• 文献检索
  • 文档翻译
  • 深度研究
  • 学术资讯
  • Suppr Zotero 插件Zotero 插件
  • 邀请有礼
  • 套餐&价格
  • 历史记录
应用&插件
Suppr Zotero 插件Zotero 插件浏览器插件Mac 客户端Windows 客户端微信小程序
定价
高级版会员购买积分包购买API积分包
服务
文献检索文档翻译深度研究API 文档MCP 服务
关于我们
关于 Suppr公司介绍联系我们用户协议隐私条款
关注我们

Suppr 超能文献

核心技术专利:CN118964589B侵权必究
粤ICP备2023148730 号-1Suppr @ 2026

文献检索

告别复杂PubMed语法,用中文像聊天一样搜索,搜遍4000万医学文献。AI智能推荐,让科研检索更轻松。

立即免费搜索

文件翻译

保留排版,准确专业,支持PDF/Word/PPT等文件格式,支持 12+语言互译。

免费翻译文档

深度研究

AI帮你快速写综述,25分钟生成高质量综述,智能提取关键信息,辅助科研写作。

立即免费体验

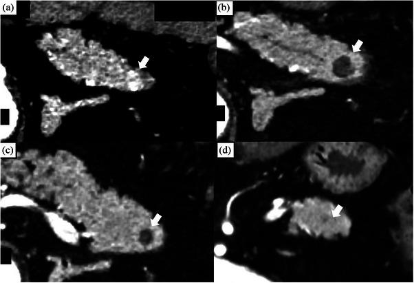
内镜超声引导下射频消融治疗小胰腺神经内分泌肿瘤的疗效与安全性:一项前瞻性试点研究。

Efficacy and safety of endoscopic ultrasonography-guided radiofrequency ablation of small pancreatic neuroendocrine neoplasms: A prospective, pilot study.

作者信息

Matsumoto Kazuyuki, Uchida Daisuke, Takeuchi Yasuto, Kato Hironari, Fujii Yuki, Harada Kei, Hattori Nao, Sato Ryosuke, Obata Taisuke, Matsumi Akihiro, Miyamoto Kazuya, Horiguchi Shigeru, Tsutsumi Koichiro, Yasui Kazuya, Harada Ryo, Fujii Masakuni, Otsuka Motoyuki

机构信息

Department of Gastroenterology and Hepatology Okayama University Hospital Okayama Japan.

Department of Gastroenterological Surgery, Transplant and Surgical Oncology Okayama University Hospital Okayama Japan.

出版信息

DEN Open. 2025 Jan 29;5(1):e70073. doi: 10.1002/deo2.70073. eCollection 2025 Apr.

DOI:10.1002/deo2.70073
PMID:39885893
原文链接:https://pmc.ncbi.nlm.nih.gov/articles/PMC11779739/
Abstract

OBJECTIVES

Endoscopic ultrasonography (EUS)-guided radiofrequency ablation has recently been introduced as one of the management strategies for small pancreatic neuroendocrine neoplasms (PNENs). However, prospective data on its safety and efficacy remain limited.

METHODS

This prospective pilot study was conducted at Okayama University Hospital from May 2023 to December 2024. Patients with grade 1 PNENs ≤15 mm, confirmed by EUS-guided fine-needle aspiration, were included. The primary endpoint was safety (adverse events [AEs] evaluated according to the 2010 guidelines of the American Society for Gastrointestinal Endoscopy. Severe AEs were defined as moderate or higher in American Society for Gastrointestinal Endoscopy grading and grade ≥3. Secondary endpoints included efficacy (complete response on contrast-enhanced computed tomography at 1 and 6 months), treatment details, device failure, diabetes mellitus exacerbation, and overall survival at 6 months.

RESULTS

Five patients with non-functional PNENs (median age: 64 years; median tumor size: 10 mm) were treated. AEs occurred in two patients (40%, 2/5), although none was severe. Both patients developed asymptomatic pseudocysts, one experienced mild pancreatitis, and both resolved with conservative treatment. The complete response rates on contrast-enhanced computed tomography at one and 6 months were 100%. The median procedure time was 16 min without any device failure, and the median hospitalization was 5 days. None of the patients developed new-onset or worsening diabetes mellitus. The 6-month overall survival rate was 100%.

