• 文献检索
  • 文档翻译
  • 深度研究
  • 学术资讯
  • Suppr Zotero 插件Zotero 插件
  • 邀请有礼
  • 套餐&价格
  • 历史记录
应用&插件
Suppr Zotero 插件Zotero 插件浏览器插件Mac 客户端Windows 客户端微信小程序
定价
高级版会员购买积分包购买API积分包
服务
文献检索文档翻译深度研究API 文档MCP 服务
关于我们
关于 Suppr公司介绍联系我们用户协议隐私条款
关注我们

Suppr 超能文献

核心技术专利:CN118964589B侵权必究
粤ICP备2023148730 号-1Suppr @ 2026

文献检索

告别复杂PubMed语法,用中文像聊天一样搜索,搜遍4000万医学文献。AI智能推荐,让科研检索更轻松。

立即免费搜索

文件翻译

保留排版,准确专业,支持PDF/Word/PPT等文件格式,支持 12+语言互译。

免费翻译文档

深度研究

AI帮你快速写综述,25分钟生成高质量综述,智能提取关键信息,辅助科研写作。

立即免费体验

使用电动和磁驱动髓内钉治疗下肢长度差异的下肢骨延长结果。

Results of Lower Limb Bone Lengthening by Using Motorized and Magnet-Driven Intramedullary Nails to Treat Limb Length Discrepancy.

作者信息

Al-Sayyad Mohammed J, Alshoaibi Fahad A, Alshuaibi Ammar A, Almohammadi Ayman F, Almaghrabi Hatim A, Alsaady Abdullah M, Alsayyad Jalal M

机构信息

Department of Orthopedics, King Abdulaziz University Hospital, Jeddah, SAU.

Faculty of Medicine, King Abdulaziz University, Jeddah, SAU.

出版信息

Cureus. 2025 Jan 10;17(1):e77212. doi: 10.7759/cureus.77212. eCollection 2025 Jan.

DOI:10.7759/cureus.77212
PMID:39925552
原文链接:https://pmc.ncbi.nlm.nih.gov/articles/PMC11807256/
Abstract

INTRODUCTION

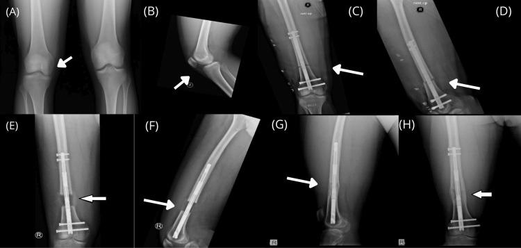
Limb length discrepancies (LLDs) can be treated with limb lengthening using external fixation or intramedullary nails, such as PRECICE or FITBONE. PRECICE is a magnetically driven titanium nail, while FITBONE is a motorized nail; both use an external remote control. This study aimed to determine the complications, compensation of length difference, time needed for compensation, and healing outcome of bone lengthening using motorized or magnet-driven intramedullary nails among non-cosmetic limb lengthening cases.

METHODS

This retrospective study was derived from a single surgeon's practice at a tertiary hospital in Jeddah, Saudi Arabia. Between 2009 and 2020, 15 patients with LLDs, with a mean age of 25.43 years (range 16-35 years), were identified. The study included congenital, post-traumatic, idiopathic, and acquired causes of LLDs. Outcomes were measured using complete lengthening and healing indices, which need the presence of three intact cortices out of four.

RESULTS

All patients achieved correction of their limb length without any device failure or nail breakage. The achieved limb length for all patients averaged 38.4 mm, ranging from 21 to 60 mm. No intraoperative complications were observed. Postoperatively, one patient reported knee stiffness, and another developed deep venous thrombosis. Duration of distraction (average 43.93 days, range 30-66 days) and the mean healing index was 32 days/cm for both the femur and tibia.

CONCLUSION

This study confirms that intramedullary nail PRECICE 2 and FITBONE systems are reliable and effective lengthening devices for treating lower LLDs and deformities. These devices significantly reduce complications and achieve excellent outcomes.

