• 文献检索
  • 文档翻译
  • 深度研究
  • 学术资讯
  • Suppr Zotero 插件Zotero 插件
  • 邀请有礼
  • 套餐&价格
  • 历史记录
应用&插件
Suppr Zotero 插件Zotero 插件浏览器插件Mac 客户端Windows 客户端微信小程序
定价
高级版会员购买积分包购买API积分包
服务
文献检索文档翻译深度研究API 文档MCP 服务
关于我们
关于 Suppr公司介绍联系我们用户协议隐私条款
关注我们

Suppr 超能文献

核心技术专利:CN118964589B侵权必究
粤ICP备2023148730 号-1Suppr @ 2026

文献检索

告别复杂PubMed语法,用中文像聊天一样搜索,搜遍4000万医学文献。AI智能推荐,让科研检索更轻松。

立即免费搜索

文件翻译

保留排版,准确专业,支持PDF/Word/PPT等文件格式,支持 12+语言互译。

免费翻译文档

深度研究

AI帮你快速写综述,25分钟生成高质量综述,智能提取关键信息,辅助科研写作。

立即免费体验

人类随时间推移对杜拉根胶原基质的组织病理学分析。

Histopathological analysis of duragen collagen matrix over time in humans.

作者信息

Maeda Takuma, Suzuki Kaima, Nisson Peyton L, Mochizuki Yoshiki, Mizuno Reina, Teranishi Akio, Take Yushiro, Kayahara Tomomichi, Kurita Hiroki

机构信息

Department of Cerebrovascular Surgery, Saitama Medical University International Medical Center, Hidaka, Saitama, Japan.

Barrow Aneurysm and AVM Research Center, Barrow Neurological Institute, Phoenix, AZ, USA.

出版信息

Sci Rep. 2025 Apr 1;15(1):11119. doi: 10.1038/s41598-025-95489-7.

DOI:10.1038/s41598-025-95489-7
PMID:40169712
原文链接:https://pmc.ncbi.nlm.nih.gov/articles/PMC11962100/
Abstract

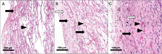
DuraGen is a widely used type I collagen matrix derived from bovine Achilles tendon that promotes fibroblast ingrowth and neovascularization. However, it remains unknown the time required for dura regeneration and reabsorption of the graft. We evaluate the histopathological characteristics of implanted DuraGen in humans across multiple time points. Patients who underwent a decompressive craniectomy and duraplasty with DuraGen at our institution between January 2020 and September 2021 were prospectively enrolled. At the time of the subsequent surgery, including cranioplasty, DuraGen and associated tissues removed from patients were sent for histopathological analysis. For each patient, time from index surgery to subsequent surgery was categorized into three groups: early (0-20 days), intermediate (21-30 days), and late (> 30 days). Baseline characteristics, primary disease, operative time, complication rate, and histopathological findings were compared between groups. A total of 28 patients were enrolled in the study. Seven specimens (25.0%) were collected within 20 days after craniectomy, 9 specimens (35.7%) between 21 and 30 days, and 12 specimens (39.3%) over 31 days. Histopathologically, implanted collagen matrix, erythrocyte infiltration, and fibrin layer decreased over time, whereas fibroblasts and endogenous collagen increased. Receiver operating characteristic analysis showed that the cut-off time post-implantation for presence of endogenous collagen was 34 days after DuraGen implantation (area under the curve = 0.810). We found that DuraGen was replaced by fibroblast-derived endogenous collagen as early as 34 days post-implantation. Although certain findings remain to be further validated, the present study substantiates DuraGen as a reliable substitute, with findings derived from clinical outcomes and histopathological changes.

摘要

DuraGen是一种广泛使用的I型胶原蛋白基质,源自牛跟腱,可促进成纤维细胞向内生长和新血管形成。然而,硬脑膜再生和移植物再吸收所需的时间仍不清楚。我们在多个时间点评估了人类植入DuraGen后的组织病理学特征。前瞻性纳入了2020年1月至2021年9月期间在我们机构接受减压颅骨切除术并用DuraGen进行硬脑膜成形术的患者。在随后的手术(包括颅骨成形术)时,将从患者身上取出的DuraGen及相关组织送去进行组织病理学分析。对于每位患者,从初次手术到后续手术的时间分为三组:早期(0 - 20天)、中期(21 - 30天)和晚期(> 30天)。比较了各组之间的基线特征、原发性疾病、手术时间、并发症发生率和组织病理学结果。共有28名患者纳入该研究。7个标本(25.0%)在颅骨切除术后20天内收集,9个标本(35.7%)在21至30天之间收集,12个标本(39.3%)在31天以上收集。组织病理学上,植入的胶原蛋白基质、红细胞浸润和纤维蛋白层随时间减少,而成纤维细胞和内源性胶原蛋白增加。受试者工作特征分析表明,植入后内源性胶原蛋白出现的截止时间为DuraGen植入后34天(曲线下面积 = 0.810)。我们发现,早在植入后34天,DuraGen就被成纤维细胞衍生的内源性胶原蛋白所替代。尽管某些发现仍有待进一步验证,但本研究证实DuraGen是一种可靠的替代品,其发现来自临床结果和组织病理学变化。

