Suppr超能文献

罕见病例报告:伴有FUS-CREB3L1基因融合的硬化性上皮样纤维肉瘤

Rare case report: sclerosing epithelioid fibrosarcoma with FUS-CREB3L1 gene fusion.

作者信息

Wang Tingting, Xu Haimin, Li Chuanying

机构信息

Department of Pathology, Lu'an hospital of Anhui Medical University, Anhui, China.

Department of Pathology, Ruijin Hospital, Shanghai Jiaotong University School of Medicine, Shanghai, China.

出版信息

Front Oncol. 2025 Mar 12;15:1491398. doi: 10.3389/fonc.2025.1491398. eCollection 2025.

Abstract

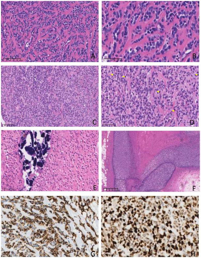
Sclerosing epithelioid fibrosarcoma (SEF) is a rare soft tissue malignancy frequently misdiagnosed due to its overlapping immunohistochemical and molecular features with low-grade fibromyxoid sarcoma (LGFMS). We present the case of a 60-year-old male who initially presented with a mass in the left thigh four years ago, which significantly increased in size over the past year. MRI of the femur revealed a large, well-circumscribed mass in the mid and lower left thigh. Surgical excision of the tumor and associated thrombus in the ipsilateral blood vessel was performed. Histomorphological analysis confirmed a pure SEF with no myxoid stroma, aiding in its differentiation from LGFMS. Immunohistochemical staining revealed diffuse and strong MUC4 positivity, while next-generation sequencing (NGS) demonstrated molecular characteristics consistent with LGFMS, specifically FUS-CREB3L1 gene fusion. This case underscores the asynchrony between the pathological morphology and molecular features of soft tissue tumors during their development and differentiation. Although histologically low-grade, SEF typically exhibits a high rate of local recurrence and distant metastasis. We diagnosed this case as SEF and recommended an aggressive clinical treatment regimen. This report aims to raise awareness of the diagnostic challenges associated with SEF and LGFMS.

摘要

硬化性上皮样纤维肉瘤(SEF)是一种罕见的软组织恶性肿瘤,因其免疫组化和分子特征与低度纤维黏液样肉瘤(LGFMS)重叠,常被误诊。我们报告一例60岁男性病例,该患者四年前最初表现为左大腿肿块,在过去一年中肿块大小显著增加。股骨MRI显示左大腿中下部有一个大的、边界清晰的肿块。对肿瘤及同侧血管内的相关血栓进行了手术切除。组织形态学分析证实为无黏液样基质的纯SEF,有助于其与LGFMS鉴别。免疫组化染色显示弥漫性强MUC4阳性,而二代测序(NGS)显示出与LGFMS一致的分子特征,特别是FUS-CREB3L1基因融合。该病例强调了软组织肿瘤在发生发展和分化过程中病理形态与分子特征之间的不同步性。尽管组织学分级为低度,但SEF通常具有较高的局部复发率和远处转移率。我们将该病例诊断为SEF,并推荐积极的临床治疗方案。本报告旨在提高对与SEF和LGFMS相关诊断挑战的认识。

https://cdn.ncbi.nlm.nih.gov/pmc/blobs/42d6/11936928/07b971a7c1cb/fonc-15-1491398-g001.jpg

文献检索

告别复杂PubMed语法,用中文像聊天一样搜索,搜遍4000万医学文献。AI智能推荐,让科研检索更轻松。

立即免费搜索

文件翻译

保留排版,准确专业,支持PDF/Word/PPT等文件格式,支持 12+语言互译。

免费翻译文档

深度研究

AI帮你快速写综述,25分钟生成高质量综述,智能提取关键信息,辅助科研写作。

立即免费体验