Suppr超能文献

维奈托克联合CyBorD诱导疗法及维奈托克维持治疗伴t(11;14)易位的免疫球蛋白轻链淀粉样变性

Venetoclax Plus CyBorD Induction Therapy and Venetoclax Maintenance Treatment for Immunoglobulin Light Chain Amyloidosis with t(11;14) Translocation.

作者信息

Garami Gréta, Obajed Al-Ali Omar, Virga István, Gulyás Anita, Bedekovics Judit, Tornai István, Illés Árpád, Magyari Ferenc

机构信息

Division of Hematology, Department of Internal Medicine, Faculty of Medicine, University of Debrecen, 4032 Debrecen, Hungary.

Doctoral School of Clinical Medicine, University of Debrecen, 4032 Debrecen, Hungary.

出版信息

Curr Oncol. 2025 Jan 26;32(2):63. doi: 10.3390/curroncol32020063.

Abstract

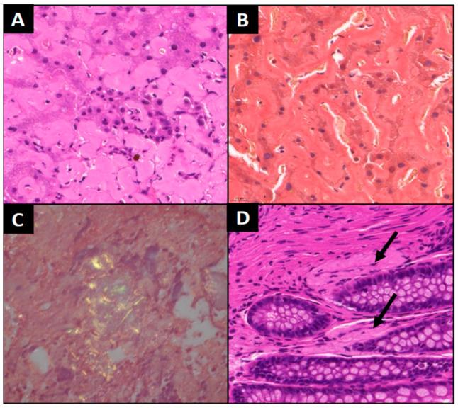
: A total of 50% of patients with AL amyloidosis have t(11;14) translocation, allowing us to use the selective oral BCL-2 inhibitor venetoclax in their treatment. : Our patient was admitted to the gastroenterology department due to weight loss and abdominal pain. An abdominal CT scan revealed some enlarged lymph nodes; therefore, he was referred to the hematology department. A bone marrow biopsy showed massive amorphous amyloid deposition. The sample was positive on Congo red staining and exhibited double refraction under a polarized light microscope. Serum-free light chains and the difference between involved and uninvolved free light chains (dFLCs) were elevated. Using fluorescent in situ hybridization, we detected t(11;14) translocation. Further examinations confirmed the involvement of the liver, colon and heart. Stage II AL amyloidosis was confirmed. Our patient received combined induction therapy with CyBorD and venetoclax due to the presence of the t(11;14) translocation. After six cycles, the patient achieved complete remission. Autologous stem cell transplantation (ASCT) was performed. At 100 days post-ASCT, the patient had complete hematologic remission. Venetoclax maintenance treatment was initiated. The follow-up examinations showed that the patient is in very good partial remission. : In the case of our AL amyloidosis patient with t(11;14) translocation, the combined treatment with CyBorD and venetoclax was well tolerated and effective.

摘要

50%的AL淀粉样变性患者存在t(11;14)易位,这使我们能够使用选择性口服BCL-2抑制剂维奈克拉对他们进行治疗。我们的患者因体重减轻和腹痛入住胃肠病科。腹部CT扫描显示一些淋巴结肿大;因此,他被转诊至血液科。骨髓活检显示大量无定形淀粉样沉积。样本刚果红染色呈阳性,在偏振光显微镜下呈现双折射。血清游离轻链以及受累与未受累游离轻链之间的差值(dFLCs)升高。通过荧光原位杂交,我们检测到了t(11;14)易位。进一步检查证实肝脏、结肠和心脏受累。确诊为II期AL淀粉样变性。由于存在t(11;14)易位,我们的患者接受了CyBorD和维奈克拉的联合诱导治疗。六个周期后,患者实现完全缓解。进行了自体干细胞移植(ASCT)。ASCT后100天,患者实现完全血液学缓解。开始维奈克拉维持治疗。随访检查显示患者处于非常好的部分缓解状态。对于我们这位存在t(11;14)易位的AL淀粉样变性患者,CyBorD和维奈克拉的联合治疗耐受性良好且有效。

https://cdn.ncbi.nlm.nih.gov/pmc/blobs/6488/11854812/5bd2c695fcb6/curroncol-32-00063-g001.jpg

文献AI研究员

20分钟写一篇综述,助力文献阅读效率提升50倍。

立即体验

用中文搜PubMed

大模型驱动的PubMed中文搜索引擎

马上搜索

文档翻译

学术文献翻译模型,支持多种主流文档格式。

立即体验