摘要

引言

肢体长度差异(LLD)可通过使用外固定或髓内钉进行肢体延长来治疗,例如PRECICE或FITBONE。PRECICE是一种磁驱动钛钉,而FITBONE是一种电动钉;两者均使用外部遥控器。本研究旨在确定在非美容性肢体延长病例中,使用电动或磁驱动髓内钉进行骨延长的并发症、长度差异补偿、补偿所需时间以及愈合结果。

方法

这项回顾性研究来自沙特阿拉伯吉达一家三级医院的一位外科医生的临床实践。在2009年至2020年期间,确定了15例LLD患者,平均年龄为25.43岁(范围16 - 35岁)。该研究包括LLD的先天性、创伤后、特发性和后天性病因。使用完全延长和愈合指数来衡量结果,这需要在四个皮质中有三个完整。

结果

所有患者均实现了肢体长度的矫正,且无任何器械故障或钉子断裂。所有患者实现的肢体长度平均为38.4毫米,范围为21至60毫米。未观察到术中并发症。术后,一名患者报告膝关节僵硬,另一名患者发生深静脉血栓形成。股骨和胫骨的牵张持续时间(平均43.93天,范围30 - 66天)和平均愈合指数均为32天/厘米。

结论

本研究证实,髓内钉PRECICE 2和FITBONE系统是治疗下肢LLD和畸形的可靠且有效的延长装置。这些装置显著减少并发症并取得优异结果。

https://cdn.ncbi.nlm.nih.gov/pmc/blobs/54e2/11807256/de3120be1e1e/cureus-0017-00000077212-i01.jpg
https://cdn.ncbi.nlm.nih.gov/pmc/blobs/54e2/11807256/de3120be1e1e/cureus-0017-00000077212-i01.jpg
https://cdn.ncbi.nlm.nih.gov/pmc/blobs/54e2/11807256/de3120be1e1e/cureus-0017-00000077212-i01.jpg

相似文献

1
Results of Lower Limb Bone Lengthening by Using Motorized and Magnet-Driven Intramedullary Nails to Treat Limb Length Discrepancy.使用电动和磁驱动髓内钉治疗下肢长度差异的下肢骨延长结果。
Cureus. 2025 Jan 10;17(1):e77212. doi: 10.7759/cureus.77212. eCollection 2025 Jan.
2
Bone lengthening using the Fitbone(®) motorized intramedullary nail: The first experience in France.使用 Fitbone(®)动力髓内钉进行骨延长:法国的首次经验。
Orthop Traumatol Surg Res. 2016 Apr;102(2):217-22. doi: 10.1016/j.otsr.2015.10.011. Epub 2016 Feb 10.
3
Complications in Elective Removal of 271 Bone Lengthening Nails (FITBONE, PRECICE and STRYDE).271枚骨延长钉(FITBONE、PRECICE和STRYDE)择期取出的并发症
Strategies Trauma Limb Reconstr. 2021 May-Aug;16(2):110-115. doi: 10.5005/jp-journals-10080-1529.
4
Fitbone vs Precice: Is There a Difference in Regenerate Healing?Fitbone与Precice:再生愈合方面存在差异吗?
Strategies Trauma Limb Reconstr. 2024 Sep-Dec;19(3):156-160. doi: 10.5005/jp-journals-10080-1628. Epub 2025 Mar 20.
5
What Are the Potential Benefits and Risks of Using Magnetically Driven Antegrade Intramedullary Lengthening Nails for Femoral Lengthening to Treat Leg Length Discrepancy?使用磁驱动顺行髓内延长钉进行股骨延长治疗肢体长度差异的潜在益处和风险有哪些?
Clin Orthop Relat Res. 2022 Apr 1;480(4):790-803. doi: 10.1097/CORR.0000000000002036.
6
A clinical and radiological matched-pair analysis of patients treated with the PRECICE and STRYDE magnetically driven motorized intramedullary lengthening nails.一项对接受PRECICE和STRYDE磁驱动电动髓内延长钉治疗的患者进行的临床和影像学配对分析。
Bone Joint J. 2023 Jan;105-B(1):88-96. doi: 10.1302/0301-620X.105B1.BJJ-2022-0755.R1.
7
An update on the intramedullary implant in limb lengthening: A quinquennial review Part 1: The further influence of the intramedullary nail in limb lengthening.断骨增高术髓内植入物的最新进展:五年度回顾 第 1 部分:髓内钉在肢体延长中的进一步影响。
Injury. 2022 Nov;53 Suppl 3:S81-S87. doi: 10.1016/j.injury.2022.06.028. Epub 2022 Jun 22.
8
Complications and risk factors of intramedullary bone lengthening nails: a retrospective multicenter cohort study of 314 FITBONE and PRECICE nails.髓内骨延长钉的并发症和危险因素:314 例 FITBONE 和 PRECICE 钉的回顾性多中心队列研究。
Acta Orthop. 2023 Feb 17;94:51-59. doi: 10.2340/17453674.2023.8479.
9
Systematic review of complications with externally controlled motorized intramedullary bone lengthening nails (FITBONE and PRECICE) in 983 segments.体外控制式机动髓内骨延长钉(FITBONE 和 PRECICE)在 983 个部位的并发症的系统回顾。
Acta Orthop. 2021 Feb;92(1):120-127. doi: 10.1080/17453674.2020.1835321. Epub 2020 Oct 27.
10
Pediatric Lower Limb Lengthening Using the PRECICE Nail: Our Experience With 50 Cases.儿童下肢延长使用 PRECICE 钉:我们 50 例的经验。
J Pediatr Orthop. 2021 Jan;41(1):e44-e49. doi: 10.1097/BPO.0000000000001672.

