Suppr超能文献

伴有动态左心室流出道梗阻的主动脉瓣狭窄:诊断与管理挑战——病例系列

Aortic Stenosis With Dynamic Left Ventricular Outflow Obstruction: Diagnostic and Management Challenges-A Case Series.

作者信息

Qian Frank, McGregor Pei-Chun, Latifi Ahmad Nawid, Aragam Jayashri

机构信息

Section of Cardiovascular Medicine, Boston Medical Center and Boston University Chobanian & Avedisian School of Medicine, Boston, Massachusetts.

Heartbeat Health, New York, New York.

出版信息

CASE (Phila). 2024 Dec 20;9(1):9-18. doi: 10.1016/j.case.2024.10.002. eCollection 2025 Jan.

Abstract

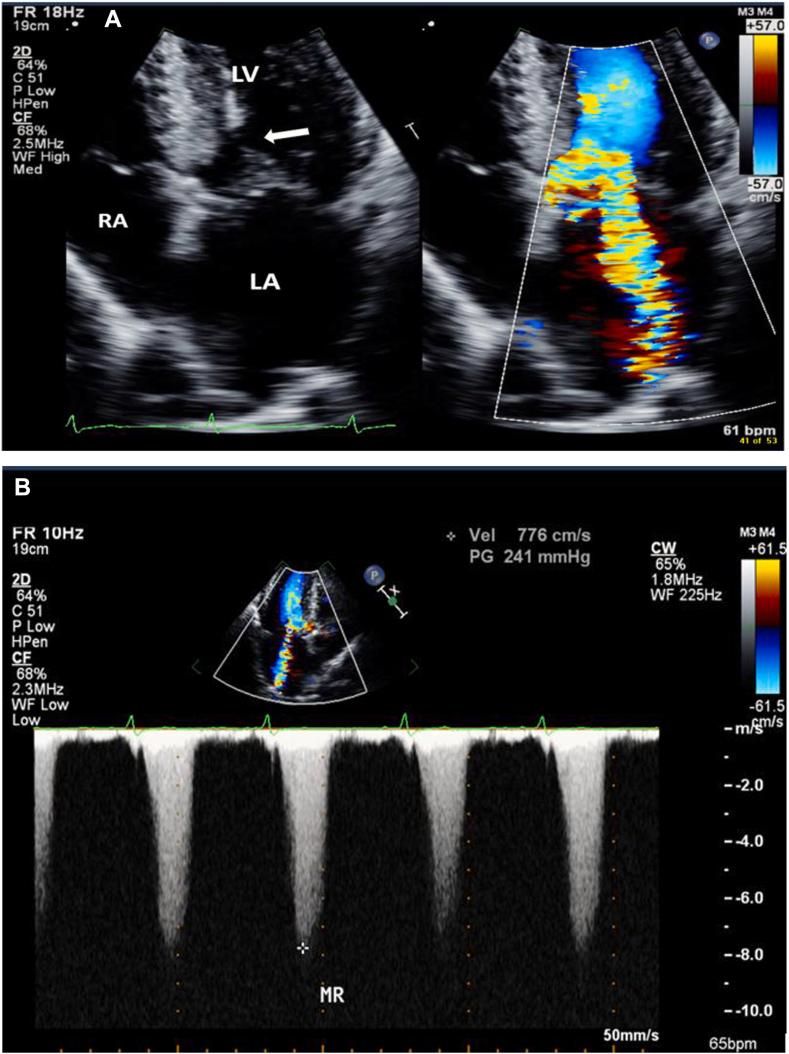
• Serial stenoses with AS and HCM can pose diagnostic challenges with echocardiography. • Doppler assessment of AS in this situation can overestimate gradients and severity. • Consider TEE and invasive hemodynamics when diagnostic uncertainty remains.

摘要

• 伴有主动脉瓣狭窄(AS)和肥厚型心肌病(HCM)的串联狭窄会给超声心动图诊断带来挑战。

• 在这种情况下,对AS进行多普勒评估可能会高估压力阶差和严重程度。

• 当仍存在诊断不确定性时,考虑经食管超声心动图(TEE)和有创血流动力学检查。

https://cdn.ncbi.nlm.nih.gov/pmc/blobs/695d/11865812/ea4c0ccc41a6/ga1.jpg

相似文献

1
Aortic Stenosis With Dynamic Left Ventricular Outflow Obstruction: Diagnostic and Management Challenges-A Case Series.
CASE (Phila). 2024 Dec 20;9(1):9-18. doi: 10.1016/j.case.2024.10.002. eCollection 2025 Jan.
2
High left ventricular outflow tract gradient: Aortic stenosis, obstructive hypertrophic cardiomyopathy or both?
Rev Port Cardiol. 2015 May;34(5):357.e1-5. doi: 10.1016/j.repc.2014.10.007. Epub 2015 Apr 29.
4
Fixed left ventricular outflow tract obstruction mimicking hypertrophic obstructive cardiomyopathy: pitfalls in diagnosis.
Echocardiography. 2016 Nov;33(11):1753-1761. doi: 10.1111/echo.13356. Epub 2016 Sep 10.
7
A case report and analysis of hypertrophic obstructive cardiomyopathy causing an illusion of aortic stenosis.
Medicine (Baltimore). 2018 Dec;97(50):e13711. doi: 10.1097/MD.0000000000013711.

引用本文的文献

1
Outcomes of Surgical Myectomy and Mitral Valve Repair for Hypertrophic Cardiomyopathy With vs Without Marked Septal Hypertrophy.
CJC Open. 2025 Apr 19;7(7):851-859. doi: 10.1016/j.cjco.2025.04.007. eCollection 2025 Jul.

本文引用的文献

1
Aortic Stenosis Associated with Hypertrophic Cardiomyopathy: A Double Trouble.
Cardiology. 2023;148(3):287-288. doi: 10.1159/000530663. Epub 2023 Apr 14.
3
Diagnosis and Evaluation of Hypertrophic Cardiomyopathy: JACC State-of-the-Art Review.
J Am Coll Cardiol. 2022 Feb 1;79(4):372-389. doi: 10.1016/j.jacc.2021.12.002.
6
Why and How to Measure Aortic Valve Calcification in Patients With Aortic Stenosis.
JACC Cardiovasc Imaging. 2019 Sep;12(9):1835-1848. doi: 10.1016/j.jcmg.2019.01.045.
7
A case of hypertrophic obstructive cardiomyopathy with aortic stenosis.
J Cardiol Cases. 2014 Jan 15;9(4):129-133. doi: 10.1016/j.jccase.2013.12.003. eCollection 2014 Apr.
10
Fool me once, fool me twice: hypertrophic cardiomyopathy with aortic stenosis.
Am J Med. 2015 Oct;128(10):1076-9. doi: 10.1016/j.amjmed.2015.05.003. Epub 2015 Jul 1.

文献AI研究员

20分钟写一篇综述,助力文献阅读效率提升50倍。

立即体验

用中文搜PubMed

大模型驱动的PubMed中文搜索引擎

马上搜索

文档翻译

学术文献翻译模型,支持多种主流文档格式。

立即体验