CONCLUSION

EUS-guided radiofrequency ablation demonstrated a high complete response rate with no severe AEs in this pilot study, suggesting a minimally invasive option for small, low-grade PNENs (jRCTs062230014).

摘要

目的

内镜超声(EUS)引导下射频消融术最近已被引入作为小胰腺神经内分泌肿瘤(PNENs)的治疗策略之一。然而,关于其安全性和有效性的前瞻性数据仍然有限。

方法

这项前瞻性试点研究于2023年5月至2024年12月在冈山大学医院进行。纳入经EUS引导下细针穿刺确诊为1级PNENs且直径≤15 mm的患者。主要终点是安全性(根据美国胃肠内镜学会2010年指南评估不良事件[AEs]。严重不良事件定义为美国胃肠内镜学会分级中为中度或更高且等级≥3。次要终点包括有效性(1个月和6个月时对比增强计算机断层扫描的完全缓解)、治疗细节、设备故障、糖尿病加重以及6个月时的总生存率。

结果

治疗了5例无功能性PNENs患者(中位年龄:64岁;中位肿瘤大小:10 mm)。2例患者(40%,2/5)发生了不良事件,不过均不严重。两名患者均出现无症状假性囊肿,1例经历了轻度胰腺炎,两者均通过保守治疗得到缓解。1个月和6个月时对比增强计算机断层扫描的完全缓解率均为100%。中位手术时间为16分钟,无任何设备故障,中位住院时间为5天。所有患者均未出现新发或恶化的糖尿病。6个月总生存率为100%。

结论

在这项试点研究中,EUS引导下射频消融术显示出高完全缓解率且无严重不良事件,提示其是小的、低级别PNENs的一种微创选择(jRCTs062230014)。

https://cdn.ncbi.nlm.nih.gov/pmc/blobs/f59f/11779739/50e4586b5399/DEO2-5-e70073-g001.jpg
https://cdn.ncbi.nlm.nih.gov/pmc/blobs/f59f/11779739/7ac9aa0e40ca/DEO2-5-e70073-g004.jpg
https://cdn.ncbi.nlm.nih.gov/pmc/blobs/f59f/11779739/1dcb9a329b5f/DEO2-5-e70073-g006.jpg
https://cdn.ncbi.nlm.nih.gov/pmc/blobs/f59f/11779739/f73c36b5691d/DEO2-5-e70073-g005.jpg
https://cdn.ncbi.nlm.nih.gov/pmc/blobs/f59f/11779739/2a15c14274c7/DEO2-5-e70073-g003.jpg
https://cdn.ncbi.nlm.nih.gov/pmc/blobs/f59f/11779739/d302b028ee06/DEO2-5-e70073-g002.jpg
https://cdn.ncbi.nlm.nih.gov/pmc/blobs/f59f/11779739/32bf444357e1/DEO2-5-e70073-g007.jpg
https://cdn.ncbi.nlm.nih.gov/pmc/blobs/f59f/11779739/50e4586b5399/DEO2-5-e70073-g001.jpg
https://cdn.ncbi.nlm.nih.gov/pmc/blobs/f59f/11779739/7ac9aa0e40ca/DEO2-5-e70073-g004.jpg
https://cdn.ncbi.nlm.nih.gov/pmc/blobs/f59f/11779739/1dcb9a329b5f/DEO2-5-e70073-g006.jpg
https://cdn.ncbi.nlm.nih.gov/pmc/blobs/f59f/11779739/f73c36b5691d/DEO2-5-e70073-g005.jpg
https://cdn.ncbi.nlm.nih.gov/pmc/blobs/f59f/11779739/2a15c14274c7/DEO2-5-e70073-g003.jpg
https://cdn.ncbi.nlm.nih.gov/pmc/blobs/f59f/11779739/d302b028ee06/DEO2-5-e70073-g002.jpg
https://cdn.ncbi.nlm.nih.gov/pmc/blobs/f59f/11779739/32bf444357e1/DEO2-5-e70073-g007.jpg
https://cdn.ncbi.nlm.nih.gov/pmc/blobs/f59f/11779739/50e4586b5399/DEO2-5-e70073-g001.jpg

