Suppr超能文献

肺脓肿可预测胸膜脓胸患者的手术结局。

Lung abscess predicts the surgical outcome in patients with pleural empyema.

作者信息

Huang Hung-Che, Chen Heng-Chung, Fang Hsin-Yuan, Lin Yi-Chieh, Wu Chin-Yen, Cheng Ching-Yuan

机构信息

Department of Surgery, Changhua Christian Hospital, 135 Nanshiao Street, Changhua, 500, Taiwan.

出版信息

J Cardiothorac Surg. 2010 Oct 20;5:88. doi: 10.1186/1749-8090-5-88.

Abstract

OBJECTIVES

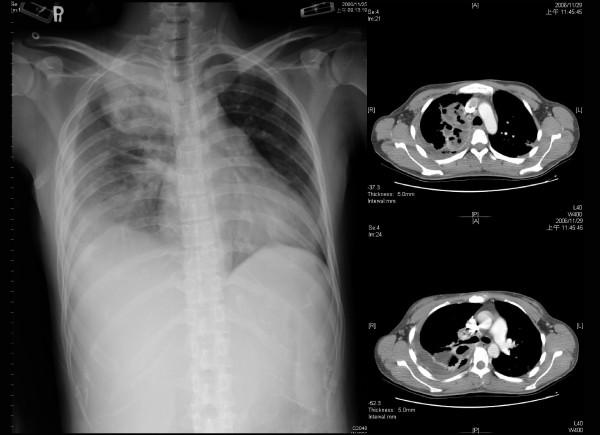
Most cases of pleural empyema are caused by pulmonary infections, which are usually combined with pneumonia or lung abscess. The mortality of patients with pleural empyema remains high (up to 20%). It also contributes to higher hospital costs and longer hospital stays. We studied pleural empyema with combined lung abscess to determine if abscess was associated with mortality.

METHODS

From January 2004 to December 2006, we retrospectively reviewed 259 patients diagnosed with pleural empyema who received thoracscopic decortications of the pleura in a single medical center. We evaluated their clinical data and analyzed their chest computed tomography scans. Outcomes of pleural empyema were compared between groups with and without lung abscess.

RESULTS

Twenty-two pleural empyema patients had lung abscesses. Clinical data showed significantly higher incidences in the lung abscess group of pre-operative leukocytosis, need for an intensive care unit stay and mortality.

CONCLUSION

Patients with pleural empyema and lung abscess have higher intensive care unit admission rate, higher mortality during 30 days and overall mortality than patients with pleural empyema. The odds ratio of lung abscess is 4.685. Physician shall pay more attention on high risk patient of lung abscess for early detection and management.

摘要

目的

大多数脓胸病例由肺部感染引起,通常合并肺炎或肺脓肿。脓胸患者的死亡率仍然很高(高达20%)。它还导致更高的医院费用和更长的住院时间。我们研究了合并肺脓肿的脓胸,以确定脓肿是否与死亡率相关。

方法

2004年1月至2006年12月,我们回顾性分析了在单一医疗中心接受胸腔镜胸膜剥脱术的259例诊断为脓胸的患者。我们评估了他们的临床资料并分析了胸部计算机断层扫描。比较有和没有肺脓肿的脓胸患者的预后。

结果

22例脓胸患者合并肺脓肿。临床资料显示,肺脓肿组术前白细胞增多、入住重症监护病房的需求和死亡率的发生率显著更高。

结论

与单纯脓胸患者相比,合并肺脓肿的脓胸患者入住重症监护病房的比例更高,30天内死亡率和总体死亡率更高。肺脓肿的优势比为4.685。医生应更加关注肺脓肿高危患者,以便早期发现和处理。

https://cdn.ncbi.nlm.nih.gov/pmc/blobs/ecdd/2976737/c5858342f1e3/1749-8090-5-88-1.jpg

文献AI研究员

20分钟写一篇综述,助力文献阅读效率提升50倍。

立即体验

用中文搜PubMed

大模型驱动的PubMed中文搜索引擎

马上搜索

文档翻译

学术文献翻译模型,支持多种主流文档格式。

立即体验