Suppr超能文献

产后肠系膜上静脉血栓形成与肝素诱导的血小板减少症:临床见解

Postpartum Superior Mesenteric Vein Thrombosis and Heparin-Induced Thrombocytopenia: Clinical Insights.

作者信息

Cui Xinye, Tang Yuqiang, Guan Guoxin, Zhang Zhongtao, Luo Fuwen

机构信息

Department of General Surgery, Beijing Friendship Hospital, Capital Medical University, Beijing, China.

Department of General Surgery, The Second Affiliated Hospital, Dalian Medical University, Dalian, Liaoning, China.

出版信息

Am J Case Rep. 2025 Apr 7;26:e947094. doi: 10.12659/AJCR.947094.

Abstract

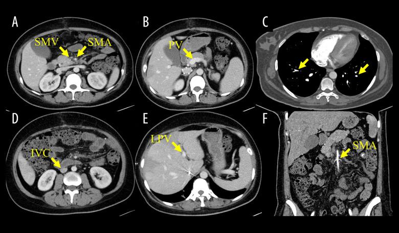
BACKGROUND Women are at an increased risk of developing venous thrombosis during gestation and the postpartum period, due to physiological and anatomical changes. Superior mesenteric vein thrombosis (SMVT) is a rare and severe complication with a dangerous course and a high mortality rate. Heparin-induced thrombocytopenia (HIT) is also rare in patients treated with heparin and presents with thrombosis and thrombocytopenia. We report a patient with SMVT diagnosis who was treated with heparin anticoagulation after surgery and eventually developed HIT. CASE REPORT The patient was a 30-year-old woman with a diagnosis of SMVT 10 days after giving birth to her second child. She was treated with heparin anticoagulation and interventional catheter-based thrombolysis and thrombectomy, which was ineffective, and she showed peritonitis. We therefore performed an emergency laparotomy, during which we found partial small intestine necrosis and performed a partial small bowel resection. However, the systemic thrombosis worsened postoperatively, and after a multidisciplinary team consultation, HIT was diagnosed. After switching to non-heparin anticoagulation, the patient's condition improved, and she was discharged from the hospital. CONCLUSIONS This is the first case report of HIT secondary to heparin anticoagulation in a parturient who underwent surgery for intestinal necrosis caused by SMVT. Our case highlights the challenge of treating SMVT and the difficulty of diagnosis of HIT. SMVT is a serious condition that requires sufficient experience to judge the timing of surgery. HIT is a rare complication that occurs during heparin use, and its timely diagnosis and treatment have a significant impact on patient prognosis.

摘要

背景

由于生理和解剖学变化,女性在妊娠期和产后发生静脉血栓形成的风险增加。肠系膜上静脉血栓形成(SMVT)是一种罕见且严重的并发症,病程凶险,死亡率高。肝素诱导的血小板减少症(HIT)在接受肝素治疗的患者中也很罕见,表现为血栓形成和血小板减少。我们报告一例诊断为SMVT的患者,术后接受肝素抗凝治疗,最终发生了HIT。病例报告:该患者为一名30岁女性,在生下第二个孩子10天后被诊断为SMVT。她接受了肝素抗凝以及基于介入导管的溶栓和血栓切除术,但治疗无效,且出现了腹膜炎。因此,我们进行了急诊剖腹手术,术中发现部分小肠坏死并进行了部分小肠切除术。然而,术后全身血栓形成恶化,经过多学科团队会诊,诊断为HIT。改用非肝素抗凝后,患者病情好转并出院。结论:这是首例关于因SMVT导致肠坏死而接受手术的产妇在肝素抗凝后发生HIT的病例报告。我们的病例突出了治疗SMVT的挑战以及HIT诊断的困难。SMVT是一种严重疾病,需要足够的经验来判断手术时机。HIT是肝素使用过程中发生的罕见并发症,其及时诊断和治疗对患者预后有重大影响。

https://cdn.ncbi.nlm.nih.gov/pmc/blobs/a237/11991407/f7e0c6c81f2e/amjcaserep-26-e947094-g001.jpg

