• 文献检索
  • 文档翻译
  • 深度研究
  • 学术资讯
  • Suppr Zotero 插件Zotero 插件
  • 邀请有礼
  • 套餐&价格
  • 历史记录
应用&插件
Suppr Zotero 插件Zotero 插件浏览器插件Mac 客户端Windows 客户端微信小程序
定价
高级版会员购买积分包购买API积分包
服务
文献检索文档翻译深度研究API 文档MCP 服务
关于我们
关于 Suppr公司介绍联系我们用户协议隐私条款
关注我们

Suppr 超能文献

核心技术专利:CN118964589B侵权必究
粤ICP备2023148730 号-1Suppr @ 2026

文献检索

告别复杂PubMed语法,用中文像聊天一样搜索,搜遍4000万医学文献。AI智能推荐,让科研检索更轻松。

立即免费搜索

文件翻译

保留排版,准确专业,支持PDF/Word/PPT等文件格式,支持 12+语言互译。

免费翻译文档

深度研究

AI帮你快速写综述,25分钟生成高质量综述,智能提取关键信息,辅助科研写作。

立即免费体验

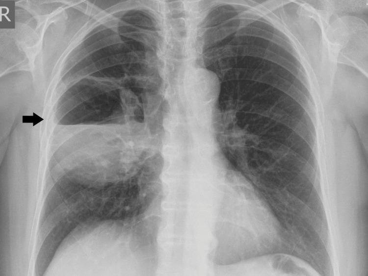
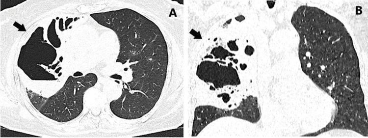
巨大坏疽性肺脓肿一例罕见病例。

A Rare Case of Giant Gangrenous Lung Abscess.

作者信息

Yankov Georgi, Alexieva Magdalena, Makshutova Zaharinka, Cherneva Radostina

机构信息

Department of Thoracic Surgery, University Hospital "St. Ivan Rilski", Medical University of Sofia, Sofia, BGR.

Department of Intensive Care, University Hospital "St. Ivan Rilski", Medical University of Sofia, Sofia, BGR.

出版信息

Cureus. 2025 Feb 16;17(2):e79090. doi: 10.7759/cureus.79090. eCollection 2025 Feb.

DOI:10.7759/cureus.79090
PMID:40104461
原文链接:https://pmc.ncbi.nlm.nih.gov/articles/PMC11917460/
Abstract

Gangrenous lung abscess (LA) is a limited form of lung gangrene. Although its frequency has decreased dramatically in recent years, it occupies an important place in clinical practice. Delaying its diagnosis or incorrect treatment leads to a risk to the patient's life. Timely diagnostics and treatment reduce morbidity and mortality rates. А 68-year-old woman who underwent a right upper bilobectomy for a gangrenous LA is presented. The case is considered in the context of the prolonged therapeutic course and the need for surgical treatment.

摘要

坏疽性肺脓肿(LA)是肺坏疽的一种局限形式。尽管近年来其发病率已大幅下降,但在临床实践中仍占有重要地位。延误诊断或治疗不当会危及患者生命。及时诊断和治疗可降低发病率和死亡率。本文介绍了一名68岁因坏疽性肺脓肿接受右上叶双肺叶切除术的女性患者。结合其漫长的治疗过程和手术治疗的必要性对该病例进行了分析。

https://cdn.ncbi.nlm.nih.gov/pmc/blobs/672b/11917460/b92c21dc9b4d/cureus-0017-00000079090-i06.jpg
https://cdn.ncbi.nlm.nih.gov/pmc/blobs/672b/11917460/07f810749ac8/cureus-0017-00000079090-i01.jpg
https://cdn.ncbi.nlm.nih.gov/pmc/blobs/672b/11917460/9ee046ecc3e6/cureus-0017-00000079090-i02.jpg
https://cdn.ncbi.nlm.nih.gov/pmc/blobs/672b/11917460/e46c5f869901/cureus-0017-00000079090-i03.jpg
https://cdn.ncbi.nlm.nih.gov/pmc/blobs/672b/11917460/6d0fbdff05fe/cureus-0017-00000079090-i04.jpg
https://cdn.ncbi.nlm.nih.gov/pmc/blobs/672b/11917460/165d4da9662e/cureus-0017-00000079090-i05.jpg
https://cdn.ncbi.nlm.nih.gov/pmc/blobs/672b/11917460/b92c21dc9b4d/cureus-0017-00000079090-i06.jpg
https://cdn.ncbi.nlm.nih.gov/pmc/blobs/672b/11917460/07f810749ac8/cureus-0017-00000079090-i01.jpg
https://cdn.ncbi.nlm.nih.gov/pmc/blobs/672b/11917460/9ee046ecc3e6/cureus-0017-00000079090-i02.jpg
https://cdn.ncbi.nlm.nih.gov/pmc/blobs/672b/11917460/e46c5f869901/cureus-0017-00000079090-i03.jpg
https://cdn.ncbi.nlm.nih.gov/pmc/blobs/672b/11917460/6d0fbdff05fe/cureus-0017-00000079090-i04.jpg
https://cdn.ncbi.nlm.nih.gov/pmc/blobs/672b/11917460/165d4da9662e/cureus-0017-00000079090-i05.jpg
https://cdn.ncbi.nlm.nih.gov/pmc/blobs/672b/11917460/b92c21dc9b4d/cureus-0017-00000079090-i06.jpg

