Suppr超能文献

脂肪栓塞综合征的非典型表现:一例报告。

Atypical presentation of fat embolism syndrome: A case report.

作者信息

Shin Seok Woo, Goncalves Barbara Soares, Seabra Leonardo Magnani, Coelho Henriquy Aguiar, Sansoni Talita Magalhaes, Calderan Thiago Rodrigues Araujo, Pinto Vania Graner Silva, Hirano Elcio Shiyoiti, Carmona Cesar Vanderlei

机构信息

Department of Intensive Care Medicine, State University of Campinas (UNICAMP), Campinas, Brazil.

Department of General Surgery, State University of Campinas (UNICAMP), Campinas, Brazil.

出版信息

Trauma Case Rep. 2025 Feb 27;56:101150. doi: 10.1016/j.tcr.2025.101150. eCollection 2025 Apr.

Abstract

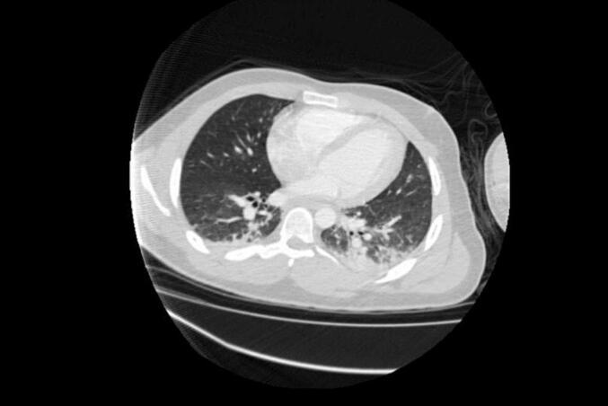
We present a case report of fat embolism syndrome in the Trauma Intensive Care Unit with an atypical presentation. A 21-year-old male patient was admitted with multiple fractures after a motorcycle accident. Shortly after the debridement of the open fracture and external fixation of the bones, the patient presented with hypoxemia, tachypnea, fever, and tachycardia. There were no neurologic abnormalities and no petechial rash. Supportive care, including mechanical ventilation, was required. Initial chest angiotomography did not detect pulmonary thromboembolism. There were discrete bilateral consolidations in the lung bases - no bacterial or viral infection findings, including a negative COVID-19 test. Computed tomography was repeated after 5 days, evidenced by bilateral well-demarcated ground glass opacities. Our case presented an atypical presentation of fat embolism syndrome, without classical signs and symptoms, such as neurologic abnormalities and petechial rash. In this context, other differential diagnoses were considered, since the clinical manifestations of fat embolism are non-specific, and often are seen in other post-traumatic conditions. This case highlights the diagnostic challenges of fat embolism syndrome in the Intensive Care Unit. Atypical presentation must be taken into consideration when treating high-risk patients.

摘要

我们报告一例创伤重症监护病房中出现非典型表现的脂肪栓塞综合征病例。一名21岁男性患者在摩托车事故后因多处骨折入院。在对开放性骨折进行清创和骨骼外固定后不久,患者出现低氧血症、呼吸急促、发热和心动过速。未发现神经功能异常,也没有瘀点皮疹。需要进行包括机械通气在内的支持性治疗。最初的胸部血管造影未检测到肺血栓栓塞。肺底部有散在的双侧实变——未发现细菌或病毒感染迹象,包括新冠病毒检测呈阴性。5天后重复进行计算机断层扫描,显示双侧有界限清晰的磨玻璃影。我们的病例呈现出脂肪栓塞综合征的非典型表现,没有神经功能异常和瘀点皮疹等典型症状和体征。在此情况下,由于脂肪栓塞的临床表现不具特异性,且常在其他创伤后情况中出现,因此考虑了其他鉴别诊断。该病例凸显了重症监护病房中脂肪栓塞综合征的诊断挑战。在治疗高危患者时必须考虑非典型表现。

https://cdn.ncbi.nlm.nih.gov/pmc/blobs/171f/11929001/dd5d5447bf61/gr1.jpg

文献检索

告别复杂PubMed语法,用中文像聊天一样搜索,搜遍4000万医学文献。AI智能推荐,让科研检索更轻松。

立即免费搜索

文件翻译

保留排版,准确专业,支持PDF/Word/PPT等文件格式,支持 12+语言互译。

免费翻译文档

深度研究

AI帮你快速写综述,25分钟生成高质量综述,智能提取关键信息,辅助科研写作。

立即免费体验