• 文献检索
  • 文档翻译
  • 深度研究
  • 学术资讯
  • Suppr Zotero 插件Zotero 插件
  • 邀请有礼
  • 套餐&价格
  • 历史记录
应用&插件
Suppr Zotero 插件Zotero 插件浏览器插件Mac 客户端Windows 客户端微信小程序
定价
高级版会员购买积分包购买API积分包
服务
文献检索文档翻译深度研究API 文档MCP 服务
关于我们
关于 Suppr公司介绍联系我们用户协议隐私条款
关注我们

Suppr 超能文献

核心技术专利:CN118964589B侵权必究
粤ICP备2023148730 号-1Suppr @ 2026

文献检索

告别复杂PubMed语法,用中文像聊天一样搜索,搜遍4000万医学文献。AI智能推荐,让科研检索更轻松。

立即免费搜索

文件翻译

保留排版,准确专业,支持PDF/Word/PPT等文件格式,支持 12+语言互译。

免费翻译文档

深度研究

AI帮你快速写综述,25分钟生成高质量综述,智能提取关键信息,辅助科研写作。

立即免费体验

全层黄斑裂孔封闭术后人羊膜移植片的移除及组织病理学评估

Human amniotic membrane graft removal and histopathologic evaluation following closure of a full thickness macular hole.

作者信息

Patel Hares, Swiatek Kayla, Rivera-Zengotita Marie, Chen Jinghua

机构信息

University of Florida, Department of Ophthalmology, USA.

University of Florida, Department of Pathology, Immunology, and Laboratory Medicine, USA.

出版信息

Am J Ophthalmol Case Rep. 2024 Dec 24;37:102239. doi: 10.1016/j.ajoc.2024.102239. eCollection 2025 Mar.

DOI:10.1016/j.ajoc.2024.102239
PMID:39872826
原文链接:https://pmc.ncbi.nlm.nih.gov/articles/PMC11770488/
Abstract

PURPOSE

Human amniotic membrane (hAM) grafts have been used to close persistent macular holes in recent years. The results from these surgeries are promising with improved closure rate and vision. However, there is lack of data for what happens to these membranes and how long the tissue should remain inside the patient's eyes. We report a case of hAM graft removal 6 months after closure of a persistent macular hole and the histopathology result of the removed hAM graft.

OBSERVATIONS

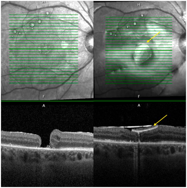
This is a report of a 57-year-old male patient that presented with hand motion vision, bullous, macula off rhegmatogenous retinal detachment in his right eye with multiple retinal holes and tears. Patient had 25G pars plana vitrectomy (PPV) with membrane peel and perfluoro-n-octane (PFO), silicone oil (SO) tamponade. After the first surgery, patient's retina reattached with a full thickness macular hole. Four months later, patient underwent PPV, SO removal, membrane peel and 20 % gas sulfur hexafluoride (SF6) tamponade. After the second surgery, the patient's macular hole remained open. Three months after the second surgery, we performed the third surgery with placement of dehydrated human amniotic/chorionic membrane (DHACM AMNIOFIX) over the macular hole and SO tamponade. Follow-up optical coherence tomography (OCT) showed the dehydrated amniotic/chorionic membrane (DHACM) integrated into the inner retina and the macular hole closed. However, the patient experienced obstruction of his central vision due to the graft. Six months after the third surgery, we removed the patient's silicone oil and the DHACM. After DHACM removal, the patient's vision improved to 20/80 and the OCT showed that the macular hole remained closed with restoration of macular layers. The histopathology examination of the removed DHACM did not show retinal tissue attachment.

CONCLUSIONS AND IMPORTANCE

This case shows the efficacy of dehydrated human amniotic membrane (hAM) graft to close a persistent full thickness macular hole and restore retinal layers. OCT imaging, prior to hAM removal, noted the hAM integration into the inner retina. In addition, we show that the graft can be removed after 6 months without obvious damage to the retina.

