Suppr超能文献

海带多糖/地衣多糖转移酶GH72家族的特性及其在细胞壁生物合成中的作用。

Characterization of the GH72 family of Laminarin/Lichenin transferases and their roles in cell wall biogenesis.

作者信息

Chatrath Apurva, Patel Pavan, Dey Protyusha, Free Stephen J

机构信息

Department of Biological Sciences, SUNY University at Buffalo, Buffalo, NY 14260, United States.

出版信息

Cell Surf. 2025 Jan 3;13:100140. doi: 10.1016/j.tcsw.2024.100140. eCollection 2025 Jun.

Abstract

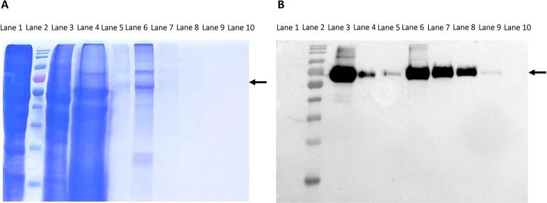
In vegetative hyphae, chitin, β-1,3-glucan (laminarin), and a mixed β-1,3-/β-1,4-glucan (lichenin) are the major cell wall polysaccharides. GH72 enzymes have been shown to function as β-1,3-glucanases and glucanosyltransferases and can function in crosslinking β-1,3-glucans together. To characterize the enzymatic activities of the enzymes, we expressed GEL-1 with a HIS6 tag in A chimeric maltose binding protein:GEL-2 was produced in . Purified GEL-1 and GEL-2 were used to characterize their enzymatic activities. We employed thin-layer chromatography (TLC) and polyacrylamide carbohydrate gel electrophoresis (PACE) assays to visualize GEL-1 and GEL-2 hydrolase and transferase activities on lichenin and laminarin substrates. We determined that GEL-1 functions as a laminarinase (β-1,3-glucanase) and as a laminarin transferase. We found that GEL-2 can function as a laminarinase and as a licheninase (β-1,3-/β-1,4-mixed-glucanase) and can crosslink β-1,3-glucans together. We demonstrated that GEL-2 can form enzyme:lichenin intermediates, providing evidence that GEL-2 functions as a lichenin transferase as well as a β-1,3-glucan transferase and crosslinks both types of polysaccharides into the cell wall.

摘要

在营养菌丝中,几丁质、β-1,3-葡聚糖(海带多糖)和β-1,3-/β-1,4-混合葡聚糖(地衣多糖)是主要的细胞壁多糖。已证明GH72酶可作为β-1,3-葡聚糖酶和葡聚糖基转移酶发挥作用,并能将β-1,3-葡聚糖交联在一起。为了表征这些酶的酶活性,我们在大肠杆菌中表达了带有HIS6标签的GEL-1;嵌合麦芽糖结合蛋白:GEL-2在大肠杆菌中产生。纯化的GEL-1和GEL-2用于表征它们的酶活性。我们采用薄层色谱(TLC)和聚丙烯酰胺碳水化合物凝胶电泳(PACE)分析来观察GEL-1和GEL-2对地衣多糖和海带多糖底物的水解酶和转移酶活性。我们确定GEL-1作为海带多糖酶(β-1,3-葡聚糖酶)和海带多糖转移酶发挥作用。我们发现GEL-2可以作为海带多糖酶和地衣多糖酶(β-1,3-/β-1,4-混合葡聚糖酶)发挥作用,并且可以将β-1,3-葡聚糖交联在一起。我们证明GEL-2可以形成酶:地衣多糖中间体,这为GEL-2作为地衣多糖转移酶以及β-1,3-葡聚糖转移酶发挥作用并将两种类型的多糖交联到细胞壁中提供了证据。

https://cdn.ncbi.nlm.nih.gov/pmc/blobs/04b7/11758075/f5076a77c661/gr1.jpg

文献AI研究员

20分钟写一篇综述,助力文献阅读效率提升50倍。

立即体验

用中文搜PubMed

大模型驱动的PubMed中文搜索引擎

马上搜索

文档翻译

学术文献翻译模型,支持多种主流文档格式。

立即体验