Suppr超能文献

羟氯喹对一名特发性肺含铁血黄素沉着症患者的神经精神副作用

Neuropsychiatric Side Effects of Hydroxychloroquine in a Patient With Idiopathic Pulmonary Hemosiderosis.

作者信息

Cengiz Didar Ağca, Başaran Abdurrahman Erdem, Parlak Betül Bankoğlu, Şambel Irmak Tanal, Bingöl Ayşen

机构信息

Department of Pediatric Pulmonology, Akdeniz University Faculty of Medicine, Antalya, Turkey.

出版信息

J Paediatr Child Health. 2025 Apr;61(4):639-642. doi: 10.1111/jpc.70001. Epub 2025 Feb 5.

Abstract

BACKGROUND

Idiopathic pulmonary hemosiderosis (IPH) is a rare interstitial lung disease. Glucocorticosteroids and hydroxychloroquine are the most commonly used treatments. Although neuropsychiatric side effects related to hydroxychloroquine use are seen in adult cases, only one paediatric patient has been reported in the literature.

CASE PRESENTATION

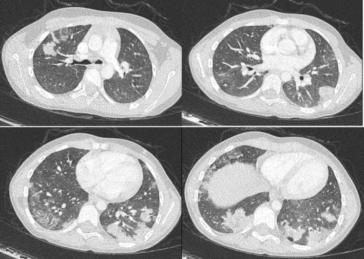
We report a case of a 6-year-old girl with IPH, who developed neuropsychiatric symptoms, including restlessness, confusion and myoclonic movements, after the therapeutic use of hydroxychloroquine.

CONCLUSION

With increasing knowledge and experience of interstitial lung disease, the use of hydroxychloroquine treatment is increasing. It is important to remember that hydroxychloroquine is a central nervous system stimulant, and neuropsychiatric side effects may be seen in children. This report highlights the importance of recognising potential neuropsychiatric side effects in paediatric patients using hydroxychloroquine, especially when combined with corticosteroids or other risk factors.

摘要

背景

特发性肺含铁血黄素沉着症(IPH)是一种罕见的间质性肺病。糖皮质激素和羟氯喹是最常用的治疗方法。虽然在成人病例中可见与使用羟氯喹相关的神经精神副作用,但文献中仅报道过1例儿科患者。

病例报告

我们报告1例6岁患IPH的女孩,在接受羟氯喹治疗后出现神经精神症状,包括烦躁不安、意识模糊和肌阵挛运动。

结论

随着对间质性肺病的认识和经验增加,羟氯喹治疗的使用也在增加。重要的是要记住,羟氯喹是一种中枢神经系统兴奋剂,儿童可能会出现神经精神副作用。本报告强调了认识到使用羟氯喹的儿科患者潜在神经精神副作用的重要性,尤其是在与皮质类固醇或其他危险因素联合使用时。

https://cdn.ncbi.nlm.nih.gov/pmc/blobs/e1da/12003937/36c51e048467/JPC-61-639-g001.jpg

文献AI研究员

20分钟写一篇综述,助力文献阅读效率提升50倍。

立即体验

用中文搜PubMed

大模型驱动的PubMed中文搜索引擎

马上搜索

文档翻译

学术文献翻译模型,支持多种主流文档格式。

立即体验