摘要

目的

近年来,人羊膜(hAM)移植已被用于封闭持续性黄斑裂孔。这些手术的结果很有前景,封闭率和视力都有所提高。然而,对于这些羊膜在眼内的转归以及组织应在患者眼内保留多长时间,目前缺乏相关数据。我们报告了一例在持续性黄斑裂孔封闭6个月后取出hAM移植片的病例以及取出的hAM移植片的组织病理学结果。

观察结果

本文报告了一名57岁男性患者,其右眼存在手动视力、大泡性、黄斑脱离的孔源性视网膜脱离,伴有多个视网膜裂孔和撕裂。患者接受了25G玻璃体切割术(PPV),联合膜剥除和全氟正辛烷(PFO)、硅油(SO)填充。首次手术后,患者视网膜复位,但黄斑裂孔仍为全层。4个月后,患者接受了PPV、SO取出、膜剥除及20%的六氟化硫(SF6)气体填充。第二次手术后,患者的黄斑裂孔仍未闭合。第二次手术后3个月,我们进行了第三次手术,在黄斑裂孔上方放置脱水人羊膜/绒毛膜(DHACM AMNIOFIX)并以SO填充。随访光学相干断层扫描(OCT)显示脱水羊膜/绒毛膜(DHACM)与视网膜内层融合,黄斑裂孔闭合。然而,患者因移植片出现了中心视力障碍。第三次手术后6个月,我们取出了患者的硅油和DHACM。取出DHACM后,患者视力提高到20/80,OCT显示黄斑裂孔保持闭合,黄斑各层恢复。取出的DHACM的组织病理学检查未显示视网膜组织附着。

结论及意义

该病例显示了脱水人羊膜(hAM)移植片封闭持续性全层黄斑裂孔并恢复视网膜各层的有效性。在取出hAM之前,OCT成像显示hAM与视网膜内层融合。此外,我们还表明,6个月后可以取出移植片,而不会对视网膜造成明显损害。

https://cdn.ncbi.nlm.nih.gov/pmc/blobs/9eb5/11770488/71045d25e0a6/gr3.jpg
https://cdn.ncbi.nlm.nih.gov/pmc/blobs/9eb5/11770488/8dac7eb36adb/gr1.jpg
https://cdn.ncbi.nlm.nih.gov/pmc/blobs/9eb5/11770488/84210e0bbd60/gr2.jpg
https://cdn.ncbi.nlm.nih.gov/pmc/blobs/9eb5/11770488/71045d25e0a6/gr3.jpg
https://cdn.ncbi.nlm.nih.gov/pmc/blobs/9eb5/11770488/8dac7eb36adb/gr1.jpg
https://cdn.ncbi.nlm.nih.gov/pmc/blobs/9eb5/11770488/84210e0bbd60/gr2.jpg
https://cdn.ncbi.nlm.nih.gov/pmc/blobs/9eb5/11770488/71045d25e0a6/gr3.jpg

相似文献

1
Human amniotic membrane graft removal and histopathologic evaluation following closure of a full thickness macular hole.全层黄斑裂孔封闭术后人羊膜移植片的移除及组织病理学评估
Am J Ophthalmol Case Rep. 2024 Dec 24;37:102239. doi: 10.1016/j.ajoc.2024.102239. eCollection 2025 Mar.
2
Pediatric macular hole repair with amniotic membrane graft in a patient with leukemia.白血病患儿黄斑裂孔修补术中应用羊膜移植术
Am J Ophthalmol Case Rep. 2025 Jan 17;37:102259. doi: 10.1016/j.ajoc.2025.102259. eCollection 2025 Mar.
3
REPORT ON AMNIOTIC MEMBRANE FOR SURGERY OF PERSISTENT MACULAR HOLE.关于用于持续性黄斑裂孔手术的羊膜报告。
Cesk Slov Oftalmol. 2022 Spring;78(3):130-137. doi: 10.31348/2022/15.
4
Epiretinal implant of human amniotic membrane to treat highly myopic macular hole retinal detachments: A novel surgical technique.人羊膜视网膜内植入物治疗高度近视黄斑裂孔视网膜脱离:一种新的手术技术。
Eur J Ophthalmol. 2024 Jan;34(1):304-309. doi: 10.1177/11206721231206717. Epub 2023 Oct 11.
5
Outcomes of amniotic membrane transplant for refractory macular hole - an optical coherence tomography and autofluorescence long-term study.羊膜移植治疗难治性黄斑裂孔的结果——光学相干断层扫描和自发荧光长期研究
Graefes Arch Clin Exp Ophthalmol. 2025 Feb;263(2):315-326. doi: 10.1007/s00417-024-06609-4. Epub 2024 Sep 23.
6
The Influence of Silicone Oil on the Ganglion Cell Complex After Pars Plana Vitrectomy for Rhegmatogenous Retinal Detachment.硅油对孔源性视网膜脱离行玻璃体切除术后节细胞复合体的影响。
Curr Pharm Des. 2018 Dec 8;24(29):3476-3493. doi: 10.2174/1381612824666180813115438.
7
Anatomic evaluation of macular holes with silicone oil tamponades in highly myopic eyes using optical coherence tomography.使用光学相干断层扫描对高度近视眼中硅油填充的黄斑裂孔进行解剖学评估。
Eur J Ophthalmol. 2010 Sep-Oct;20(5):938-44. doi: 10.1177/112067211002000520.
8
RECURRENT OPENING AND CLOSURE OF MACULAR HOLE AFTER PARS PLANA VITRECTOMY FOR RHEGMATOGENOUS RETINAL DETACHMENT.裂孔源性视网膜脱离行巩膜外加压术后黄斑裂孔反复性张开与闭合。
Retin Cases Brief Rep. 2020 Fall;14(4):331-333. doi: 10.1097/ICB.0000000000000699.
9
Outcome of autologous platelet concentrate and gas tamponade compared to heavy silicone oil tamponade in persistent macular hole surgery.自体血小板浓缩物和气体填充与重硅油填充治疗持续性黄斑裂孔手术的结果比较。
Eur J Ophthalmol. 2021 Mar;31(2):664-672. doi: 10.1177/1120672120903704. Epub 2020 Feb 4.
10
A Sandwich-Type Double-Layer Amniotic Membrane Graft for Repairing Myopic Macular Hole-Related Retinal Detachment in a Child with Knobloch Syndrome.一种三明治型双层羊膜移植片用于修复患有诺布罗赫综合征儿童的近视性黄斑裂孔相关视网膜脱离
Turk J Ophthalmol. 2025 Feb 27;55(1):57-60. doi: 10.4274/tjo.galenos.2025.15675.

