• 文献检索
  • 文档翻译
  • 深度研究
  • 学术资讯
  • Suppr Zotero 插件Zotero 插件
  • 邀请有礼
  • 套餐&价格
  • 历史记录
应用&插件
Suppr Zotero 插件Zotero 插件浏览器插件Mac 客户端Windows 客户端微信小程序
定价
高级版会员购买积分包购买API积分包
服务
文献检索文档翻译深度研究API 文档MCP 服务
关于我们
关于 Suppr公司介绍联系我们用户协议隐私条款
关注我们

Suppr 超能文献

核心技术专利:CN118964589B侵权必究
粤ICP备2023148730 号-1Suppr @ 2026

文献检索

告别复杂PubMed语法,用中文像聊天一样搜索,搜遍4000万医学文献。AI智能推荐,让科研检索更轻松。

立即免费搜索

文件翻译

保留排版,准确专业,支持PDF/Word/PPT等文件格式,支持 12+语言互译。

免费翻译文档

深度研究

AI帮你快速写综述,25分钟生成高质量综述,智能提取关键信息,辅助科研写作。

立即免费体验

SEPT9和PAI-1是肝细胞癌免疫微环境的免疫组化生物标志物。

SEPT9 and PAI-1 are immunohistochemical biomarkers of the hepatocellular carcinoma immune microenvironment.

作者信息

Park Eundong, Wang Xin, Subasi Nusret Bekir, Kmeid Michel, Higgins Paul J, Chen Anne, Lee Hwajeong

机构信息

Pathology and Laboratory Medicine, Albany Medical Center, 47 New Scotland Avenue, Albany, NY, Mail Code 8112208, USA.

Pathology and Laboratory Medicine, Cleveland Clinic, Cleveland, OH, USA.

出版信息

Discov Oncol. 2025 Apr 7;16(1):483. doi: 10.1007/s12672-025-02252-5.

DOI:10.1007/s12672-025-02252-5
PMID:40192891
原文链接:https://pmc.ncbi.nlm.nih.gov/articles/PMC11977054/
Abstract

BACKGROUND

Septin 9 (SEPT9) interacts with multiple oncogenic proteins and is expressed abnormally in several cancers, including hepatocellular carcinoma (HCC). Plasminogen activator inhibitor-1 (PAI-1) promotes tumor formation and progression by modulating the tumor immune microenvironment. CXCR2+ immune cells play a crucial role in HCC formation, progression, and prognosis. The relationship between SEPT9 and PAI-1, and their impact on the HCC immune microenvironment remains unclear.

METHODS

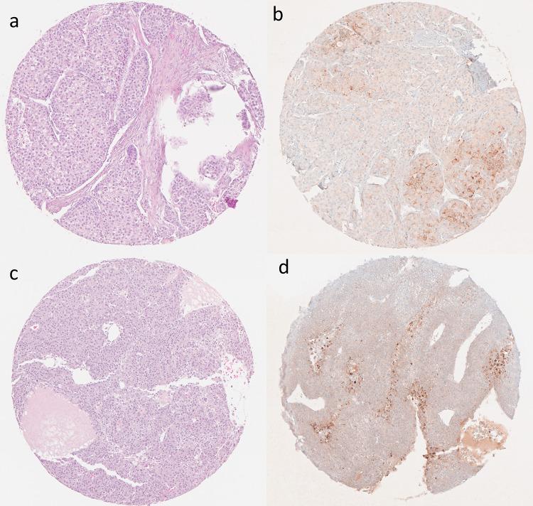
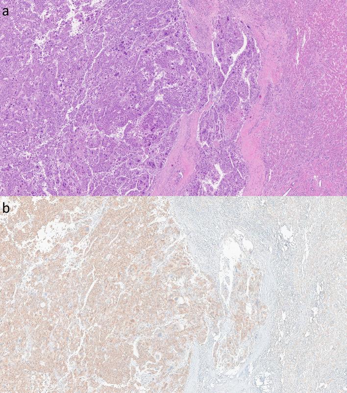
Expression levels of SEPT9 and PAI-1 were evaluated by immunohistochemistry (IHC) in HCC and background benign liver (n = 76). Their IHC results were examined for relationships with immune cell markers (CXCR2, CD3, CD15, CD68, and CD163), clinical parameters, and survival outcomes.

RESULTS

Higher grade HCC expressed SEPT9 and PAI-1 more frequently. SEPT9 and PAI-1 expression were associated with each other. PAI-1(+) HCCs had higher intratumoral CXCR2, CD3, CD15, CD68, and CD163 expression compared to PAI-1(-) HCCs, while SEPT9 expression correlated with greater CXCR2+ and CD15+ cell counts in tumor. SEPT9(+) HCC patients had shorter OS, although SEPT9 was not an independent prognostic factor.

CONCLUSION

SEPT9 is associated with PAI-1, a pro-tumorigenic protein. Both SEPT9 and PAI-1 are linked to advanced HCC grades. SEPT9 and PAI-1 positive HCCs have distinct CXCR2+ immune cell landscapes. Further investigation is needed to elucidate a possible SEPT9/PAI-1 interaction and the clinical utility of SEPT9 IHC in HCC.

