Suppr超能文献

心脏卡波西肉瘤合并卡波西肉瘤炎性细胞因子综合征:一例报告

Cardiac Kaposi Sarcoma Complicated by Kaposi Sarcoma Inflammatory Cytokine Syndrome: A Case Report.

作者信息

Dagher Anna-Maria B, Lee Jeffrey, Cunningham Hayley E, Weiss Julian J, Yarrington Michael E

机构信息

Internal Medicine, Duke University School of Medicine, Durham, USA.

Infectious Diseases, Duke University School of Medicine, Durham, USA.

出版信息

Cureus. 2025 Jan 5;17(1):e76972. doi: 10.7759/cureus.76972. eCollection 2025 Jan.

Abstract

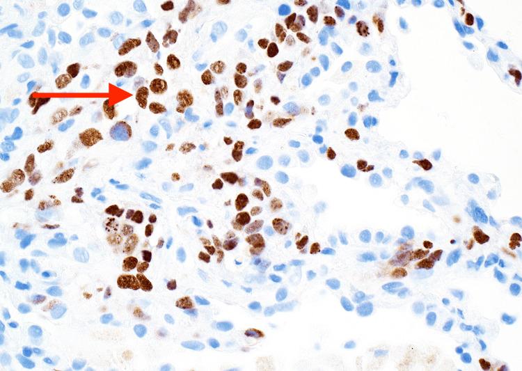
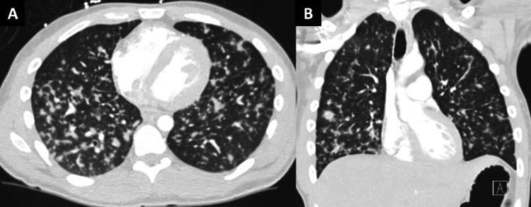
Kaposi sarcoma (KS), caused by human herpesvirus-8 (HHV-8), is among the most common malignancies in people living with HIV. Kaposi sarcoma is an angiogenic endothelial cell neoplasm and an acquired immunodeficiency syndrome (AIDS)-defining illness. Kaposi sarcoma is associated with high mortality when presenting as visceral or disseminated disease or when complicated by Kaposi sarcoma inflammatory cytokine syndrome (KICS), immune reconstitution inflammatory syndrome, or multicentric Castleman disease. We present the case of a 26-year-old male patient found to have AIDS-related KS complicated by cardiac, pulmonary, gastrointestinal, and skin involvement as well as KICS. Notably, the patient's skin lesions were not identified at the initial hospital presentation. He was treated with doxorubicin for KS and rituximab for KICS but died shortly after KICS diagnosis. We highlight the importance of recognizing KS skin lesions to aid in early diagnosis and of recognizing signs and symptoms of KICS to expedite immunomodulatory therapy initiation.

摘要

由人类疱疹病毒8型(HHV - 8)引起的卡波西肉瘤(KS)是艾滋病患者中最常见的恶性肿瘤之一。卡波西肉瘤是一种血管生成性内皮细胞瘤,也是一种获得性免疫缺陷综合征(AIDS)定义疾病。当卡波西肉瘤表现为内脏或播散性疾病,或并发卡波西肉瘤炎性细胞因子综合征(KICS)、免疫重建炎性综合征或多中心Castleman病时,其死亡率较高。我们报告一例26岁男性患者,发现患有与艾滋病相关的卡波西肉瘤,并发心脏、肺部、胃肠道和皮肤受累以及KICS。值得注意的是,患者在初次就诊时未发现皮肤病变。他接受了多柔比星治疗卡波西肉瘤,利妥昔单抗治疗KICS,但在KICS诊断后不久死亡。我们强调识别卡波西肉瘤皮肤病变以辅助早期诊断以及识别KICS的体征和症状以加快免疫调节治疗启动的重要性。

https://cdn.ncbi.nlm.nih.gov/pmc/blobs/6763/11794192/02e555c0bb28/cureus-0017-00000076972-i01.jpg

文献AI研究员

20分钟写一篇综述,助力文献阅读效率提升50倍。

立即体验

用中文搜PubMed

大模型驱动的PubMed中文搜索引擎

马上搜索

文档翻译

学术文献翻译模型,支持多种主流文档格式。

立即体验