相似文献

1
Efficacy and safety of endoscopic ultrasonography-guided radiofrequency ablation of small pancreatic neuroendocrine neoplasms: A prospective, pilot study.内镜超声引导下射频消融治疗小胰腺神经内分泌肿瘤的疗效与安全性:一项前瞻性试点研究。
DEN Open. 2025 Jan 29;5(1):e70073. doi: 10.1002/deo2.70073. eCollection 2025 Apr.
2
Efficacy and safety of endoscopic ultrasonography-guided ethanol injections of small pancreatic neuroendocrine neoplasms: a prospective multicenter study.内镜超声引导下乙醇注射治疗小胰腺神经内分泌肿瘤的疗效与安全性:一项前瞻性多中心研究。
Endoscopy. 2025 Apr;57(4):321-329. doi: 10.1055/a-2452-4607. Epub 2024 Oct 25.
3
Safety and efficacy of endoscopic ultrasound-guided radiofrequency ablation for pancreatic neuroendocrine neoplasms: Systematic review and meta-analysis.内镜超声引导下射频消融治疗胰腺神经内分泌肿瘤的安全性和有效性:系统评价与荟萃分析
Dig Endosc. 2024 Apr;36(4):395-405. doi: 10.1111/den.14681. Epub 2023 Oct 11.
4
Study protocol for endoscopic ultrasonography-guided ethanol injection therapy for patients with pancreatic neuroendocrine neoplasm: a multicentre prospective study.内镜超声引导下乙醇注射治疗胰腺神经内分泌肿瘤患者的研究方案:一项多中心前瞻性研究。
BMJ Open. 2021 Jul 12;11(7):e046505. doi: 10.1136/bmjopen-2020-046505.
5
Efficacy and safety of scheduled early endoscopic ultrasonography-guided ethanol reinjection for patients with pancreatic neuroendocrine tumors: Prospective pilot study.计划性早期内镜超声引导下乙醇再注射治疗胰腺神经内分泌肿瘤的疗效和安全性:前瞻性初步研究。
Dig Endosc. 2020 Mar;32(3):425-430. doi: 10.1111/den.13552. Epub 2019 Nov 6.
6
Endoscopic ultrasound-guided radiofrequency ablation of premalignant pancreatic-cystic neoplasms and neuroendocrine tumors: prospective study.内镜超声引导下射频消融治疗癌前胰腺囊性肿瘤和神经内分泌肿瘤:前瞻性研究。
Eur J Gastroenterol Hepatol. 2022 Nov 1;34(11):1111-1115. doi: 10.1097/MEG.0000000000002422. Epub 2022 Sep 10.
7
Management of non-functional pancreatic neuroendocrine tumors by endoscopic ultrasound-guided radiofrequency ablation: Retrospective study in two tertiary centers.经内镜超声引导射频消融治疗无功能性胰腺神经内分泌肿瘤:两家三级中心的回顾性研究。
Dig Endosc. 2022 Sep;34(6):1207-1213. doi: 10.1111/den.14224. Epub 2022 Jan 19.
8
Endoscopic ultrasound-guided radiofrequency ablation for management of benign solid pancreatic tumors.内镜超声引导下射频消融治疗良性胰腺实性肿瘤。
Endoscopy. 2018 Nov;50(11):1099-1104. doi: 10.1055/a-0583-8387. Epub 2018 May 4.
9
Efficacy and Safety of Endoscopic Ultrasound-guided Ethanol Ablation Therapy for Pancreatic Neuroendocrine Tumors.内镜超声引导下乙醇消融治疗胰腺神经内分泌肿瘤的疗效与安全性
Acta Med Okayama. 2016 Aug;70(4):313-6. doi: 10.18926/AMO/54511.
10
Endoscopic Ultrasound-guided Radiofrequency Ablation Versus Surgical Resection for Treatment of Pancreatic Insulinoma.内镜超声引导下射频消融与手术切除治疗胰腺胰岛素瘤的比较
Clin Gastroenterol Hepatol. 2023 Oct;21(11):2834-2843.e2. doi: 10.1016/j.cgh.2023.02.022. Epub 2023 Mar 4.

