Bham Nida S, Schwartz Jess D
Division of Thoracic Surgery, Department of Surgery, Yale School of Medicine, New Haven, Connecticut.
Division of Surgery, Department of Surgery, Oklahoma University Health, Oklahoma City, Oklahoma.
Ann Thorac Surg Short Rep. 2024 Aug 30;3(1):167-170. doi: 10.1016/j.atssr.2024.08.009. eCollection 2025 Mar.
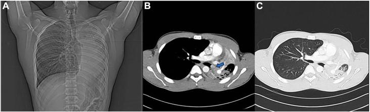
Inflammatory myoblastic tumors of the lung are rare benign lesions. Here we present the case of a 15-year-old boy with postobstructive pneumonia. Computed tomography of the chest revealed a mass in the left mainstem bronchus that was confirmed on bronchoscopy. A rigid bronchoscopy with core resection was performed. Findings on pathologic examination were consistent with an inflammatory myoblastic tumor. The initial core resection relieved his postobstructive pneumonia; however, repeat bronchoscopy a month later demonstrated recurrence of the lesion. The tumor was removed with a parenchymal-sparing sleeve resection. At 80 months of follow-up, the patient is without evidence of recurrence or stenosis.
肺炎性肌纤维母细胞瘤是罕见的良性病变。在此,我们报告一例15岁患有阻塞性肺炎的男孩。胸部计算机断层扫描显示左主支气管有一肿块,支气管镜检查证实了这一情况。进行了硬质支气管镜下的核心切除术。病理检查结果与炎性肌纤维母细胞瘤相符。最初的核心切除术缓解了他的阻塞性肺炎;然而,一个月后复查支气管镜显示病变复发。采用保留实质的袖状切除术切除了肿瘤。在80个月的随访中,患者没有复发或狭窄的迹象。