Suppr超能文献

弗吉尼亚圈养灰棕蝠(Lasiurus cinereus)面部腺体分泌物的化学成分

Chemical Composition of Secretions from Facial Glands of Captive Hoary Bat (Lasiurus cinereus) in Virginia.

作者信息

Stefaniak Kristina R, Kellogg Lark, Close Matthew T, Powers Karen E

机构信息

Chemistry Department, Radford University, Radford, VA, 24142, USA.

Southwest Virginia Wildlife Center of Roanoke, Roanoke, VA, 24018, USA.

出版信息

J Chem Ecol. 2025 Mar 20;51(2):42. doi: 10.1007/s10886-025-01593-3.

Abstract

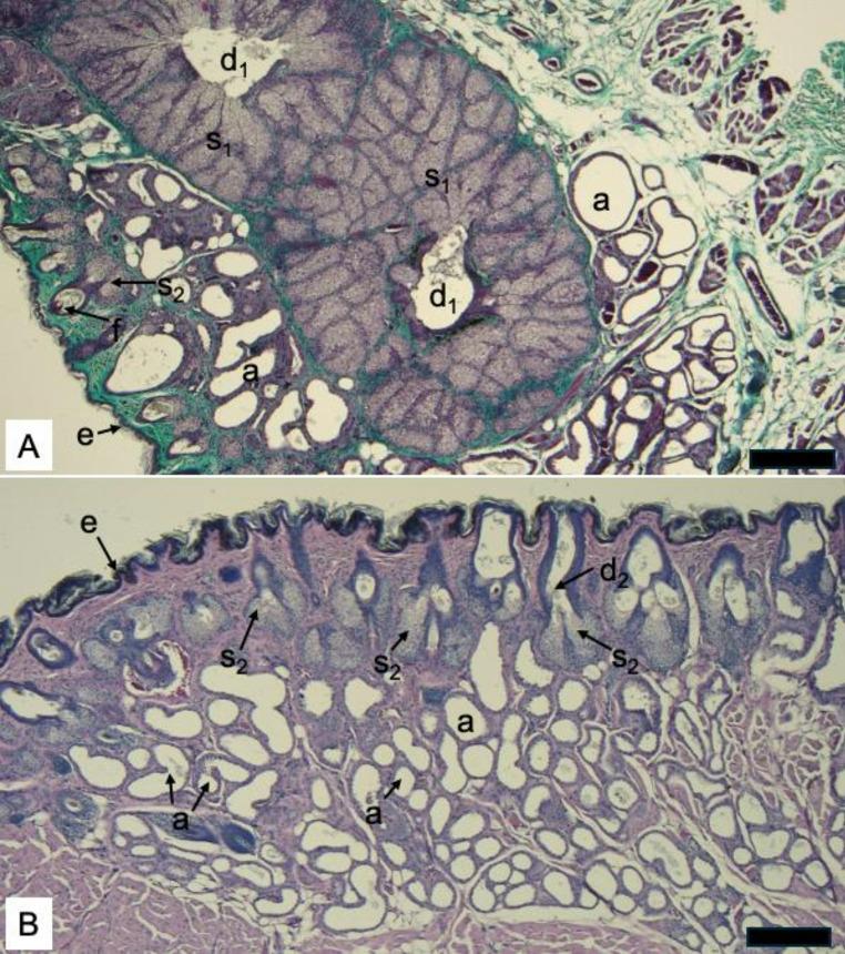
Our study represents the first known report of hoary bat (Lasiurus cinereus) facial gland histology and chemical characterization of facial gland secretions. While in captivity from October 2023 to February 2024, facial secretions of a male hoary bat were observed and collected. Gas chromatography-mass spectrometry (GC-MS) analysis of a methanol extraction of November 2023 samples identified 23 compounds after comparing retention times, mass spectra, and Kovats retention index. These compounds consisted of alkanes, alcohols, ketones, terpenoids, monoacylglycerols, and androgens. Of interest was the identification of five androstane derivatives, testosterone metabolites, that have not been seen previously in mammal secretions and indicate possible mating readiness. The chemical analyses from November swabs and histological examination of facial skin in February suggest that this male was actively secreting mate-signaling compounds throughout late fall and winter months. Anecdotal mating records on wintering grounds combined with this bat's warm captive environment likely allowed for this extended mating readiness for his many months at the wildlife center.

摘要

我们的研究是关于霜蝠(Lasiurus cinereus)面部腺体组织学及面部腺体分泌物化学特征的已知首例报告。在2023年10月至2024年2月的圈养期间,对一只雄性霜蝠的面部分泌物进行了观察和收集。通过气相色谱 - 质谱联用(GC - MS)对2023年11月样本的甲醇提取物进行分析,在比较保留时间、质谱和科瓦茨保留指数后,鉴定出了23种化合物。这些化合物包括烷烃、醇类、酮类、萜类、单酰甘油和雄激素。有趣的是,鉴定出了五种雄甾烷衍生物,即睾酮代谢物,这些在哺乳动物分泌物中此前未见,表明可能处于交配准备状态。11月拭子的化学分析和2月面部皮肤的组织学检查表明,这只雄性霜蝠在整个深秋和冬季都在积极分泌用于吸引配偶的化合物。越冬地的传闻交配记录,再加上这只蝙蝠在圈养环境中的温暖条件,可能使得它在野生动物中心的数月里一直处于这种延长的交配准备状态。

https://cdn.ncbi.nlm.nih.gov/pmc/blobs/4144/11923032/0a619cbd408f/10886_2025_1593_Fig1_HTML.jpg

文献检索

告别复杂PubMed语法,用中文像聊天一样搜索,搜遍4000万医学文献。AI智能推荐,让科研检索更轻松。

立即免费搜索

文件翻译

保留排版,准确专业,支持PDF/Word/PPT等文件格式,支持 12+语言互译。

免费翻译文档

深度研究

AI帮你快速写综述,25分钟生成高质量综述,智能提取关键信息,辅助科研写作。

立即免费体验