本文引用的文献

1
Efficacy and safety of endoscopic ultrasonography-guided ethanol injections of small pancreatic neuroendocrine neoplasms: a prospective multicenter study.内镜超声引导下乙醇注射治疗小胰腺神经内分泌肿瘤的疗效与安全性:一项前瞻性多中心研究。
Endoscopy. 2025 Apr;57(4):321-329. doi: 10.1055/a-2452-4607. Epub 2024 Oct 25.
2
Safety and efficacy of endoscopic ultrasound-guided radiofrequency ablation for pancreatic neuroendocrine neoplasms: Systematic review and meta-analysis.内镜超声引导下射频消融治疗胰腺神经内分泌肿瘤的安全性和有效性:系统评价与荟萃分析
Dig Endosc. 2024 Apr;36(4):395-405. doi: 10.1111/den.14681. Epub 2023 Oct 11.
3
Risk factors for EUS-guided radiofrequency ablation adverse events in patients with pancreatic neoplasms: a large national French study (RAFPAN study).
超声内镜引导下射频消融治疗胰腺肿瘤不良事件的风险因素:一项大型法国全国性研究(RAFPAN 研究)。
Gastrointest Endosc. 2023 Sep;98(3):392-399.e1. doi: 10.1016/j.gie.2023.04.003. Epub 2023 Apr 12.
4
Endoscopic Ultrasound-guided Radiofrequency Ablation Versus Surgical Resection for Treatment of Pancreatic Insulinoma.内镜超声引导下射频消融与手术切除治疗胰腺胰岛素瘤的比较
Clin Gastroenterol Hepatol. 2023 Oct;21(11):2834-2843.e2. doi: 10.1016/j.cgh.2023.02.022. Epub 2023 Mar 4.
5
Comparison of EUS-guided ablation and surgical resection for nonfunctioning small pancreatic neuroendocrine tumors: a propensity score-matching study.超声内镜引导下消融与手术切除治疗无功能性胰腺神经内分泌肿瘤的对比:一项倾向评分匹配研究。
Gastrointest Endosc. 2023 Apr;97(4):741-751.e1. doi: 10.1016/j.gie.2022.11.004. Epub 2022 Nov 16.
6
Endoscopic ablation therapy for the pancreatic neoplasms.内镜下消融治疗胰腺肿瘤。
Dig Endosc. 2023 May;35(4):430-442. doi: 10.1111/den.14468. Epub 2022 Dec 13.
7
Endoscopic ultrasound-guided radiofrequency ablation of premalignant pancreatic-cystic neoplasms and neuroendocrine tumors: prospective study.内镜超声引导下射频消融治疗癌前胰腺囊性肿瘤和神经内分泌肿瘤:前瞻性研究。
Eur J Gastroenterol Hepatol. 2022 Nov 1;34(11):1111-1115. doi: 10.1097/MEG.0000000000002422. Epub 2022 Sep 10.
8
EUS-guided radiofrequency and ethanol ablation for pancreatic neuroendocrine tumors: A systematic review and meta-analysis.超声内镜引导下射频和乙醇消融治疗胰腺神经内分泌肿瘤:一项系统评价和荟萃分析。
Endosc Ultrasound. 2022 May-Jun;11(3):170-185. doi: 10.4103/EUS-D-21-00044.
9
Management of non-functional pancreatic neuroendocrine tumors by endoscopic ultrasound-guided radiofrequency ablation: Retrospective study in two tertiary centers.经内镜超声引导射频消融治疗无功能性胰腺神经内分泌肿瘤:两家三级中心的回顾性研究。
Dig Endosc. 2022 Sep;34(6):1207-1213. doi: 10.1111/den.14224. Epub 2022 Jan 19.
10
EUS-guided radiofrequency ablation for pancreatic insulinoma: experience in 2 tertiary centers.EUS 引导下射频消融治疗胰腺胰岛素瘤:2 家三级中心的经验。
Gastrointest Endosc. 2022 Jun;95(6):1256-1263. doi: 10.1016/j.gie.2021.11.045. Epub 2021 Dec 10.