摘要

背景

Septin 9(SEPT9)与多种致癌蛋白相互作用,在包括肝细胞癌(HCC)在内的多种癌症中异常表达。纤溶酶原激活物抑制剂-1(PAI-1)通过调节肿瘤免疫微环境促进肿瘤形成和进展。CXCR2+免疫细胞在HCC的形成、进展和预后中起关键作用。SEPT9与PAI-1之间的关系及其对HCC免疫微环境的影响尚不清楚。

方法

通过免疫组织化学(IHC)评估76例HCC及背景良性肝脏组织中SEPT9和PAI-1的表达水平。检查它们的IHC结果与免疫细胞标志物(CXCR2、CD3、CD15、CD68和CD163)、临床参数和生存结果之间的关系。

结果

高级别HCC更频繁地表达SEPT9和PAI-1。SEPT9和PAI-1的表达相互关联。与PAI-1(-)的HCC相比,PAI-1(+)的HCC肿瘤内CXCR2、CD3、CD15、CD68和CD163的表达更高,而SEPT9的表达与肿瘤中更多的CXCR2+和CD15+细胞计数相关。SEPT9(+)的HCC患者总生存期较短,尽管SEPT9不是独立的预后因素。

结论

SEPT9与促肿瘤蛋白PAI-1相关。SEPT9和PAI-1均与晚期HCC分级相关。SEPT9和PAI-1阳性的HCC具有不同的CXCR2+免疫细胞格局。需要进一步研究以阐明可能的SEPT9/PAI-1相互作用以及SEPT9免疫组化在HCC中的临床应用。

https://cdn.ncbi.nlm.nih.gov/pmc/blobs/cd7b/11977054/ecbbc382d8f1/12672_2025_2252_Fig4_HTML.jpg
https://cdn.ncbi.nlm.nih.gov/pmc/blobs/cd7b/11977054/5926c1103e02/12672_2025_2252_Fig1_HTML.jpg
https://cdn.ncbi.nlm.nih.gov/pmc/blobs/cd7b/11977054/023a42631a71/12672_2025_2252_Fig2_HTML.jpg
https://cdn.ncbi.nlm.nih.gov/pmc/blobs/cd7b/11977054/e2803cc1f0ff/12672_2025_2252_Fig3_HTML.jpg
https://cdn.ncbi.nlm.nih.gov/pmc/blobs/cd7b/11977054/ecbbc382d8f1/12672_2025_2252_Fig4_HTML.jpg
https://cdn.ncbi.nlm.nih.gov/pmc/blobs/cd7b/11977054/5926c1103e02/12672_2025_2252_Fig1_HTML.jpg
https://cdn.ncbi.nlm.nih.gov/pmc/blobs/cd7b/11977054/023a42631a71/12672_2025_2252_Fig2_HTML.jpg
https://cdn.ncbi.nlm.nih.gov/pmc/blobs/cd7b/11977054/e2803cc1f0ff/12672_2025_2252_Fig3_HTML.jpg
https://cdn.ncbi.nlm.nih.gov/pmc/blobs/cd7b/11977054/ecbbc382d8f1/12672_2025_2252_Fig4_HTML.jpg

相似文献

1
SEPT9 and PAI-1 are immunohistochemical biomarkers of the hepatocellular carcinoma immune microenvironment.SEPT9和PAI-1是肝细胞癌免疫微环境的免疫组化生物标志物。
Discov Oncol. 2025 Apr 7;16(1):483. doi: 10.1007/s12672-025-02252-5.
2
CXCR2 expression is associated with prostate-specific membrane antigen expression in hepatocellular carcinoma: reappraisal of tumor microenvironment and angiogenesis.CXCR2表达与肝细胞癌中前列腺特异性膜抗原表达相关:肿瘤微环境与血管生成的重新评估
Clin Transl Oncol. 2025 Jun;27(6):2544-2556. doi: 10.1007/s12094-024-03789-7. Epub 2024 Dec 5.
3
SEPT9 Expression in Hepatic Nodules: An Immunohistochemical Study of Hepatocellular Neoplasm and Metastasis.SEPT9 在肝结节中的表达:肝细胞肿瘤和转移的免疫组化研究。
Appl Immunohistochem Mol Morphol. 2023;31(5):278-287. doi: 10.1097/PAI.0000000000001112. Epub 2023 Mar 3.
4
CXCR2-CXCL1 axis is correlated with neutrophil infiltration and predicts a poor prognosis in hepatocellular carcinoma.CXCR2-CXCL1轴与中性粒细胞浸润相关,并预示肝细胞癌预后不良。
J Exp Clin Cancer Res. 2015 Oct 26;34:129. doi: 10.1186/s13046-015-0247-1.
5
Invasion and metastasis of hepatocellular carcinoma in relation to urokinase-type plasminogen activator, its receptor and inhibitor.肝细胞癌的侵袭和转移与尿激酶型纤溶酶原激活物、其受体及抑制剂的关系
J Cancer Res Clin Oncol. 2000 Nov;126(11):641-6. doi: 10.1007/s004320000146.
6
Low expression of PAI-2 as a novel marker of portal vein tumor thrombosis and poor prognosis in hepatocellular carcinoma.PAI-2 低表达作为肝癌门静脉癌栓及预后不良的新型标志物。
World J Surg. 2013 Mar;37(3):608-13. doi: 10.1007/s00268-012-1866-8.
7
[Inhibitor of plasminogen activator 1 (PAI-1) in hepatocellular carcinoma].肝细胞癌中纤溶酶原激活物抑制剂1(PAI-1)
Zhonghua Wai Ke Za Zhi. 1998 Aug;36(8):474-6.
8
SEPT9: From pan-cancer to lung squamous cell carcinoma.SEPT9:从泛癌到肺鳞癌。
BMC Cancer. 2024 Sep 5;24(1):1105. doi: 10.1186/s12885-024-12877-4.
9
Yes-associated protein (YAP) induces a secretome phenotype and transcriptionally regulates plasminogen activator Inhibitor-1 (PAI-1) expression in hepatocarcinogenesis.Yes 相关蛋白 (YAP) 在肝癌发生中诱导分泌表型,并转录调控纤溶酶原激活物抑制剂-1 (PAI-1) 的表达。
Cell Commun Signal. 2020 Oct 23;18(1):166. doi: 10.1186/s12964-020-00634-6.
10
Multiplex immunohistochemistry to explore the tumor immune microenvironment in HCC patients with different GPC3 expression.采用多重免疫组化法探究不同GPC3表达的肝癌患者的肿瘤免疫微环境。
J Transl Med. 2025 Jan 21;23(1):88. doi: 10.1186/s12967-025-06106-0.