相似文献

1
A Rare Case of Giant Gangrenous Lung Abscess.巨大坏疽性肺脓肿一例罕见病例。
Cureus. 2025 Feb 16;17(2):e79090. doi: 10.7759/cureus.79090. eCollection 2025 Feb.
2
[Thoracoabscessotomy in combined treatment of lung gangrene].[胸廓切开引流术在肺坏疽联合治疗中的应用]
Khirurgiia (Mosk). 2001(1):54-7.
3
Surgical therapy for necrotizing pneumonia and lung gangrene.坏死性肺炎和肺坏疽的外科治疗
Thorac Cardiovasc Surg. 2013 Oct;61(7):636-41. doi: 10.1055/s-0032-1311551. Epub 2012 Oct 3.
4
Postoperative Outcomes of Patients With Nonperforated Gangrenous Appendicitis: A National Multicenter Prospective Cohort Analysis.非穿孔坏疽性阑尾炎患者的术后结局:一项全国多中心前瞻性队列分析。
Dis Colon Rectum. 2019 Nov;62(11):1363-1370. doi: 10.1097/DCR.0000000000001466.
5
Fissure-first bilobectomy of a giant lung abscess combined with a squamous cell carcinoma via a minimally invasive open surgery.经微创开放手术行巨大肺脓肿合并鳞状细胞癌的先行肺裂切开的双叶切除术
Surg Case Rep. 2021 Oct 16;7(1):224. doi: 10.1186/s40792-021-01308-2.
6
CHRONIC gangrenous lung abscess, left lower lobe with surrounding fibrosis and pneumonia.慢性坏疽性肺脓肿,位于左肺下叶,伴有周围纤维化及肺炎。
Westchest Med Bull. 1948 Jun;16(6):9-11.
7
[How to diagnose gangrenous and non-gangrenous pulmonary absecess].[如何诊断坏疽性与非坏疽性肺脓肿]
Minerva Med. 1962 Aug 29;53:2506-7.
8
[Spontaneous massive gangrene of the breast; Consistent pulmonary gangrenous abscess].[乳房自发性大面积坏疽;合并肺部坏疽性脓肿]
Lyon Chir. 1946 Sep-Oct;41(5):615-7.
9
The risk of bilobectomy compared with lobectomy: a retrospective analysis of a series of matched cases and controls.双叶切除术与肺叶切除术相比的风险:一系列配对病例与对照的回顾性分析。
Eur J Cardiothorac Surg. 2014 Jul;46(1):72-5. doi: 10.1093/ejcts/ezt521. Epub 2013 Nov 15.
10
Intraabdominal abscess rate after laparoscopic appendectomy.腹腔镜阑尾切除术后腹腔内脓肿发生率
Am J Surg. 2000 Dec;180(6):456-9; discussion 460-1. doi: 10.1016/s0002-9610(00)00504-3.

本文引用的文献

1
Clinical characteristics of apical segment lung abscess: a 10-year retrospective study.肺尖段肺脓肿的临床特征:一项10年回顾性研究
J Thorac Dis. 2024 Sep 30;16(9):5650-5662. doi: 10.21037/jtd-24-624. Epub 2024 Sep 21.
2
Progression of Community-Acquired Pneumonia in a Morbidly Obese Patient With a History of Vaping and Asthma: A Multidisciplinary Approach to Management.一名有电子烟使用史和哮喘病史的病态肥胖患者社区获得性肺炎的进展:多学科管理方法
Cureus. 2024 Apr 8;16(4):e57828. doi: 10.7759/cureus.57828. eCollection 2024 Apr.
3
Efficacy and safety of percutaneous tube drainage in lung abscess: a systematic review and meta-analysis.
经皮置管引流治疗肺脓肿的疗效和安全性:系统评价和荟萃分析。
Expert Rev Respir Med. 2020 Sep;14(9):949-956. doi: 10.1080/17476348.2020.1770086. Epub 2020 May 29.
4
Percutaneous lung abscess drainage: revisiting the old gold standard.经皮肺脓肿引流术:重温旧的金标准。
Monaldi Arch Chest Dis. 2020 Mar 6;90(1). doi: 10.4081/monaldi.2020.1214.
5
Predictors of Outcome in Modern Surgery for Lung Abscess.现代肺脓肿手术预后的预测因素
Thorac Cardiovasc Surg. 2017 Oct;65(7):535-541. doi: 10.1055/s-0037-1598113. Epub 2017 Mar 1.
6
Lung abscess-etiology, diagnostic and treatment options.肺脓肿的病因、诊断和治疗选择。
Ann Transl Med. 2015 Aug;3(13):183. doi: 10.3978/j.issn.2305-5839.2015.07.08.
7
[Lung abscess and necrotizing pneumonia: chest tube insertion or surgery?].[肺脓肿与坏死性肺炎:置入胸管还是手术?]
Rev Pneumol Clin. 2012 Apr;68(2):84-90. doi: 10.1016/j.pneumo.2012.01.004. Epub 2012 Feb 22.
8
CT-guided percutaneous drainage of lung abscesses: review of 40 cases.CT引导下经皮肺脓肿引流术:40例病例回顾
JBR-BTR. 2011 Jul-Aug;94(4):191-5. doi: 10.5334/jbr-btr.583.
9
Lung abscess predicts the surgical outcome in patients with pleural empyema.肺脓肿可预测胸膜脓胸患者的手术结局。
J Cardiothorac Surg. 2010 Oct 20;5:88. doi: 10.1186/1749-8090-5-88.
10
Surgical management of acute necrotizing lung infections.急性坏死性肺部感染的外科治疗
Can Respir J. 2006 Oct;13(7):369-73. doi: 10.1155/2006/760390.