Suppr超能文献

恶性阴茎异常勃起:一种预后不佳的不祥征兆——病例报告

Malignant Priapism, an Ominous Sign With Dismal Prognosis: A Case Report.

作者信息

Ravichandran Rajan, Reddy Roshan, Palaniyandi Velmurugan, Sekar Hariharasudhan, Krishnamoorthy Sriram

机构信息

Urology, Sri Ramachandra Institute of Higher Education and Research, Chennai, IND.

出版信息

Cureus. 2025 Mar 7;17(3):e80222. doi: 10.7759/cureus.80222. eCollection 2025 Mar.

Abstract

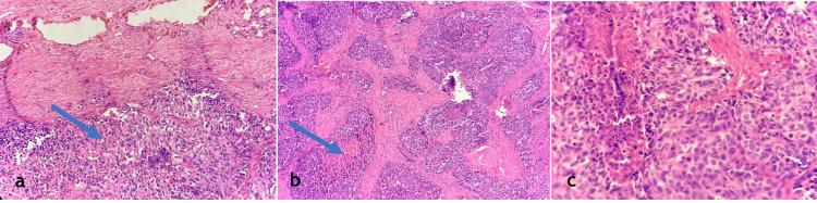
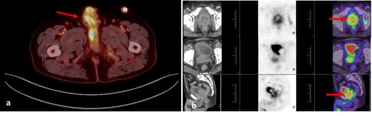
Malignant priapism is a rare and serious manifestation that results from advanced malignancy. It is caused by the infiltration of tumour cells into the penile tissue. Genitourinary cancers are the most common cause, especially prostatic adenocarcinoma. It indicates widespread metastatic disease and is associated with a poorer prognosis. It presents as a prolonged, painful erection that is not related to sexual activity and is often refractory to conventional treatments. It is rare and usually diagnosed late in the disease course. We report a 70-year-old male who underwent transurethral resection of the prostate (TURP) and bilateral orchidectomy for locally advanced prostatic adenocarcinoma and lost to follow-up. He presented six months later with painful priapism, multiple penile nodules, and acute urinary retention. Imaging studies, including high-resolution penile ultrasound and 18F-fluorodeoxyglucose positron emission tomography (18F-FDG PET) scan, confirmed multiple penile metastatic deposits. Despite initial pain management with nonsteroidal anti-inflammatory drugs (NSAIDs) and opioids, his refractory symptoms necessitated a total penectomy with perineal urethrostomy. Histopathological examination confirmed infiltrating carcinomatous deposits. Unfortunately, despite aggressive management, the patient eventually succumbed to the disease. This report emphasizes the aggressive character of penile metastases from prostate cancer, the challenges in diagnosis and treatment, and the need for a multidisciplinary approach. Early recognition and palliative strategies are essential for maximizing the quality of life.

摘要

恶性阴茎异常勃起是一种由晚期恶性肿瘤导致的罕见且严重的表现。它是由肿瘤细胞浸润阴茎组织引起的。泌尿生殖系统癌症是最常见的病因,尤其是前列腺腺癌。它表明存在广泛的转移性疾病,且预后较差。其表现为与性活动无关的持续性、疼痛性勃起,通常对传统治疗无效。它很罕见,且通常在病程晚期才被诊断出来。我们报告一例70岁男性,因局部晚期前列腺腺癌接受了经尿道前列腺切除术(TURP)和双侧睾丸切除术,之后失访。6个月后,他出现疼痛性阴茎异常勃起、多个阴茎结节及急性尿潴留。包括高分辨率阴茎超声和18F-氟脱氧葡萄糖正电子发射断层扫描(18F-FDG PET)在内的影像学检查证实阴茎有多处转移灶。尽管最初使用非甾体类抗炎药(NSAIDs)和阿片类药物进行了疼痛管理,但他的顽固性症状仍需要行全阴茎切除术与会阴尿道造口术。组织病理学检查证实有浸润性癌灶。不幸的是,尽管进行了积极治疗,患者最终仍死于该病。本报告强调了前列腺癌阴茎转移的侵袭性、诊断和治疗中的挑战以及多学科方法的必要性。早期识别和姑息治疗策略对于提高生活质量至关重要。

https://cdn.ncbi.nlm.nih.gov/pmc/blobs/9c72/11972621/757b310b1b33/cureus-0017-00000080222-i01.jpg