本文引用的文献

1
CXCR2 expression is associated with prostate-specific membrane antigen expression in hepatocellular carcinoma: reappraisal of tumor microenvironment and angiogenesis.CXCR2表达与肝细胞癌中前列腺特异性膜抗原表达相关:肿瘤微环境与血管生成的重新评估
Clin Transl Oncol. 2025 Jun;27(6):2544-2556. doi: 10.1007/s12094-024-03789-7. Epub 2024 Dec 5.
2
SERPINE1: Role in Cholangiocarcinoma Progression and a Therapeutic Target in the Desmoplastic Microenvironment.丝氨酸蛋白酶抑制剂 1(SERPINE1):在胆管癌进展中的作用及其在纤维母细胞性微环境中的治疗靶点。
Cells. 2024 May 7;13(10):796. doi: 10.3390/cells13100796.
3
Plasminogen activator inhibitor-1 promotes immune evasion in tumors by facilitating the expression of programmed cell death-ligand 1.
纤溶酶原激活物抑制剂-1 通过促进程序性细胞死亡配体 1 的表达促进肿瘤中的免疫逃逸。
Front Immunol. 2024 May 8;15:1365894. doi: 10.3389/fimmu.2024.1365894. eCollection 2024.
4
Macrophage metabolism, phenotype, function, and therapy in hepatocellular carcinoma (HCC).肝癌(HCC)中的巨噬细胞代谢、表型、功能和治疗。
J Transl Med. 2023 Nov 15;21(1):815. doi: 10.1186/s12967-023-04716-0.
5
CXCR2 chemokine receptor - a master regulator in cancer and physiology.CXCR2 趋化因子受体——癌症和生理学中的主调控因子。
Trends Mol Med. 2024 Jan;30(1):37-55. doi: 10.1016/j.molmed.2023.09.003. Epub 2023 Oct 21.
6
Major roles of kupffer cells and macrophages in NAFLD development.枯否细胞和巨噬细胞在非酒精性脂肪性肝病发展中的主要作用。
Front Endocrinol (Lausanne). 2023 May 19;14:1150118. doi: 10.3389/fendo.2023.1150118. eCollection 2023.
7
SEPT9 Expression in Hepatic Nodules: An Immunohistochemical Study of Hepatocellular Neoplasm and Metastasis.SEPT9 在肝结节中的表达:肝细胞肿瘤和转移的免疫组化研究。
Appl Immunohistochem Mol Morphol. 2023;31(5):278-287. doi: 10.1097/PAI.0000000000001112. Epub 2023 Mar 3.
8
Past, Present, and Future Perspectives of Plasminogen Activator Inhibitor 1 (PAI-1).纤溶酶原激活物抑制剂 1(PAI-1)的过去、现在和未来展望。
Semin Thromb Hemost. 2023 Apr;49(3):305-313. doi: 10.1055/s-0042-1758791. Epub 2022 Dec 15.
9
Plasminogen Activator Inhibitor-1 and Oncogenesis in the Liver Disease.纤溶酶原激活物抑制剂-1与肝脏疾病中的肿瘤发生
J Cell Signal. 2021;2(3):221-227. doi: 10.33696/signaling.2.054.
10
Progression on the Roles and Mechanisms of Tumor-Infiltrating T Lymphocytes in Patients With Hepatocellular Carcinoma.肿瘤浸润性 T 淋巴细胞在肝细胞癌患者中的作用及机制研究进展。
Front Immunol. 2021 Sep 3;12:729705. doi: 10.3389/fimmu.2021.729705. eCollection 2021.