引用本文的文献

1
Clinical and radiological outcomes of magnetically controlled intramedullary lengthening nails in adolescents and young adults: a retrospective cohort study.青少年和年轻成年人使用磁控髓内延长钉的临床和影像学结果:一项回顾性队列研究
J Orthop Surg Res. 2025 Jun 16;20(1):592. doi: 10.1186/s13018-025-06009-2.

本文引用的文献

1
Complications and risk factors of intramedullary bone lengthening nails: a retrospective multicenter cohort study of 314 FITBONE and PRECICE nails.髓内骨延长钉的并发症和危险因素:314 例 FITBONE 和 PRECICE 钉的回顾性多中心队列研究。
Acta Orthop. 2023 Feb 17;94:51-59. doi: 10.2340/17453674.2023.8479.
2
Quality of life of children during distraction osteogenesis: a comparison between intramedullary magnetic lengthening nails and external fixators.儿童在 distraction osteogenesis 期间的生活质量:髓内磁延长钉和外固定器的比较。
Int Orthop. 2022 Jun;46(6):1367-1373. doi: 10.1007/s00264-022-05399-w. Epub 2022 Apr 7.
3
Femoral Lengthening in Children: A Comparison of Motorized Intramedullary Nailing Versus External Fixation Techniques.
儿童股骨延长术:机动髓内钉与外固定技术的比较。
J Pediatr Orthop. 2022;42(5):253-259. doi: 10.1097/BPO.0000000000002120.
4
Limb lengthening with PRECICE magnetic nail in pediatric patients: A systematic review.小儿患者使用PRECICE磁性髓内钉进行肢体延长:一项系统评价
World J Orthop. 2021 Aug 18;12(8):575-583. doi: 10.5312/wjo.v12.i8.575.
5
Bone Lengthening with a Motorized Intramedullary Nail in 34 Patients with Posttraumatic Limb Length Discrepancies.34例创伤后肢体长度差异患者采用动力型髓内钉进行骨延长术
J Clin Med. 2021 May 28;10(11):2393. doi: 10.3390/jcm10112393.
6
Hip-Sparing Equalization Procedures for Leg-Length Discrepancy After Total Hip Arthroplasty: A Retrospective Case Series.全髋关节置换术后肢体长度差异的保髋均衡手术:一项回顾性病例系列研究
HSS J. 2020 Dec;16(Suppl 2):400-407. doi: 10.1007/s11420-020-09770-8. Epub 2020 Jul 24.
7
Complications and Effectiveness of Intramedullary Limb Lengthening: A Matched Pair Analysis of Two Different Lengthening Nails.髓内肢体延长的并发症与有效性:两种不同延长钉的配对分析
Strategies Trauma Limb Reconstr. 2020 Jan-Apr;15(1):7-12. doi: 10.5005/jp-journals-10080-1448.
8
Systematic review of complications with externally controlled motorized intramedullary bone lengthening nails (FITBONE and PRECICE) in 983 segments.体外控制式机动髓内骨延长钉(FITBONE 和 PRECICE)在 983 个部位的并发症的系统回顾。
Acta Orthop. 2021 Feb;92(1):120-127. doi: 10.1080/17453674.2020.1835321. Epub 2020 Oct 27.
9
Pediatric Lower Limb Lengthening Using the PRECICE Nail: Our Experience With 50 Cases.儿童下肢延长使用 PRECICE 钉:我们 50 例的经验。
J Pediatr Orthop. 2021 Jan;41(1):e44-e49. doi: 10.1097/BPO.0000000000001672.
10
PRECICE intramedullary nail in the treatment of adult leg length discrepancy.PRECICE 髓内钉治疗成人肢体长度差异。
Injury. 2020 Apr;51(4):1091-1096. doi: 10.1016/j.injury.2020.03.004. Epub 2020 Mar 2.