相似文献

1
Malignant Priapism, an Ominous Sign With Dismal Prognosis: A Case Report.
Cureus. 2025 Mar 7;17(3):e80222. doi: 10.7759/cureus.80222. eCollection 2025 Mar.
2
Case report: Malignant priapism: penile metastasis from prostate cancer with low serum PSA level.
Front Oncol. 2025 Jan 10;14:1395301. doi: 10.3389/fonc.2024.1395301. eCollection 2024.
3
Priapism in a Patient with Rectal Adenocarcinoma.
Diseases. 2023 Feb 17;11(1):34. doi: 10.3390/diseases11010034.
4
Primary Penile Squamous Cell Cancer-Related Malignant Priapism in a Cystectomized Patient: A Case Report.
Cureus. 2022 Nov 24;14(11):e31875. doi: 10.7759/cureus.31875. eCollection 2022 Nov.
5
More advantages in detecting bone and soft tissue metastases from prostate cancer using F-PSMA PET/CT.
Hell J Nucl Med. 2019 Jan-Apr;22(1):6-9. doi: 10.1967/s002449910952. Epub 2019 Mar 7.
6
Penile Metastases of Recurrent Prostatic Adenocarcinoma without PSA Level Increase: A Case Report.
J Clin Imaging Sci. 2012;2:44. doi: 10.4103/2156-7514.99178. Epub 2012 Jul 28.
7
Penile metastases of rectal adenocarcinoma.
J Visc Surg. 2014 Feb;151(1):53-5. doi: 10.1016/j.jviscsurg.2013.08.009. Epub 2013 Sep 18.
8
Penile Metastasis From Prostatic Adenocarcinoma: A Case Report.
Cureus. 2025 Jan 6;17(1):e77039. doi: 10.7759/cureus.77039. eCollection 2025 Jan.
10
Malignant priapism: Penile metastasis originating on a primary prostate adenocarcinoma.
Urol Ann. 2015 Jul-Sep;7(3):391-5. doi: 10.4103/0974-7796.152030.

本文引用的文献

1
The Current Challenges in Diagnosing and Treating Malignant Priapism: A Comprehensive Review.
Urol Res Pract. 2023 Nov;49(6):360-364. doi: 10.5152/tud.2023.23088.
2
Prostate penile metastasis: Incidence and imaging pattern on Ga-PSMA PET/CT.
J Med Imaging Radiat Oncol. 2020 Aug;64(4):499-504. doi: 10.1111/1754-9485.13052. Epub 2020 May 25.
3
Prognosis of men with penile metastasis and malignant priapism: a systematic review.
Oncotarget. 2017 Dec 18;9(2):2923-2930. doi: 10.18632/oncotarget.23366. eCollection 2018 Jan 5.
4
Prostate cancer: diagnostic criteria and role of immunohistochemistry.
Mod Pathol. 2018 Jan;31(S1):S12-21. doi: 10.1038/modpathol.2017.139.
5
A review of penile metastasis.
Oncol Rev. 2012 Jun 14;6(1):e10. doi: 10.4081/oncol.2012.e10. eCollection 2012 Mar 5.
6
Metastatic tumors to the penis: a report of 17 cases and review of the literature.
Int J Surg Pathol. 2011 Oct;19(5):597-606. doi: 10.1177/1066896909350468. Epub 2010 Jan 14.
7
Secondary penile tumours revisited.
Int Semin Surg Oncol. 2006 Oct 11;3:33. doi: 10.1186/1477-7800-3-33.
8
Primary and secondary malignancies of the penis: ultrasound features.
Abdom Imaging. 2005 Jan-Feb;30(1):108-12. doi: 10.1007/s00261-004-0201-8.
9
Metastatic tumors of the penis: a review of the literature and a report of two cases.
J Urol. 1961 Jul;86:99-112. doi: 10.1016/S0022-5347(17)65117-6.
10
Magnetic resonance imaging of penile metastases: a report on five cases.
Australas Radiol. 1999 Aug;43(3):378-81. doi: 10.1046/j.1440-1673.1999.433690.x.

文献AI研究员

20分钟写一篇综述,助力文献阅读效率提升50倍。

立即体验

用中文搜PubMed

大模型驱动的PubMed中文搜索引擎

马上搜索

文档翻译

学术文献翻译模型,支持多种主流文档格式。

立即体验