Suppr超能文献

头孢曲松所致假性结石在中国儿童中的临床特征及转归:一项单中心观察性研究

Clinical features and outcomes of pseudolithiasis induced by ceftriaxone in Chinese children: a single-center observational study.

作者信息

Jin Chen, Xiu Wen-Li, Liu Yao, Hao Xi-Wei, Dong Qian

机构信息

Department of Pediatric Surgery, The Affiliated Hospital of Qingdao University, Qingdao, Shandong, China.

Shandong Provincial Key Laboratory of Digital Medicine and Computer-Assisted Surgery, Qingdao University, Qingdao, Shandong, China.

出版信息

Front Pediatr. 2025 Jan 17;13:1527014. doi: 10.3389/fped.2025.1527014. eCollection 2025.

Abstract

INTRODUCTION

Ceftriaxone (CTX) is widely used in pediatric infectious disease treatment, although the diagnostic and therapeutic management of CTX-induced gallbladder pseudolithiasis (PL) remains challenging. In this study, we investigated the occurrence, clinical features, and management of CTX-induced PL in children.

METHODS

A retrospective case-control study was conducted on 185 pediatric patients receiving CTX at a single center. Data on treatment regimens, gallbladder imaging findings, and serum biochemical parameters post-CTX therapy were analyzed. Patients were classified into PL ( = 34) and non-PL ( = 151) groups based on imaging findings.

RESULTS

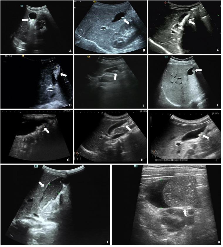
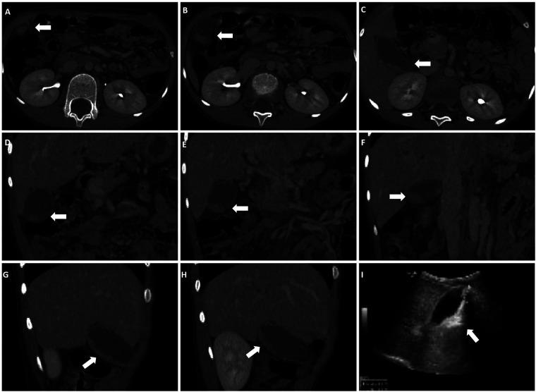
PL was diagnosed in 18.4% of patients treated with CTX, primarily through ultrasound, which revealed hyperechoic material within the gallbladder. Compared with the non-PL group, patients with PL were older and taller, with no significant differences in CTX dosage ( = 0.915). Patients with PL also had higher rates of digestive and neurological infections (both  < 0.001). Serum analysis revealed distinct liver and kidney function markers in the PL group, including lower levels of total bile acids, adenosine deaminase, and lactate dehydrogenase, and higher creatinine levels (all  < 0.05). Discontinuation of CTX led to symptom resolution in most cases, and all cases of PL resolved within three months.

CONCLUSIONS

The occurrence of PL is not significantly related to CTX dosage. Furthermore, the rate of CTX metabolism and excretion may play a key role in PL development. Overall, the findings demonstrate that ultrasound is an effective tool for monitoring the development of PL in children receiving CTX and that discontinuation of CTX could be an effective treatment for PL.

摘要

引言

头孢曲松(CTX)广泛用于儿童传染病治疗,尽管CTX诱导的胆囊假性结石(PL)的诊断和治疗管理仍然具有挑战性。在本研究中,我们调查了儿童CTX诱导的PL的发生率、临床特征及管理。

方法

对在单一中心接受CTX治疗的185例儿科患者进行回顾性病例对照研究。分析治疗方案、胆囊影像学检查结果以及CTX治疗后的血清生化参数数据。根据影像学检查结果将患者分为PL组(n = 34)和非PL组(n = 151)。

结果

接受CTX治疗的患者中,18.4%被诊断为PL,主要通过超声诊断,超声显示胆囊内有高回声物质。与非PL组相比,PL组患者年龄更大、身高更高,CTX剂量无显著差异(P = 0.915)。PL组患者消化系统和神经系统感染率也更高(均P < 0.001)。血清分析显示PL组肝肾功能指标不同,包括总胆汁酸、腺苷脱氨酶和乳酸脱氢酶水平较低,肌酐水平较高(均P < 0.05)。在大多数情况下,停用CTX可使症状缓解,所有PL病例在三个月内均得到缓解。

结论

PL的发生与CTX剂量无显著相关性。此外,CTX的代谢和排泄速率可能在PL的发生中起关键作用。总体而言,研究结果表明超声是监测接受CTX治疗儿童PL发展的有效工具,停用CTX可能是治疗PL的有效方法。

https://cdn.ncbi.nlm.nih.gov/pmc/blobs/20a3/11782244/d8ad1a467ef7/fped-13-1527014-g001.jpg

文献检索

告别复杂PubMed语法,用中文像聊天一样搜索,搜遍4000万医学文献。AI智能推荐,让科研检索更轻松。

立即免费搜索

文件翻译

保留排版,准确专业,支持PDF/Word/PPT等文件格式,支持 12+语言互译。

免费翻译文档

深度研究

AI帮你快速写综述,25分钟生成高质量综述,智能提取关键信息,辅助科研写作。

立即免费体验