本文引用的文献

1
THE LONG-TERM FOLLOW-UP OF AUTOLOGOUS BLOOD CLOT-ASSISTED LYOPHILIZED HUMAN AMNIOTIC MEMBRANE COVERING TREATMENT UNCLOSED MACULAR HOLE.自体血凝块辅助冻干人羊膜覆盖治疗未闭合黄斑裂孔的长期随访。
Retina. 2023 Aug 1;43(8):1340-1347. doi: 10.1097/IAE.0000000000003806. Epub 2023 Apr 10.
2
Human amniotic membrane graft for refractory macular hole: A single-arm meta-analysis and systematic review.人羊膜移植治疗难治性黄斑裂孔:一项单臂荟萃分析和系统评价。
J Fr Ophtalmol. 2023 Mar;46(3):276-286. doi: 10.1016/j.jfo.2022.07.001. Epub 2023 Feb 2.
3
Human Amniotic Membrane Plug for Macular Holes Coexisting with Rhegmatogenous Retinal Detachment.
用于黄斑裂孔合并孔源性视网膜脱离的人羊膜塞
Clin Ophthalmol. 2020 Aug 24;14:2411-2416. doi: 10.2147/OPTH.S272060. eCollection 2020.
4
Use of Epimacular Amniotic Membrane Graft in Cases of Recurrent Retinal Detachment Due to Failure of Myopic Macular Hole Closure.因近视性黄斑裂孔闭合失败导致复发性视网膜脱离病例中黄斑羊膜移植的应用
Ophthalmic Surg Lasers Imaging Retina. 2020 Feb 1;51(2):101-108. doi: 10.3928/23258160-20200129-06.
5
DSAEK-derived glider technique to introduce human amniotic membrane patch through small-gauge trocar for retinal pathologies.用于视网膜病变的通过小口径套管针引入人羊膜片的脱细胞角膜内皮移植术衍生滑翔器技术。
Acta Ophthalmol. 2020 Jun;98(4):e526-e527. doi: 10.1111/aos.14334. Epub 2019 Dec 18.
6
A human Amniotic Membrane plug to manage high myopic macular hole associated with retinal detachment.人羊膜塞治疗高度近视黄斑孔伴视网膜脱离
Acta Ophthalmol. 2020 Mar;98(2):e252-e256. doi: 10.1111/aos.14174. Epub 2019 Jul 18.
7
A Human Amniotic Membrane Plug to Promote Retinal Breaks Repair and Recurrent Macular Hole Closure.一种促进视网膜裂孔修复和复发性黄斑裂孔闭合的人羊膜塞
Retina. 2019 Oct;39 Suppl 1:S95-S103. doi: 10.1097/IAE.0000000000002320.
8
Biochemical characterization of pure dehydrated binate amniotic membrane: role of cytokines in the spotlight.纯脱水双合羊膜的生化特性:细胞因子成为焦点
Regen Med. 2018 Sep;13(6):689-703. doi: 10.2217/rme-2018-0085. Epub 2018 Aug 21.
9
Surgical management of macular holes: a report by the American Academy of Ophthalmology.黄斑裂孔的手术治疗:美国眼科学会报告
Ophthalmology. 2001 Jul;108(7):1328-35. doi: 10.1016/s0161-6420(01)00731-x.