Suppr超能文献

一种用于指导肝样腺肿瘤犬治疗的新型评分系统提案。

A novel scoring system proposal to guide treatment of dogs with hepatoid gland tumors.

作者信息

Maniscalco Lorella, Olimpo Matteo, Parisi Lorenza, Buracco Paolo, Mazzone Eugenio, Martinelli Greta, Martano Marina, Iussich Selina, Morello Emanuela

机构信息

Department of Veterinary Sciences, University of Turin, Grugliasco, Italy.

Department of Veterinary Medical Sciences, University of Parma, Parma, Italy.

出版信息

Front Vet Sci. 2025 Feb 5;12:1451510. doi: 10.3389/fvets.2025.1451510. eCollection 2025.

Abstract

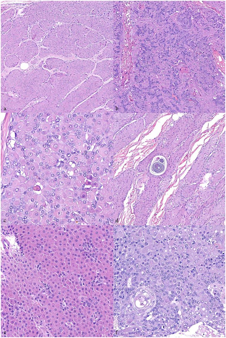
Hepatoid perianal gland tumors are relatively common in dogs, accounting for 25% of all skin tumors. However, the specific factors involved in their development are still not completely clear. It has been established that hormonal influences can impact the formation of these tumors. The prognosis for dogs with perianal tumors depends largely on histology (benign vs. malignant) and, in case of malignancy, it has been suggested that the stage of the disease is important, with a more favorable outcome in dogs having small (under 5 cm in diameter), -metastatic adenocarcinomas which are surgically removed with non-infiltrated margins. Nevertheless, there is a paucity of studies which thoroughly relate hepatoid gland histotypes to their prognosis; therefore, it is possible that a well-differentiated adenocarcinoma could be misclassified. Based on a retrospective review of 76 dogs with hepatoid gland tumors having clinical follow-up, the aims of this study were (1) to establish a histological grading system capable of potentially predicting prognosis and (2) to explore the role of Ki67 as a potential prognostic marker. Based on histopathological features only, the proposed grading system effectively differentiated tumors with a favorable prognosis from those with a worse prognosis to support histological diagnosis. The evaluation of the Ki67 index was not useful to predict prognosis in this study.

摘要

类肝癌性肛周腺肿瘤在犬类中相对常见,占所有皮肤肿瘤的25%。然而,其发生发展所涉及的具体因素仍不完全清楚。已经确定激素影响会对这些肿瘤的形成产生作用。患有肛周肿瘤的犬类的预后很大程度上取决于组织学类型(良性与恶性),对于恶性肿瘤而言,疾病分期很重要,直径小于5厘米、无转移的腺癌且手术切除边缘未受浸润的犬类预后较好。然而,将类肝癌组织学类型与其预后进行全面关联的研究较少;因此,高分化腺癌可能会被错误分类。基于对76只患有类肝癌肿瘤且有临床随访记录的犬类进行的回顾性研究,本研究的目的是:(1)建立一个能够潜在预测预后的组织学分级系统;(2)探索Ki67作为潜在预后标志物的作用。仅基于组织病理学特征,所提出的分级系统有效地将预后良好的肿瘤与预后较差的肿瘤区分开来,以支持组织学诊断。在本研究中,Ki67指数的评估对预测预后并无帮助。

https://cdn.ncbi.nlm.nih.gov/pmc/blobs/41e5/11841504/1d48e3b51b2a/fvets-12-1451510-g001.jpg

文献AI研究员

20分钟写一篇综述,助力文献阅读效率提升50倍。

立即体验

用中文搜PubMed

大模型驱动的PubMed中文搜索引擎

马上搜索

文档翻译

学术文献翻译模型,支持多种主流文档格式。

立即体验