Suppr超能文献

脊髓梗死:一种罕见卒中亚型的临床及神经放射学线索

Spinal Cord Infarction: Clinical and Neuroradiological Clues of a Rare Stroke Subtype.

作者信息

Zedde Marialuisa, De Falco Arturo, Zanferrari Carla, Guarino Maria, Pezzella Francesca Romana, Haggiag Shalom, Cossu Gianni, Quatrale Rocco, Micieli Giuseppe, Del Sette Massimo, Pascarella Rosario

机构信息

Neurology Unit, Stroke Unit, Azienda Unità Sanitaria Locale-IRCCS di Reggio Emilia, Viale Risorgimento 80, 42123 Reggio Emilia, Italy.

Associazione Neurologia di Emergenza Urgenza (ANEU), 53100 Siena, Italy.

出版信息

J Clin Med. 2025 Feb 15;14(4):1293. doi: 10.3390/jcm14041293.

Abstract

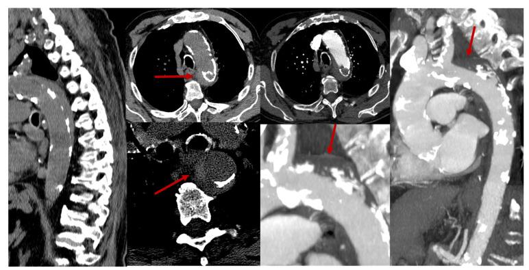
Spinal cord infarction (SCI) of arterial origin is a rare vascular event, and its incidence is probably underestimated. There are no strong epidemiological data, and the diagnostic pathway is complex and sometimes incomplete. Furthermore, many cases may be misdiagnosed as other forms of acute and subacute myelopathies. The focus of this review is the clinical and neuroradiological issues in diagnosing SCI and their respective reliability in a clinical setting. The new proposed diagnostic criteria of SCI, although not covering all aspects, highlight the need for a comprehensive approach, including even atypical cases, as the lack of cord compression on Magnetic Resonance Imaging (MRI) is the only mandatory feature for diagnosis. Some MRI features are supportive of the diagnosis, particularly when the anterior spinal artery territory is involved and diffusion-weighted imaging (DWI) is used. Several etiologies can be considered, considering traditional vascular risk factors and diseases affecting the aorta and its main branches, yet a significant proportion of cases remain without a definite etiology. The strongest predictor of SCI diagnosis is a clinical variable, i.e., a time to nadir of severe deficits < 12 h.

摘要

动脉源性脊髓梗死(SCI)是一种罕见的血管事件,其发病率可能被低估。目前尚无强有力的流行病学数据,且诊断路径复杂,有时并不完整。此外,许多病例可能被误诊为其他形式的急性和亚急性脊髓病。本综述的重点是诊断SCI的临床和神经放射学问题及其在临床环境中的各自可靠性。新提出的SCI诊断标准虽然未涵盖所有方面,但强调了采取综合方法的必要性,包括对非典型病例,因为磁共振成像(MRI)上无脊髓受压是诊断的唯一必要特征。一些MRI特征支持诊断,特别是当脊髓前动脉供血区受累并使用弥散加权成像(DWI)时。考虑到传统血管危险因素以及影响主动脉及其主要分支的疾病,可考虑多种病因,但仍有很大比例的病例病因不明。SCI诊断的最强预测因素是一个临床变量,即严重功能缺损最低点出现的时间<12小时。

https://cdn.ncbi.nlm.nih.gov/pmc/blobs/4838/11856212/9c7ef1485230/jcm-14-01293-g001.jpg

文献AI研究员

20分钟写一篇综述,助力文献阅读效率提升50倍。

立即体验

用中文搜PubMed

大模型驱动的PubMed中文搜索引擎

马上搜索

文档翻译

学术文献翻译模型,支持多种主流文档格式。

立即体验