https://cdn.ncbi.nlm.nih.gov/pmc/blobs/c191/11962100/91af619e5f5b/41598_2025_95489_Fig4_HTML.jpg
https://cdn.ncbi.nlm.nih.gov/pmc/blobs/c191/11962100/384b7e140f46/41598_2025_95489_Fig1_HTML.jpg
https://cdn.ncbi.nlm.nih.gov/pmc/blobs/c191/11962100/115fedc52b6d/41598_2025_95489_Fig2_HTML.jpg
https://cdn.ncbi.nlm.nih.gov/pmc/blobs/c191/11962100/25fc19df272d/41598_2025_95489_Fig3_HTML.jpg
https://cdn.ncbi.nlm.nih.gov/pmc/blobs/c191/11962100/91af619e5f5b/41598_2025_95489_Fig4_HTML.jpg
https://cdn.ncbi.nlm.nih.gov/pmc/blobs/c191/11962100/384b7e140f46/41598_2025_95489_Fig1_HTML.jpg
https://cdn.ncbi.nlm.nih.gov/pmc/blobs/c191/11962100/115fedc52b6d/41598_2025_95489_Fig2_HTML.jpg
https://cdn.ncbi.nlm.nih.gov/pmc/blobs/c191/11962100/25fc19df272d/41598_2025_95489_Fig3_HTML.jpg
https://cdn.ncbi.nlm.nih.gov/pmc/blobs/c191/11962100/91af619e5f5b/41598_2025_95489_Fig4_HTML.jpg

相似文献

1
Histopathological analysis of duragen collagen matrix over time in humans.人类随时间推移对杜拉根胶原基质的组织病理学分析。
Sci Rep. 2025 Apr 1;15(1):11119. doi: 10.1038/s41598-025-95489-7.
2
Experience with acellular human dura and bovine collagen matrix for duraplasty after posterior fossa decompression for Chiari malformations.在Chiari畸形后颅窝减压术后使用脱细胞人硬脑膜和牛胶原基质进行硬脑膜成形术的经验。
J Neurosurg. 2006 Jan;104(1 Suppl):16-20. doi: 10.3171/ped.2006.104.1.16.
3
Histological analysis of DuraGen in a human subject: case report.人类受试者中DuraGen的组织学分析:病例报告
Clin Neuropathol. 2008 Sep-Oct;27(5):361-4. doi: 10.5414/npp27361.
4
Analysis of Decompressive Craniectomies with Subsequent Cranioplasties in the Presence of Collagen Matrix Dural Substitute and Polytetrafluoroethylene as an Adhesion Preventative Material.在使用胶原基质硬脑膜替代物和聚四氟乙烯作为防粘连材料的情况下,对减压性颅骨切除术及后续颅骨成形术的分析。
World Neurosurg. 2016 Feb;86:153-60. doi: 10.1016/j.wneu.2015.09.078. Epub 2015 Dec 22.
5
Waterjet dissection in pediatric cranioplasty.小儿颅骨成形术中的水刀分离术
J Neurosurg Pediatr. 2010 Mar;5(3):243-9. doi: 10.3171/2009.10.PEDS09308.
6
Extensive Foreign Body Reaction to Synthetic Dural Replacement After Decompressive Craniectomy with Radiological and Histopathology Evidence: Observational Case Series.减压性颅骨切除术后对合成硬脑膜替代物的广泛异物反应:影像学和组织病理学证据的观察性病例系列
World Neurosurg. 2023 Apr;172:e585-e592. doi: 10.1016/j.wneu.2023.01.089. Epub 2023 Feb 7.
7
Meningioma Cell Invasion into DuraGen-Derived Dura Mater: A Case Report.脑膜瘤细胞侵入DuraGen衍生的硬脑膜:一例报告
Medicines (Basel). 2022 Apr 11;9(4):30. doi: 10.3390/medicines9040030.
8
Epidural Bovine Pericardium Facilitates Dissection During Cranioplasty: A Technical Note.硬膜外牛心包膜在颅骨成形术中便于解剖:技术说明
World Neurosurg. 2015 Dec;84(6):2059-63. doi: 10.1016/j.wneu.2015.08.009. Epub 2015 Aug 14.
9
[Technical "Tips" for Epidural Tenting Using DuraGen for Surgical Management of Large Dural Defects:A Technical Note].[使用DuraGen硬膜外帐篷技术治疗大型硬膜缺损的手术管理:技术说明]
No Shinkei Geka. 2020 Oct;48(10):903-907. doi: 10.11477/mf.1436204294.
10
Repair of the dura mater with processed collagen devices.使用经处理的胶原蛋白装置修复硬脑膜。
J Biomed Mater Res B Appl Biomater. 2007 Nov;83(2):580-8. doi: 10.1002/jbm.b.30831.

