Suppr超能文献

姑息性放疗用于保留复发性、难治疗的基底细胞癌患者的视力

Palliative Radiotherapy to Preserve Eyesight in a Recurrent, Difficult-to-Treat Basal Cell Carcinoma.

作者信息

Copilău Andra Ioana, Bălăceanu-Gurău Beatrice, Anghel Andrei, Tudose Irina, Mihai Mara Mădălina

机构信息

Dermatology Department, Elias Emergency University Hospital, Bucharest, ROU.

Oncologic Dermatology Department, Elias Emergency University Hospital, Carol Davila University of Medicine and Pharmacy, Bucharest, ROU.

出版信息

Cureus. 2025 Jan 20;17(1):e77743. doi: 10.7759/cureus.77743. eCollection 2025 Jan.

Abstract

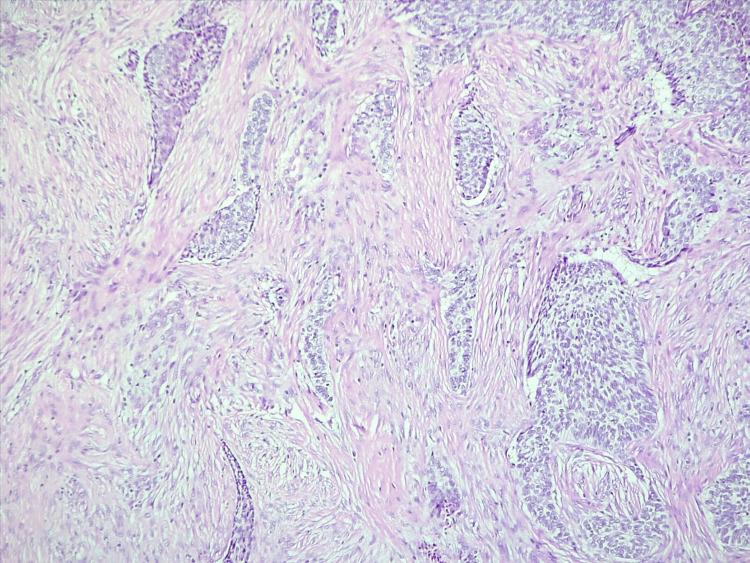
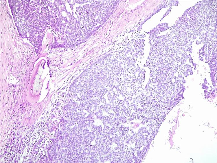
This case discusses an 85-year-old patient with a history of cataract causing severe right eye vision impairment and repeated surgeries for a basal cell carcinoma (BCC) on the right temple and its local recurrences (wide local excision in 2010; re-excision and reconstruction with a skin graft in 2017), who presented with progressive growth and extension of the skin tumour. Upon examination, an irregular, erythematous plaque with multiple ulcerations on the surface (the largest measuring 4 × 3 cm on the left temple) was observed. The lesion extended from one temple to the other, over the forehead, along the margins of the surgical skin graft, and invaded the upper left eyelid, with a protruding mass extending out of the orbit. A punch skin biopsy of the largest ulceration revealed basal cell carcinoma, infiltrative subtype, with areas of bone invasion. Given the difficult clinical scenario, the complex anatomical location, and the potential morbidity associated with surgery, the patient was deemed suitable for radiotherapy after a thorough evaluation. The patient showed good tolerance to treatment, with mild radiodermatitis managed topically, and achieved a satisfactory therapeutic response. Clinical and radiological evaluations demonstrated substantial regression in lesion size, no significant toxicities, and preservation of vision in the left eye. This case highlights the successful use of palliative radiotherapy in a patient with recurrent giant basal cell carcinoma of the upper face with orbital invasion, achieving eyesight preservation when surgery or systemic therapy were not viable options. Radiotherapy is emerging as a valuable treatment option for recurrent basal cell carcinoma in challenging anatomical locations. However, careful monitoring and rigorous treatment planning are essential forachieving favourable outcomes while minimizing side effects.

摘要

本病例讨论了一位85岁的患者,该患者有白内障病史,导致右眼严重视力受损,曾因右颞部基底细胞癌(BCC)及其局部复发接受多次手术(2010年进行广泛局部切除;2017年再次切除并进行皮肤移植重建),此次出现皮肤肿瘤进行性生长和扩展。检查时,观察到一个不规则的红斑性斑块,表面有多处溃疡(左颞部最大尺寸为4×3厘米)。病变从一侧颞部延伸至另一侧,越过前额,沿着手术皮肤移植边缘,侵犯左上眼睑,有一个突出的肿块延伸出眼眶。对最大溃疡处进行皮肤穿刺活检显示为浸润性基底细胞癌亚型,伴有骨侵犯区域。鉴于临床情况复杂、解剖位置特殊以及手术可能带来的并发症,经全面评估后,该患者被认为适合接受放疗。患者对治疗耐受性良好,局部处理了轻度放射性皮炎,获得了满意的治疗效果。临床和影像学评估显示病变大小显著缩小,无明显毒性反应,左眼视力得以保留。本病例突出了姑息性放疗在一名复发性巨大面部基底细胞癌伴眼眶侵犯患者中的成功应用,在手术或全身治疗不可行的情况下实现了视力保留。放疗正逐渐成为在具有挑战性的解剖位置复发性基底细胞癌的一种有价值的治疗选择。然而,仔细监测和严格的治疗计划对于在最小化副作用的同时取得良好疗效至关重要。

https://cdn.ncbi.nlm.nih.gov/pmc/blobs/fb86/11839891/379450a51a62/cureus-0017-00000077743-i01.jpg

文献AI研究员

20分钟写一篇综述,助力文献阅读效率提升50倍。

立即体验

用中文搜PubMed

大模型驱动的PubMed中文搜索引擎

马上搜索

文档翻译

学术文献翻译模型,支持多种主流文档格式。

立即体验