相似文献

2
Mesenteric and portal vein thrombosis: treated with early initiation of anticoagulation.
Eur J Vasc Endovasc Surg. 2005 Feb;29(2):204-8. doi: 10.1016/j.ejvs.2004.10.005.
6
Management of Acute Mesenteric Venous Thrombosis: A Systematic Review of Contemporary Studies.
Scand J Surg. 2021 Jun;110(2):123-129. doi: 10.1177/1457496920969084. Epub 2020 Oct 29.
7
Successful endovascular therapy for cerebral venous sinus thrombosis accompanied by heparin-induced thrombocytopenia.
Interv Neuroradiol. 2020 Jun;26(3):341-345. doi: 10.1177/1591019919887821. Epub 2020 Mar 1.
8
High-dose intravenous immunoglobulin to treat spontaneous heparin-induced thrombocytopenia syndrome.
J Thromb Haemost. 2019 May;17(5):841-844. doi: 10.1111/jth.14411. Epub 2019 Mar 14.
9
Case Report of Umbilical Artery Thrombosis in a Patient With a History of Heparin-Induced Thrombocytopenia.
J Obstet Gynecol Neonatal Nurs. 2023 Nov;52(6):501-508. doi: 10.1016/j.jogn.2023.07.003. Epub 2023 Aug 16.
10
Postpartum coronary artery dissection complicated by heparin-induced thrombocytopenia and thrombosis.
Ann Thorac Surg. 2001 Mar;71(3):1025-7. doi: 10.1016/s0003-4975(00)02438-3.

本文引用的文献

1
Mesenteric venous thrombosis.
Med Clin (Barc). 2023 May 12;160(9):400-406. doi: 10.1016/j.medcli.2023.01.020. Epub 2023 Feb 26.
2
Venous thromboembolism during pregnancy and postpartum period.
Eur J Intern Med. 2022 Mar;97:8-17. doi: 10.1016/j.ejim.2021.12.013. Epub 2021 Dec 20.
3
Heparin-induced Thrombocytopenia: Perioperative Diagnosis and Management.
Anesthesiology. 2022 Feb 1;136(2):336-344. doi: 10.1097/ALN.0000000000004090.
4
Superior mesenteric vein thrombosis in a pregnant woman: Diagnostic and management challenge.
ANZ J Surg. 2022 Jan;92(1-2):265-267. doi: 10.1111/ans.16998. Epub 2021 Jun 1.
5
Heparin-induced thrombocytopenia.
CMAJ. 2021 May 17;193(20):E736. doi: 10.1503/cmaj.210637. Epub 2021 Apr 27.
6
Heparin-Induced Thrombocytopenia: A Focus on Thrombosis.
Arterioscler Thromb Vasc Biol. 2021 Jan;41(1):141-152. doi: 10.1161/ATVBAHA.120.315445. Epub 2020 Dec 3.
7
Overall and abdominal obesity in relation to venous thromboembolism.
J Thromb Haemost. 2021 Feb;19(2):460-469. doi: 10.1111/jth.15168. Epub 2020 Dec 8.
8
Intravenous Immune Globulin (IVIG) for Treatment of Autoimmune Heparin-Induced Thrombocytopenia: A Systematic Review.
Ann Pharmacother. 2021 Feb;55(2):198-215. doi: 10.1177/1060028020943542. Epub 2020 Jul 21.
9
Effectiveness of intravenous immunoglobulin use in heparin-induced thrombocytopenia.
Blood Coagul Fibrinolysis. 2020 Jul;31(5):287-292. doi: 10.1097/MBC.0000000000000918.
10
Review Article: Mesenteric Ischemia.
Curr Gastroenterol Rep. 2020 Mar 17;22(4):17. doi: 10.1007/s11894-020-0754-x.

文献AI研究员

20分钟写一篇综述,助力文献阅读效率提升50倍。

立即体验

用中文搜PubMed

大模型驱动的PubMed中文搜索引擎

马上搜索

文档翻译

学术文献翻译模型,支持多种主流文档格式。

立即体验