Suppr超能文献

三重威胁:伴噬血细胞性淋巴组织细胞增生症和中毒性表皮坏死松解症的急性系统性红斑狼疮

A Triple Threat: Acute Systemic Lupus Erythematosus Unveiled with Hemophagocytic Lymphohistiocytosis and Toxic Epidermal Necrolysis.

作者信息

Shah Charmi, Cotter Lisa, Yu Elliot, Wanat Karolyn, Harrington Alexandra, Sabchyshyn Viktoriya, Umpierrez Adrian

机构信息

Division of Rheumatology Vancouver Clinic.

Department of Dermatology UW Health University Hospital.

出版信息

J Brown Hosp Med. 2025 Apr 1;4(2):47-53. doi: 10.56305/001c.130831. eCollection 2025.

Abstract

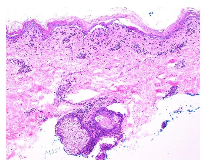
A 36-year-old man with a history of arthritis, initially diagnosed as seronegative rheumatoid arthritis, developed new-onset SLE complicated by HLH and TEN. The patient presented with fevers, abdominal pain, vomiting, fatigue, rash, and significant weight loss. Despite multiple hospital visits and antibiotic treatments, his symptoms persisted. On admission, he exhibited extensive erythema, targetoid macules, full-thickness desquamation, and hemorrhagic crusting, covering about 30% of his body surface area. Laboratory findings revealed pancytopenia, positive ANA, anti-chromatin, dsDNA, hypocomplementemia, elevated ferritin, and hypertriglyceridemia. Skin biopsy showed interface dermatitis with full-thickness necrosis, and bone marrow biopsy confirmed hemophagocytic histiocytosis. The patient was diagnosed with SLE, HLH, and TEN and was treated with high-dose prednisone, IVIG, hydroxychloroquine, and mycophenolate mofetil, leading to significant improvement. This case highlights the complexity of diagnosing and managing concurrent SLE, HLH, and TEN. Early recognition and a multidisciplinary approach are crucial for effective treatment and improved outcomes. The patient's positive response to immunosuppressive therapy underscores the importance of addressing the underlying autoimmune condition in such complex presentations.

摘要

一名36岁的男性,有关节炎病史,最初被诊断为血清阴性类风湿关节炎,后来发展为新发系统性红斑狼疮(SLE),并伴有噬血细胞性淋巴组织细胞增生症(HLH)和中毒性表皮坏死松解症(TEN)。患者出现发热、腹痛、呕吐、疲劳、皮疹和显著体重减轻。尽管多次住院并接受抗生素治疗,但其症状仍持续存在。入院时,他表现出广泛的红斑、靶形斑疹、全层脱皮和出血性结痂,覆盖约30%的体表面积。实验室检查结果显示全血细胞减少、抗核抗体(ANA)阳性、抗染色质抗体、双链DNA(dsDNA)阳性、补体降低、铁蛋白升高和高甘油三酯血症。皮肤活检显示界面性皮炎伴全层坏死,骨髓活检证实为噬血细胞性组织细胞增生症。该患者被诊断为SLE、HLH和TEN,并接受了大剂量泼尼松、静脉注射免疫球蛋白(IVIG)、羟氯喹和霉酚酸酯治疗,病情有显著改善。本病例突出了诊断和管理并发SLE、HLH和TEN的复杂性。早期识别和多学科方法对于有效治疗和改善预后至关重要。患者对免疫抑制治疗的积极反应强调了在这种复杂情况下解决潜在自身免疫性疾病的重要性。

https://cdn.ncbi.nlm.nih.gov/pmc/blobs/1428/11966765/a2f2428880f2/bhm_2025_4_2_130831_268304.jpg

文献AI研究员

20分钟写一篇综述,助力文献阅读效率提升50倍。

立即体验

用中文搜PubMed

大模型驱动的PubMed中文搜索引擎

马上搜索

文档翻译

学术文献翻译模型,支持多种主流文档格式。

立即体验