barr virus infection. While bone, liver, and lung metastases are well-documented, central nervous system (CNS) involvement, particularly spinal and meningeal metastases, is extremely rare. We present a 41-year-old male with nasal obstruction and diplopia, diagnosed with locally advanced NPC. After treatment with chemotherapy and intensity-modulated radiotherapy, the patient achieved excellent locoregional control. However, months later, he developed persistent back pain, and imaging revealed metastatic deposits in the spine and meninges. Histopathological analysis confirmed metastatic NPC despite resolution of the primary tumor. The patient received palliative radiotherapy and intrathecal chemotherapy, but disease progression highlighted the aggressive nature and poor prognosis of CNS metastases in NPC. This case underscores the need for advanced imaging, histological confirmation, and tailored therapies in managing rare NPC metastases, with long-term follow-up and innovative therapies critical for improving outcomes in advanced disease.

摘要

鼻咽癌(NPC)是一种上皮性恶性肿瘤,通常与爱泼斯坦-巴尔病毒感染有关。虽然骨、肝和肺转移已有充分记录,但中枢神经系统(CNS)受累,尤其是脊髓和脑膜转移极为罕见。我们报告一名41岁男性,因鼻塞和复视而就诊,诊断为局部晚期鼻咽癌。经过化疗和调强放疗后,患者实现了良好的局部区域控制。然而,数月后,他出现持续背痛,影像学检查显示脊柱和脑膜有转移灶。尽管原发肿瘤已消退,但组织病理学分析证实为转移性鼻咽癌。患者接受了姑息性放疗和鞘内化疗,但疾病进展凸显了鼻咽癌中枢神经系统转移的侵袭性本质和不良预后。该病例强调了在处理罕见的鼻咽癌转移时,需要进行高级影像学检查、组织学确认和量身定制的治疗方法,长期随访和创新疗法对于改善晚期疾病的预后至关重要。

https://cdn.ncbi.nlm.nih.gov/pmc/blobs/8a60/11756385/cc6659d11724/rjaf022f1.jpg

文献AI研究员

20分钟写一篇综述,助力文献阅读效率提升50倍。

立即体验

用中文搜PubMed

大模型驱动的PubMed中文搜索引擎

马上搜索

文档翻译

学术文献翻译模型,支持多种主流文档格式。

立即体验