Suppr超能文献

一例由十二指肠类癌引起的胃出口梗阻罕见病例。

A Rare Case of Gastric Outlet Obstruction Caused by a Duodenal Carcinoid.

作者信息

Cross Caitlyn, Pordal Angad

机构信息

General Surgery, Garden City Hospital, Garden City, USA.

出版信息

Cureus. 2025 Jan 20;17(1):e77729. doi: 10.7759/cureus.77729. eCollection 2025 Jan.

Abstract

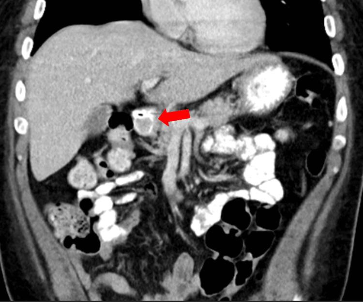
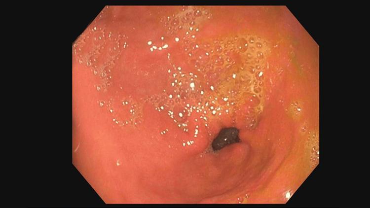
In this case report, we discuss a very rare presentation of a duodenal carcinoid tumor causing a gastric outlet obstruction that was initially misdiagnosed as gastroparesis due to uncontrolled diabetes. This tumor did not present with the usual symptoms or as carcinoid syndrome, as it was negative for all tumor markers and metanephrines. Treatment typically includes preoperative administration of somatostatin analogs, however, these were not used as the tumor showed no evidence of hormone secretion. Early operative treatment is indicated due to the poor prognosis associated with metastatic disease; however, this nonfunctioning tumor, with less than 3% Ki-67 positivity, was classified as low-grade. During esophagogastroduodenoscopy (EGD) and surgical resection, the mass was observed to be highly mobile, intermittently prolapsing retrograde through the pylorus and acting as a one-way valve, obstructing the passage of fluids and food into the duodenum. Consequently, this gastric outlet-like picture was intermittent. The patient's history of uncontrolled diabetes and gastroparesis complicated the diagnosis as each episode of vomiting resolved on its own without any interventions. This made diagnosis of his underlying condition difficult. In this case, we present this rare type of carcinoid obstruction as well as surgical options and surveillance for these tumors.

摘要

在本病例报告中,我们讨论了一例极为罕见的十二指肠类癌肿瘤表现,该肿瘤导致胃出口梗阻,最初因糖尿病控制不佳被误诊为胃轻瘫。此肿瘤未表现出常见症状或类癌综合征,因为所有肿瘤标志物和甲氧基肾上腺素均为阴性。治疗通常包括术前使用生长抑素类似物,然而,由于肿瘤未显示激素分泌证据,未使用这些药物。鉴于转移性疾病预后较差,应尽早进行手术治疗;然而,此无功能肿瘤的Ki-67阳性率低于3%,被归类为低级别。在食管胃十二指肠镜检查(EGD)和手术切除过程中,观察到肿块活动度极高,间歇性地逆行通过幽门突出,起到单向瓣膜的作用,阻碍液体和食物进入十二指肠。因此,这种类似胃出口梗阻的情况是间歇性的。患者未控制的糖尿病和胃轻瘫病史使诊断复杂化,因为每次呕吐发作均自行缓解,无需任何干预。这使得对其潜在病情的诊断变得困难。在此病例中,我们展示了这种罕见类型的类癌梗阻以及针对这些肿瘤的手术选择和监测。

https://cdn.ncbi.nlm.nih.gov/pmc/blobs/200f/11839212/355213866ab0/cureus-0017-00000077729-i01.jpg

文献AI研究员

20分钟写一篇综述,助力文献阅读效率提升50倍。

立即体验

用中文搜PubMed

大模型驱动的PubMed中文搜索引擎

马上搜索

文档翻译

学术文献翻译模型,支持多种主流文档格式。

立即体验