本文引用的文献

1
Early versus delayed cranioplasty after decompressive craniectomy in traumatic brain injury: a multicenter observational study within CENTER-TBI and Net-QuRe.创伤性脑损伤去骨瓣减压术后早期与延迟颅骨修补术的比较:CENTER-TBI 和 Net-QuRe 多中心观察性研究。
J Neurosurg. 2024 Apr 26;141(4):895-907. doi: 10.3171/2024.1.JNS232172. Print 2024 Oct 1.
2
Extensive Foreign Body Reaction to Synthetic Dural Replacement After Decompressive Craniectomy with Radiological and Histopathology Evidence: Observational Case Series.减压性颅骨切除术后对合成硬脑膜替代物的广泛异物反应:影像学和组织病理学证据的观察性病例系列
World Neurosurg. 2023 Apr;172:e585-e592. doi: 10.1016/j.wneu.2023.01.089. Epub 2023 Feb 7.
3
Modified Shoelace Dural Closure with Collagen Matrix in Extended Transsphenoidal Surgery.
改良鞋带式硬脑膜缝合胶原基质在扩大经蝶窦手术中的应用。
Neurol Med Chir (Tokyo). 2022 Apr 15;62(4):203-208. doi: 10.2176/jns-nmc.2021-0355. Epub 2022 Mar 16.
4
Double collagen matrix grafting for dural closure in microvascular decompression: an alternative use of autologous fascial grafting.双层胶原基质移植物在微血管减压术中用于硬脑膜关闭:自体筋膜移植物的另一种用途。
Acta Neurochir (Wien). 2021 Sep;163(9):2395-2401. doi: 10.1007/s00701-021-04856-6. Epub 2021 Apr 29.
5
Reconstruction strategies for intraoperative CSF leak in endoscopic endonasal skull base surgery: systematic review and meta-analysis.内镜经鼻颅底手术中术中脑脊液漏的重建策略:系统评价和荟萃分析。
Br J Neurosurg. 2022 Aug;36(4):436-446. doi: 10.1080/02688697.2020.1849548. Epub 2021 Jan 21.
6
Treatment of cerebrospinal fluid leak after spine surgery.脊柱手术后脑脊液漏的治疗。
Chin J Traumatol. 2017 Apr;20(2):81-83. doi: 10.1016/j.cjtee.2016.12.002. Epub 2017 Feb 24.
7
Collagen I and the fibroblast: high protein expression requires a new paradigm of post-transcriptional, feedback regulation.胶原蛋白I与成纤维细胞:高蛋白表达需要转录后反馈调节的新范式。
Biochem Biophys Rep. 2015 Sep;3:38-44. doi: 10.1016/j.bbrep.2015.07.007.
8
Analysis of Decompressive Craniectomies with Subsequent Cranioplasties in the Presence of Collagen Matrix Dural Substitute and Polytetrafluoroethylene as an Adhesion Preventative Material.在使用胶原基质硬脑膜替代物和聚四氟乙烯作为防粘连材料的情况下,对减压性颅骨切除术及后续颅骨成形术的分析。
World Neurosurg. 2016 Feb;86:153-60. doi: 10.1016/j.wneu.2015.09.078. Epub 2015 Dec 22.
9
Early cranioplasty vs. late cranioplasty for the treatment of cranial defect: A systematic review.早期颅骨修补术与晚期颅骨修补术治疗颅骨缺损的系统评价。
Clin Neurol Neurosurg. 2015 Sep;136:33-40. doi: 10.1016/j.clineuro.2015.05.031. Epub 2015 May 29.
10
Fibrin Sealant: The Only Approved Hemostat, Sealant, and Adhesive-a Laboratory and Clinical Perspective.纤维蛋白密封剂:唯一获批的止血剂、密封剂和粘合剂——实验室及临床视角
ISRN Surg. 2014 Mar 4;2014:203943. doi: 10.1155/2014/203943. eCollection 2014.